[연구실 X파일]X선 사진에서 발견한 ‘영상 미학’

  • 입력 2006년 12월 22일 03시 01분


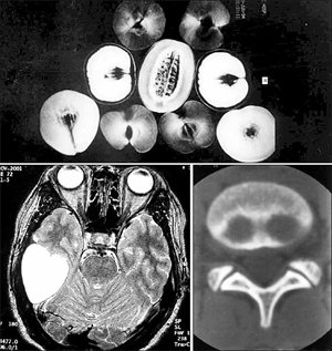
연세대 정태섭 교수는 의료용 진단장비로 촬영한 독특한 사진을 모은다. 위는 과일의 MRI 사진, 아래 왼쪽은 염증 조직이 하트처럼 찍힌 뇌의 CT 사진, 오른쪽은 돼지 코 모양이 나타난 척추의 CT 사진. 사진 제공 정태섭 교수
연세대 정태섭 교수는 의료용 진단장비로 촬영한 독특한 사진을 모은다. 위는 과일의 MRI 사진, 아래 왼쪽은 염증 조직이 하트처럼 찍힌 뇌의 CT 사진, 오른쪽은 돼지 코 모양이 나타난 척추의 CT 사진. 사진 제공 정태섭 교수
영상의학과(진단방사선학과) 교수가 된 지 올해로 벌써 20년째다. 이제 X선이나 컴퓨터단층촬영(CT), 자기공명영상(MRI) 같은 첨단 진단장비로 촬영한 환자의 사진을 보고 병을 진단하는 데 나름대로 이골이 났다.

10년 전쯤 CT 사진을 정리하다 재미있는 파일을 찾아냈다. 암 덩어리가 하트 모양으로 보이는 뇌 단면, 돼지 코처럼 생긴 척추 단면 등 특이한 모양이 찍힌 인체 사진이 들어 있었다. 수많은 환자를 촬영하면서 우연히 이런 사진을 얻을 때마다 모아뒀더니 꽤 많아졌다.

불현듯 환자 대신 사물을 찍어보면 어떨까 하는 생각이 스쳤다. 그때부터 틈날 때마다 나뭇잎, 컴퓨터, 과일 등 주위에서 흔히 보는 사물을 진단장비로 촬영해 보기 시작했다.

과일을 MRI로 찍으면 종류마다 밝기가 다르다. 잘 익었거나 수분이 많을수록 밝다. 노트북컴퓨터나 디지털카메라를 X선으로 찍으면 내부 배선과 회로 구조가 선명하게 나타난다. 의료용 진단장비로 찍은 사진이 사물의 본질을 이해하는 데 도움을 주는 셈이다.

하루는 어느 꽃집에서 나이가 30세라며 30만 원에 내놓은 분재를 봤다. 호기심이 발동했다. 주민등록증과 돈을 맡기고 그 나무를 빌려 와 CT로 찍어봤다. CT 사진에 나이테가 나타났다. CT에 찍힌 나이테는 13세. 가게로 돌아가 사진을 보여주니 주인이 기가 막힌다는 눈치였다. 화분 값 2만 원을 추가해 15만 원에 그 나무를 샀다.

요즘은 흑백이라 무미건조해 보이는 X선 사진에 컴퓨터 이미지 프로그램으로 시까지 써 넣기도 한다. 그러면 어엿한 시화(詩畵) 작품이 된다.

의사 초년 시절에는 온종일 수많은 사진을 판독하는 데 허덕였다. 판독 결과로 논문을 쓰는 데 밤늦게까지 매달리다 보면 온몸이 파김치가 됐다. 갑자기 뇌출혈 응급환자라도 들어오면 초긴장 상태로 스트레스가 극에 달했다. 피가 줄줄 흐르는 뇌에 카테타(관)를 삽입해 혈관을 촬영해야 하니 말이다. 아마 환자 대신 사물을 찍는 독특한 ‘취미’가 없었다면 고된 의사 생활을 버텨내기 힘들었을 것 같다.

영상의학은 아직 환자들에게 낯설고 삭막하게 느껴지는 게 사실이다. 영상의학을 전공한 의사가 먼저 환자에게 친숙하게 다가가는 건 어떨까. 그래서 오늘도 환자들에게 내 ‘작품’들을 보여준다.

정태섭 연세대 의대 영동세브란스병원 영상의학과 교수 tschung@yumc.yonsei.ac.kr

트렌드뉴스

트렌드뉴스

  • 좋아요
    0
  • 슬퍼요
    0
  • 화나요
    0

댓글 0

지금 뜨는 뉴스