국내 의료진, 국산 기술로 만든 인공심장 판막 이식 임상시험 성공

  • 동아일보
  • 입력 2017년 5월 19일 22시 09분


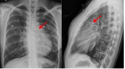
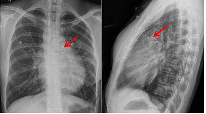
인공심장 판막이 폐동맥 판막 부위에 이식된 사진
인공심장 판막이 폐동맥 판막 부위에 이식된 사진
김기범 서울대병원 소아청소년과 교수
김기범 서울대병원 소아청소년과 교수
국내 의료진이 국산 기술로 개발한 폐동맥 인공심장 판막으로 환자 10명을 치료하는 임상시험에 성공했다.

19일 서울대병원에 따르면 김기범 서울대병원 소아청소년과 교수팀(사진)은 1개당 가격이 수천만원에 달하는 인공심장 판막을 지난해 2월 사람 10명에 이식하는 첫 임상시험을 실시했다. 수술 후 현재까지 별다른 부작용이 없었다.

김 교수팀에 따르면 ‘폐동맥 인공심장판막’은 돼지의 심장 외막을 이용해 만들었다. 폐동맥 인공심장 판막은 우심실이 폐동맥으로 혈액을 뿜어낼 때 다시 우심실로 역류하는 것을 막아주는 기능을 한다. 하지만 판막에 문제가 생기면 혈액 역류 현상으로 피를 뿜어내는 심장 펌프기능에 저하된다.

그 결과 펌프기능이 약해지면서 심장이 신체 곳곳으로 혈액을 충분히 공급하기 어려워진다. 이에 인공심장 판막을 이식해 치료하고자 한 것. 이 임상시험에 참가한 판막질환 환자를 추적 관찰한 결과, 면역거부반응이 나타나지 않았다.

면역거부반응을 최소화한 방법에 대해 김 교수팀은 “인공판막은 소나 돼지의 심장 조직으로 만든 판막을 특수면역처리를 해서 만들었다”며 “이번에 개발한 판막은 돼지의 심장조직에 남아있는 세포를 제거하는 탈세포화 조직처리를 했고, 사람과는 달리 돼지 등 포유류에 많고 조직반응을 주로 일으키는 주범으로 알려진 ‘알파갈’이라는 단백질을 제거했다”고 설명했다. 심장 내 역류 현상도 거의 사라졌다. 우심실의 부피도 평균 32.1%나 줄었고 합병증도 나타나지 않았다.

이번에 토종 기술로 개발된 폐동맥 인공심장판막는 아직 상용화된 제품이 없어 현재 한국과 미국, 중국이 시장 선점을 위해 치열하게 경쟁하고 있다고 의료계는 설명했다. 국산판막이 상용화되면 개당 수천만 원에 달하는 판막 수입비용을 절감될 것으로 보인다.

김 교수는 “이번에 임상시험을 성공적으로 마친 국산 인공심장 판막이 상용화되면 한국 의료의 위상이 높아질 것”이라며 “판막의 국산화를 위해 현재 모든 기술을 국내 업체인 태웅메디칼에 이전한 상태”라고 설명했다.

김윤종 기자 zozo@donga.com

트렌드뉴스

트렌드뉴스

  • 좋아요
    0
  • 슬퍼요
    0
  • 화나요
    0

댓글 0

지금 뜨는 뉴스