퇴행성관절염, 자기관절 보존하는 부분 치환술로 해결!

  • 입력 2009년 2월 3일 14시 28분


삶의 질이 높아지고, 고령화 사회로 접어들면서 퇴행성 질환에 대한 관심이 높아지고 있다. 단순히 오래 사는 것이 아닌 건강하게 오래 사는 것이 화두가 되는 이때, 관절염은 45세 이상 한국인의 만성질환 중 첫째로 꼽힐 만큼 퇴행성 질환 중 차지하는 비중이 크다. 특히 퇴행성 질환이 호발하는 근골격계 질환으로 무릎 관절의 퇴행성 관절염을 들 수 있다.

관절염은 관절염이 진행된 정도에 따라 다양한 치료방법이 알려져 있고 잘 적용된다면 매우 좋은 결과를 기대할 수 있다. 그 치료법 중 퇴행성 관절염이 심한 경우 실시하는 인공관절 수술은 현대의학계에서 인정하는 가장 성공적인 수술법 중 하나로 그 결과가 특히 2000년대에 들어서서는 매우 고무적이어서 퇴행성 관절염으로 고생하는 여러 환자들에게 새로운 삶을 열어주게 하는 훌륭한 수술법으로 인정받고 있다. 하지만 인공관절의 특성상 환자의 생활패턴이나 갖고 있는 질환 등의 영향을 받을 수도 있고 세월의 영향도 있어서 인공관절의 수명 문제를 생각하지 않을 수 없는데, 재질의 발달, 수술기법의 발달 등으로 문제를 해결해 나가고 있다.

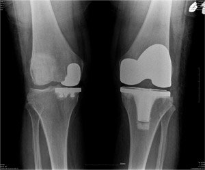
무릎관절(슬관절) 수술은 크게 손상된 연골부위가 너무 커 모두를 인공관절로 대체하는 슬관절 전치환술, 체중이 부하되는 무릎 안쪽과 같은 한쪽의 연골이 마모된 곳을 선택적으로 수술하는 슬관절 부분치환술로 나누어 볼 수 있다. 부분치환술의 특징은 관절의 건강한 부분을 보존함으로써 본래의 자기 관절의 기능을 최대한 보존할 수 있다는데 있다. 이렇게 함으로써 정상 관절의 역할을 보존하여 관절 운동의 각도도 좋아지기 때문에 무릎을 구부리는 것이 쉬우며 방바닥에 앉거나 쪼그리고 앉을 수 있을 정도로 가동성이 좋다. 그뿐만 아니라 인대를 비롯한 자기관절의 구조를 최대한 보존함으로써 위치 감각도 유지할 수 있기 때문에 계단 오르내리기도 더 쉬워지게 된다. 연세사랑병원 권오룡 소장은 “부분치환술은 7cm정도의 절개로도 수술이 가능하다.”며, “무릎 관절의 손상되지 않은 부분을 보존할 수 있기 때문에 수술 후 기능 회복은 물론 입원 및 재활기간도 단축시킬 수 있다.”고 말했다.

또한 슬관절 부분치환술은 전치환술보다 피부절개가 짧고 수술 후 출혈이 훨씬 적어 환자의 회복이 빠르며 수술 후의 운동범위의 회복도 좋기 때문에 환자의 만족도가 더 높은 편이다. 물론 슬관절 전치환술에 비해 단점도 있다. 무릎관절의 변형 정도가 심한 환자나 운동범위가 심하게 줄어들어 있는 환자, 비만인 환자, 류마티스 관절염 등의 염증성 관절염이 있는 환자, 전방십자인대 등의 무릎 인대가 좋지 않은 환자에서는 부분치환술을 잘 시행하지 않거나 제한적으로 시행한다. 또한 무릎 각도를 맞추는 등의 정교한 수술을 요하기 때문에 경험이 많은 전문의가 수술을 해야 결과가 좋다.

인공관절이 필요한 중년의 관절염 환자, 스포츠 활동 및 외상으로 인해 인공관절이 필요한 젊은 층에게 있어 슬관절 부분치환술은 더욱 각광받는 치료법이 될 것으로 기대된다.

ⓒ donga.com & ePR news, 무단 전재 및 재배포 금지

트렌드뉴스

트렌드뉴스

  • 좋아요
    0
  • 슬퍼요
    0
  • 화나요
    0

지금 뜨는 뉴스