“갑자기 멍∼하고, 두통까지”… 건망증 아닌 뇌종양 신호일 수 있다[이진형의 뇌, 우리 속의 우주]

  • 동아일보

뇌전증과 뇌종양의 상관관계
뇌전증은 뇌종양 초기 증상 가능성… 환자 30∼50% 뇌전증 발작 경험
뇌종양 진단 뒤 뇌전증 일으키기도… 뇌전증 지속적 모니터링 중요해도
그간 진단 어려워 조기 치료 못해… 기술 발전에 뇌종양 치료에도 희망

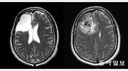
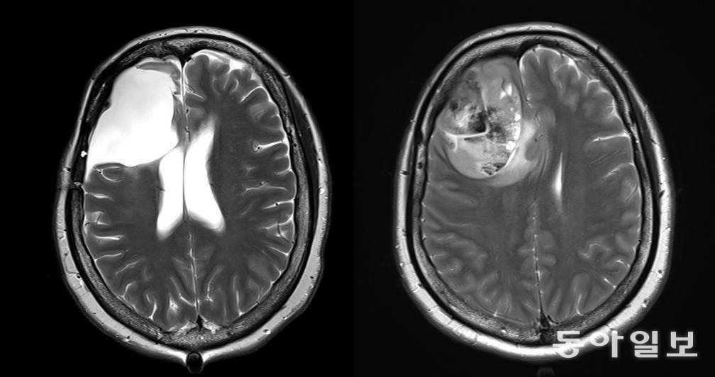
뇌종양(교모세포종)을 앓는 환자의 뇌 MRI 사진(왼쪽)과 뇌종양(교모세포증) 환자의 종양을 제거한 후 뇌 MRI 사진(오른쪽). 동아일보 DB
뇌종양(교모세포종)을 앓는 환자의 뇌 MRI 사진(왼쪽)과 뇌종양(교모세포증) 환자의 종양을 제거한 후 뇌 MRI 사진(오른쪽). 동아일보 DB
이진형 미국 스탠퍼드대 생명공학과 교수
이진형 미국 스탠퍼드대 생명공학과 교수
《2024년 방영된 드라마 ‘눈물의 여왕’의 주인공 홍해인(김지원 분)은 건강검진에서 악성 뇌종양 진단을 통해 3개월 시한부 선고를 받는다. 병원을 찾기 전 두통이 있었고, 가끔 기억이 끊기듯 사라졌으며 10분가량 의식을 잃은 적도 있지만 그것이 시한부 인생을 부를 병의 신호일 것이라곤 상상하지 못했다. 극 중 해인의 병명은 ‘클라우드 세포종’으로 소개됐지만, 실제는 교모세포종을 모티브로 한 뇌종양으로 보인다.》

뇌종양은 발생 위치와 조직학적 특징에 따라 원발성(뇌에서 직접 생김)과 전이성(다른 장기에서 전이)으로 나뉘고, 다시 양성과 악성으로 구분된다. 양성과 악성 뇌종양의 차이는 성장 속도, 주변 조직 침범 여부, 재발 가능성 등으로 판단한다. 최종 확진은 병리조직 검사로 이뤄진다.

양성 뇌종양은 성장 속도가 느리고 경계가 뚜렷한 반면, 악성 뇌종양은 빠르게 자라며 주변 조직으로 침투한다. 교모세포종은 뇌에서 생기는 원발성 악성 종양 중 가장 흔하면서도 악성도가 높다. 증상은 종양이 자리 잡은 위치에 따라 달라진다. 두통과 메스꺼움, 구토, 언어장애, 운동 마비, 감각 이상, 보행장애, 기억력 저하, 성격 변화, 경련, 의식장애까지 다양하게 나타날 수 있다.

교모세포종은 빠르게 성장하는 뇌종양이다. 이 때문에 해인이 이상 증상을 느끼고 병원을 찾았을 때는 이미 말기로 진행된 상태였다. 그렇다면 가끔씩 깜빡하고 기억을 잃는 증상은 뇌종양과 어떤 관련이 있을까.

뇌종양은 기본적으로 뇌 조직 안에서 비정상적인 세포 증식으로 생긴 종양이다. 그 자체로 뇌를 압박하거나 주위 조직을 자극해 뇌전증(간질)을 유발하는 원인이 될 수 있다. 이에 뇌종양 증상의 상당 부분은 뇌전증으로 인한 것일 가능성이 크다. 뇌종양 환자 가운데 뇌전증 발작을 경험하는 비율은 종양의 위치와 크기, 악성도에 따라 다르지만 일반적으로 약 30∼50%로 보고된다. 다만 지금까지는 뇌전증을 정확히 진단하기 어려웠기 때문에 실제 비율은 훨씬 더 높을 가능성도 있다. 전신 경련 같은 발작이 없더라도, 자신이 무엇을 했는지 10분 동안 기억이 끊긴 경험이 있다면 이는 겉으로 드러나지 않는 발작일 수 있다.

뇌전증은 뇌종양 진단 전과 후, 그리고 치료 이후까지 각각 중요한 영향을 미친다. 첫째, 뇌전증은 뇌종양의 초기 증상일 수 있다. 뇌전증 증상에 대한 확인이 뇌종양을 조기에 진단하는 데 매우 중요한 역할을 한다는 뜻이다. 따라서 뇌전증이 의심된다면 종양 여부도 반드시 확인해야 한다.

둘째, 뇌종양이 발견됐다면 아직 아무런 증상이 없는 양성 종양이라 하더라도 뇌전증을 일으킬 가능성이 높기 때문에 이를 예방하고 치료할 필요가 있다. 종양 자체가 양성이어서 당장 생명의 위협이 되지 않더라도, 크기가 커질 경우 그로 인한 뇌 조직 압박은 뇌전증을 유발할 수 있다. 뇌전증은 뇌 기능을 다양하게 마비시킬 수 있는 질환이어서 뇌종양보다 결코 가볍게 볼 수 없다. 따라서 뇌종양 진단을 받았다면 뇌전증 가능성을 염두에 두고 지속적으로 모니터링하며 필요한 경우 치료를 받아야 한다.

셋째, 뇌종양을 수술로 제거한 후에도 뇌조직 손상으로 인한 뇌전증 위험은 계속될 수 있다. 따라서 수술 후에도 뇌전증 가능성을 지속적으로 모니터링해야 한다.

뇌전증을 지속적으로 모니터링하고 조기에 치료해야 하는 가장 중요한 이유 중 하나는 이 질환이 그대로 멈춰 있는 병이 아니라 뇌조직을 지속적으로 손상시킨다는 점이다. 뇌전증은 처음에는 작은 신호로 국소 조직들에 영향을 미치다가도, 시간이 지날수록 그 범위와 이상 신호의 강도를 넓혀 간다. 따라서 뇌전증을 초기에 발견해 치료하지 않고 방치할 경우 이상 행동이나 발작으로 이어질 수 있다. 뇌는 신체의 모든 행동을 관장하는 만큼 뇌전증으로 인한 뇌 신호 이상은 기억력장애에서부터 운동장애, 성격 변화, 전신 발작에 이르기까지 다양한 문제를 불러올 수 있다.

이 세상의 모든 변화는 우리의 삶과 사회에 긍정적인 변화를 이끌어 내고자 하는 사랑의 마음에서 비롯된다. 또 그러한 변화는 기술을 통해 현실이 된다. 뇌전증은 지금까지 아주 극소수의 전문의와 전문시설을 통해서만 진단하고 치료할 수 있었다. 이처럼 까다로운 질환이었기 때문에 많은 사람들이 적절한 치료 시기를 놓쳐 왔다. 그러나 기술의 발전은 그런 진단과 치료를 훨씬 수월하게 만드는 길을 터 주었다. 아주 심각한 상태에 이르러 삶을 송두리째 흔들기 전에 미리 발견하고 치료하며 관리할 수 있는 세상은 우리 모두를 조금 더 행복하게 살 수 있도록 할 것이다.

극 중 해인은 새로운 실험적 치료에 성공하지만, 현실에선 아직 그런 치료가 존재하지 않는다. 그렇더라도 실제 뇌종양 환자들이 자신이 겪는 증상이 뇌전증일 수 있다는 사실을 미리 알 수 있다면, 뇌종양을 더 일찍 발견해 치료 가능성을 높일 수 있다. 또한 뇌전증의 진행을 막아 기억력 소실과 같은 증상을 줄이며 훨씬 나은 삶을 기대할 수 있을 것이다.

#뇌종양#교모세포종#악성 종양#뇌전증#기억력 저하#두통
© dongA.com All rights reserved. 무단 전재, 재배포 및 AI학습 이용 금지

트렌드뉴스

트렌드뉴스

  • 좋아요
    0
  • 슬퍼요
    0
  • 화나요
    0

댓글 0

지금 뜨는 뉴스