
밥 먹을 때 소주 홀짝홀짝, 뇌출혈 11년 일찍 찾아온다
매일 500cc 맥주 2캔이나 소주 6~7잔을 마시는 사람은 그렇지 않은 사람보다 뇌출혈(뇌내출혈)이 평균 10년 이상 빠르게 발생하며, 출혈량이 더 많고 손상 정도도 훨씬 심각한 것으로 나타났다.미국 하버드대학교 의과대학과 협력관계인 대규모 비영리 의료·연구 네트워크인 매스 브리검 …
- 2025-11-07
- 좋아요 개
- 코멘트 개

매일 500cc 맥주 2캔이나 소주 6~7잔을 마시는 사람은 그렇지 않은 사람보다 뇌출혈(뇌내출혈)이 평균 10년 이상 빠르게 발생하며, 출혈량이 더 많고 손상 정도도 훨씬 심각한 것으로 나타났다.미국 하버드대학교 의과대학과 협력관계인 대규모 비영리 의료·연구 네트워크인 매스 브리검 …

초고령화 사회로 접어들면서 골다공증 환자가 꾸준히 증가하고 있다. 50세 이상 한국인 5명 중 1명이 골다공증을 앓고 있으며, 특히 폐경 이후 여성은 10년마다 환자 수가 두 배씩 늘어난다는 보고도 있다. 뼈 건강을 지키기 위해서는 균형 잡힌 식사와 함께 충분한 칼슘과 비타민D 섭취가…

치매 환자에게 흔히 나타나는 퇴행성 뇌 질환인 알츠하이머병과 관련해서 질환을 일으키는 원인 유전자 변이가 발견됐다. 알츠하이머병 발병은 유전적 요인이 60∼80%를 차지한다. 그동안 알츠하이머 연구는 주로 유럽 환자를 대상으로 진행됐다. 하지만 이번 연구는 한국인 등 동아시아 치매 …

대웅제약은 스마트 병상 모니터링 시스템 ‘씽크(thynC)’를 동탄시티병원 전 병상에 적용해 인공지능(AI) 기반 의료 환경을 구축했다고 6일 밝혔다. 씽크가 적용된 동탄시티병원은 지난달 스마트 병동 기공식을 열었다. 씽크는 대웅제약과 씨어스테크놀로지가 협력해 전개 중인 스마트 의료 …

한미약품이 세계 최초로 체중을 감량하면서 근육을 증가시키는 ‘꿈의 비만약’ 미국 임상을 본격화한다. 체중 감량 수치에 방점을 둔 기존 글루카곤 유사 펩타이드-1(GLP-1) 기반 약물들은 근 손실이 불가피한 것으로 알려졌지만 한미약품이 이를 극복한 신개념 비만 혁신 신약 개발에 한 발…

퇴행성관절염 줄기세포 치료 분야의 선두 주자로 평가받는 강남제이에스병원이 최근 카타르 도하를 방문해 보건 의료 확대 방안을 논의했다고 6일 밝혔다.강남제이에스병원은 지난 2일부터 5일 이형훈 보건복지부 제2차관, 한국보건산업진흥원, 서울아산병원과 함께 카타르 도하를 공식 방문했다.이번…

우리나라 청소년의 근시(近視) 비율이 급격히 늘고 있다. 특히 고등학교 1학년의 74.9%가 근시를 겪는 것으로 나타났다. 청소년 10명 중 7명 이상이 안경이 필요한 시대라는 것이다.전문가들은 “단순히 안 보이는 문제를 넘어, 관리하지 않으면 성인기에 시력을 잃을 수 있는 질환으로 …

최근 몇 년 사이 전 세계적으로 유행한 간헐적 단식 가운데 시간제한 식사 (Time-Restricted Eating·TR)은 하루 동안 식사할 수 있는 시간을 10시간 이하로 제한하고 최소 14시간 이상 단식하는 식사법이다. 하루 8시간만 먹고 16시간을 공복으로 유지하는 ‘16:8’…

오는 13일 대학수학능력시험(수능)을 앞두고 수험생과 학부모들 사이에서 높아지고 있다. 좋은 성적을 받기 위한 막바지 학습도 중요하지만 생활 리듬을 유지하는 것이 무엇보다 중요하다. 시험 당일 최상의 집중력을 유지하기 위해서다. 6일 의료계 등에 따르면 ‘4시간 자면 합격, 5시간 자…

한국인의 치매 발병에 관여하는 새로운 유전적 요인이 규명됐다.6일 국립보건연구원이 ‘뇌질환 연구기반 조성 연구사업’을 통해 국내 치매 환자들의 유전정보와 뇌영상 자료를 분석한 결과 SORL1, APCDD1, DRC7 등 알츠하이머병 발병에 관여하는 새로운 유전적 요인이 규명됐다고 밝혔…

손상된 치아 법랑질을 재생하고, 건강한 법랑질을 강화하며, 잠재적 충치 위험을 예방할 수 있는 생체모사 소재가 개발돼 내년 시판을 목표로 제품 개발이 진행 되고 있다.영국 노팅엄대학교(University of Nottingham) 약학대학과 화학·환경공학과 연구진이 국제 공동연구팀과 …

무릎 골관절염은 삶의 질을 크게 떨어뜨리는 대표적인 퇴행성 질환이다. 완충 역할을 하는 연골이 닳아 없어지면서 4단계로 진행된다. 연골이 마모되면 결국 뼈와 뼈가 직접 맞닿아 마찰을 일으키며 뻣뻣함, 부기, 지속적인 통증을 유발한다. 연골에는 없는 통증 수용체가 뼈에는 있기 때문이다.…

지난달 27일부터 이달 1일까지 경북 경주에서 열리며 성공적으로 마무리된 아시아태평양경제협력체(APEC) 정상회의에서는 단 한 건의 식중독도 발생하지 않았다. APEC 기간 식품 관리를 담당한 식품의약품안전처는 행사 개최 전부터 식음료 취급 시설을 사전 점검하고, 행사 기간에는 24시…
![[전문의 칼럼]경증환자까지 대학병원 ‘응급실 쏠림’… 지역 의료체계 위협](https://dimg.donga.com/a/296/167/95/4/wps/NEWS/IMAGE/2025/11/05/132713007.1.jpg)
요즘 응급의료 현장에서 가장 큰 고민은 대형병원 환자 쏠림 현상이 발생하는 것이다. 더 나은 진료를 원하는 마음은 당연하지만, 경증·만성질환자나 특별한 증상이 없는 건강검진 환자까지 서울 대형병원으로 몰리면서 지방 의료는 급속히 약화되고 있다. 이는 단순히 지역만의 문제가 아니라 국가…
![[만화 그리는 의사들]〈383〉원투펀치](https://dimg.donga.com/a/296/167/95/2/wps/NEWS/IMAGE/2025/11/05/132710091.8.jpg)

한국소비자원이 주요 스포츠 브랜드 8곳의 러닝 재킷을 비교한 결과, 체온유지성과 통기성 모두 우수한 ‘나이키 리펠마일러’가 가성비 1위로 선정됐다.

트럼프 행정부가 비만치료제 위고비·오젬픽의 보험 적용 및 약가 인하 협상을 진행 중이다. 월 약 149달러 수준 제공과 메디케어 적용 확대가 논의되고 있다.

김정은 북한 국무위원장이 추진한 평양종합병원이 5년 반 만에 개원했지만, MRI 등 첨단 장비가 보이지 않아 ‘세계 일류급 병원’이라는 북한의 주장에 의문이 제기됐다. 러시아와의 의료기기 협력 가능성도 거론된다.

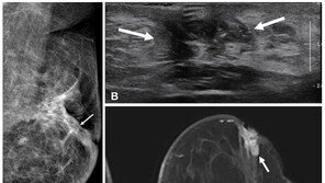
국내 연구진이 수술 전 MRI(자기공명영상)가 50세 이하 유방암 환자의 재발 예방에 효과적이라는 사실을 규명했다. 특히 예후가 나쁘고 재발률이 높은 ‘호르몬 수용체 음성 유방암’은 재발 위험이 60% 이상 낮아지는 것으로 나타났다. 이는 젊은 유방암 환자의 맞춤형 치료 가능성을 높이…

“아침은 하루 중 가장 중요한 식사”라는 말이 있다. “배가 고프면 뇌가 제대로 작동하지 않는다”라는 통념도 있다. 한 스낵 광고는 이를 활용해 “배고플 때 넌 네가 아니야”라는 문구로 이를 과학적 진리처럼 포장했다.지난 10여 년간 시간제한 식사나 간헐적 단식이 폭발적인 인기를 끌었…