1.5m 철사를 핏줄 속에 넣고 살라고?

  • 입력 2006년 8월 16일 03시 02분


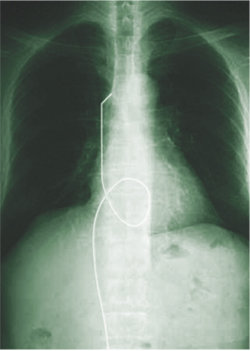
가슴 X선 사진에서 환자의 혈관 속에 들어 있는 철사가 흰 선으로 뚜렷하게 보인다. 사진 제공 권신애 변호사
가슴 X선 사진에서 환자의 혈관 속에 들어 있는 철사가 흰 선으로 뚜렷하게 보인다. 사진 제공 권신애 변호사
“헉! 내 핏줄 안에 1.5m나 되는 철사가 10년 가까이 들어 있었다니….”

김모(65·경기 의정부시) 씨는 최근 허리가 아파서 인근 병원을 찾았다가 깜짝 놀랐다. 김 씨를 진료한 의사는 “왜 혈관 안에 긴 철사가 있느냐”면서 “철사가 혈관에 달라붙어 있어 떼어내기가 쉽지 않을 것이다”고 말했다.

의료진의 실수로 1, 2년간 짧은 의료용 철사를 몸 안에 넣고 산 사람은 몇 명 있었지만 김 씨처럼 긴 철사를 넣고 오랜 기간을 지낸 사람은 매우 드물다.

김 씨는 15일 “1997년 5월 심장동맥이 좁아져 생긴 협심증 때문에 서울의 모 대학병원에서 심장동맥조영술을 받았는데 이때 철사가 들어간 것 같다”고 말했다.

▶[괴담]혈관속 1m철사 ‘경악’ 22개월째 무사 ‘경이’

▶헉! 심장혈관에 수술용 철사가…

심장동맥조영술은 사타구니 쪽 대퇴동맥으로 카테터라는 작은 도관을 넣어 조영제를 투여한 뒤 막힌 동맥 부위를 알아내는 검사법이다. 도관을 넣으려면 먼저 철사를 넣어 도관을 심장 부위까지 유도한 뒤 철사를 빼낸다. 김 씨는 의료진이 실수해 철사를 빼내지 않았다고 주장하고 있다.

김 씨는 “2년 전 다른 의사에게 가슴 사진에 이상한 것이 보인다는 이야기를 듣고 해당 대학병원을 찾았지만 병원 측은 ‘철사가 있긴 하지만 특별한 문제가 없다’고 했다”고 말했다. 병원 측은 이후 별다른 조치를 하지 않았다.

이에 대해 김 씨의 심장동맥조영술을 담당했던 의사는 “조영술 당시엔 아무런 문제가 없었으나 김 씨가 수술실에 있다가 항생제 과민 반응으로 쇼크가 와 수술팀이 응급 조치하는 과정에서 실수한 것 같다”고 말했다.

김 씨는 수술시 사용되는 항생제에 대한 과민 반응 때문에 수술을 받을 수 없어 평생 철사를 넣고 살아야 할 판이다. 전문가들은 혈관에 철사가 붙어 움직이지 않으면 심각한 부작용은 없지만 혈전이 발생할 가능성이 있어 혈전 예방 치료제를 꾸준히 복용해야 된다고 말했다.

김 씨로부터 병원 측을 상대로 한 손해배상소송을 의뢰받은 밝은내일법률사무소 권신애 변호사는 “병원이 1997년 이후 수차례 김 씨의 가슴을 촬영했기 때문에 병원 측이 이를 몰랐다는 것을 이해할 수 없다”고 말했다.

이진한 기자·의사 likeday@donga.com

  • 좋아요
    0
  • 슬퍼요
    0
  • 화나요
    0

댓글 0

지금 뜨는 뉴스