영상의학 발전할수록 병리의사 역할 커진다

  • 입력 2008년 12월 4일 12시 07분


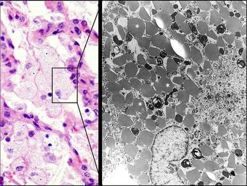
광학현미경-폐포 내에 거품 모양의 대식세포들이 모여 있다(왼쪽 사진) 전자현미경-대식세포 내에 참기름의 미세 지방 과립(별표)이 빽빽히 관찰된다(오른쪽 사진).
광학현미경-폐포 내에 거품 모양의 대식세포들이 모여 있다(왼쪽 사진) 전자현미경-대식세포 내에 참기름의 미세 지방 과립(별표)이 빽빽히 관찰된다(오른쪽 사진).
세포진 검사상 볼 수 있는 암세포 덩어리가 별표로 표시돼 있다(왼쪽 사진). 화살표 부분에 Mucicarmine 염색상 붉은 색의 점액이 관찰된다(오른쪽 위). 면역세포화학염색에서 폐 표지자인 TTF-1에 대해 종양세포 핵이 양성이다. 짙은 갈색을 띄고 있으며 화살표로 표시되어 있다(오른쪽 아래).
세포진 검사상 볼 수 있는 암세포 덩어리가 별표로 표시돼 있다(왼쪽 사진). 화살표 부분에 Mucicarmine 염색상 붉은 색의 점액이 관찰된다(오른쪽 위). 면역세포화학염색에서 폐 표지자인 TTF-1에 대해 종양세포 핵이 양성이다. 짙은 갈색을 띄고 있으며 화살표로 표시되어 있다(오른쪽 아래).
암-일반질환 구분의 최종 결정자

요즈음 CT, MRI, 초음파검사, PET-CT 등 최신 장비가 의료 현장에 도입되어 환자의 질병을 신속, 정확히 진단하는데 큰 역할을 하고 있다. 더불어 각종 분자유전학 검사가 질병 진단에 적용되어, 인체에서 떼어낸 조직을 현미경으로 직접보고 질환을 진단하는 병리의사의 역할이 줄어지거나 없어질지 모른다는 우려가 있기도 했다.

그런데 그러한 우려는 기우에 그쳤고, 첨단 진단장비 및 고도의 첨단 검사에도 불구하고 실제로는 임상의사가 병리진단 결과에 더욱 의존하는 상황은 매우 아이러니컬하다. 왜 그럴까?

어떤 사람의 그림자 모양과 크기만 보고 각 개인을 정확히 식별하기 어렵듯이 CT, MRI, PET-CT 등은 암세포로 이루어진 종양의 영상 그림자를 보여주거나 종양의 기능적 특성 일부를 나타내므로 암세포가 있는지를 정확히 진단하고 자세한 분류를 하기에는 그 한계가 있다.

오늘날 범죄수사현장에서 흉악한 범인을 잡기 위해서 첨단 과학기술과 기기를 사용한다. 때로는 최첨단 기술과 정보를 동원하더라도 범인의 단서를 전혀 잡지 못하는 경우가 있다.

암세포를 사람의 생명을 갉아먹는 흉악한 범죄자로 비유할 때, 병리의사는 셜록홈즈와 같은 탐정이다. 왜냐하면 여러 첨단 의료장비와 방법을 동원했는데도 암인지 아닌지를 판단하기 어려운 환자의 조직생검을 받아 병리의사만의 예리한 직관력과 정확한 잣대(암세포 판별 기준)를 가지고 현미경을 통해서 두 눈으로 직접 확인하여 진단하기 때문이다. 또한 암의 주변 조직을 정확히 조사하여 암세포가 어디에서 발생했는지도 밝혀낸다.

필자는 기초병리학연구를 수행하며, 동시에 병원에서 병리진단 업무에 종사하면서 특히 폐질환의 진단에 관심을 가져왔다. 환자의 상태를 정확히 알고 최선의 치료법을 찾기 위해 “증례집담회”라는 이름으로 여러 연관 과 의사들은 매주 머리를 맞대고 앉아 열띤 토론을 한다. 호흡기내과, 흉부외과, 영상의학과, 방사선종양학과, 핵의학과 등이 우리 팀이다.

이런 폐환자 집담회에 참가한지도 어언 20년이 넘어서고 있다. 그 동안 조직을 현미경으로 샅샅이 보면서도 진단이 어려운 많은 증례가 있었다. 어느 교과서나 어느 학술지에도 나와 있지 않는, 생전처음 보는 조직소견들을 접할 때마다 병리의사로서의 애환이 있지만은 결국 진단에 도달할 때 병리의사의 역할이 바로 이것이구나 하는 자부심을 느끼게 된다. 여기에 흥미로웠던 증례를 몇을 소개하고자 한다.

●증례 1: 환자의 과거활동 정보도 진단에 도움

평소 건강하였던 75세 여자 환자가 기침과 고열을 가져 병원을 방문하여, 필요한 검사와 함께 흉부 CT 사진을 촬영하였다. 양측 폐에 경계가 불분명한 혼탁한 영상이 관찰되어 폐렴과 폐암을 의심하면서 진단을 위해서 폐조직 검사를 실시하였다.

현미경 관찰에서 만성염증소견과 곰팡이균의 효모(yeasts)만 보이며, 암세포는 찾을 수 없었다. 그 곰팡이균 감염은 한국에서는 아주 희귀한 분아진균증(Blastomycosis)과 매우 흡사하여 주치의에게 진단과 함께 환자의 최근 활동에 대한 병력을 알아보도록 권하였다. 왜냐하면 한국에서는 매우 드문 진균증이기 때문이었다.

환자는 수개월 전 미국 서부를 2개월간 여행하였으며, 체류 중 그 곳 개인의원에서 폐렴으로 진단 받은 사실을 확인하였다. 환자는 암의 악몽을 떨쳐버리고 병리진단에 근거하여 항생제를 포함한 약물 치료를 받아 호전되었다.

●증례 2: 폐에 좋단 소리에 참기름 과다복용… 폐암 오인 ‘깜짝’

1년 전부터 호흡이 몹시 힘든 간질성 폐질환(Interstitial lung disease)을 가진 67세 여자 환자가 증상이 악화되어 다시 입원하였다. CT 사진에서 우측 폐에 광범위한 음영 혼탁이 있어서 폐암을 의심하여 조직 검사를 실시하였다.

현미경 관찰에서 암세포는 전혀 없었고, 폐포 내에 거품 모양의 대식세포가 다수 보였다. 전자현미경으로 더욱 정밀하게 관찰하였을 때 대식세포 내에는 중등도 전자밀도를 가지는 수많은 지방 과립을 보여서 외인성 지방폐렴(exogenous lipoid pneumonia)의 진단과 함께 환자의 과거 병력을 확인하도록 자문하였다.

환자는 11개월 전부터 폐에 좋다는 이야기를 듣고 3일에 소주 한 병 분량의 참기름을 먹다가, 최근 들어서 하루에 한 병씩 복용하였다. 따라서 이 환자의 폐병변은 암이 아니라 참기름 과다 복용에 의한 흡입성 지방 폐렴이었다.

●증례 3: 암의 임상 징후가 없더라도 현미경관찰 통해서 암을 발견하기도

69세 여자 환자가 호흡곤란을 호소하여 병원을 방문하였다. 흉부 CT 소견에서 우측 흉막강에 물이 많이 차 있고, 폐는 위축된 소견을 보였다. 기관지 주변의 폐실질에 음영이 증가되어 있으나 암을 의심할 만한 종괴는 관찰되지 않았다.

주치의는 양성 폐병변을 의심하면서 흉막강 내 물을 뽑아 세포진 검사(cytology)를 병리과에 의뢰하였다. 현미경상에서 점액을 생성하는 선암종(adenocarcinoma) 소견을 보였다. 암이 폐에서 발생하였음을 입증하는 CK7, TTF-1 표지자에 대한 면역염색 결과 암세포에서 양성을 보여, 흉막강으로 전이한 폐선암종의 진단이 가능하였고, 환자는 즉시 항암 화학요법을 받았다.

이처럼 병리의사들은 현미경 관찰을 통해 암을 포함한 각종 질환의 최종진단을 하는 중요한 역할을 수행하고 있다. 최근에는 면역 및 분자생물학적 첨단 방법을 적용하여 암환자의 치료 방향, 치료제 선택 및 예후와 관련한 정보를 함께 알려주어 임상의사가 확신을 가지고 환자를 진료 하도록 컨설턴트의 역할도 수행하고 있다.

권건영 계명대학교 동산병원 병리학과 교수

더사이언스 | 창간특별기획·사이언스뷰

트렌드뉴스

트렌드뉴스

  • 좋아요
    0
  • 슬퍼요
    0
  • 화나요
    0

지금 뜨는 뉴스