
시우민, 20일 디싱 ‘오버드롭’ 발매…7개월 만의 컴백
가수 시우민(XIUMIN)이 ‘오버드롭’(Overdrop)으로 돌아온다.20일 소속사 INB100(아이앤비백)에 따르면 시우민은 이날 오후 6시 각종 음원 사이트를 통해 디지털 싱글 ‘오버드롭’(Overdrop)을 발매한다.‘오버드롭’은 지난 3월 발매된 미니 2집 ‘인터뷰 엑스’ 이…
- 2025-10-20
- 좋아요 개
- 코멘트 개

가수 시우민(XIUMIN)이 ‘오버드롭’(Overdrop)으로 돌아온다.20일 소속사 INB100(아이앤비백)에 따르면 시우민은 이날 오후 6시 각종 음원 사이트를 통해 디지털 싱글 ‘오버드롭’(Overdrop)을 발매한다.‘오버드롭’은 지난 3월 발매된 미니 2집 ‘인터뷰 엑스’ 이…

슈퍼주니어 최시원이 남미 투어 중 읽은 책 세 권을 공개했다. 그가 공개한 목록에는 『김정은은 이렇게 망한다』가 포함돼 눈길을 끌었다. 최시원은 “다가올 통일은 기회이며, 그 기반은 복음에 있다”고 남겼다.

저자 바닐라 젠은 세계적인 철학자이자 인류학자인 질베르 뒤랑이 이끄는 뒤랑학파에서 신화 비평으로 박사학위를 받았지만, 실제 저자의 평생을 관통한 학문은 불교 유식학이다. ‘카르마 리셋’은 저자의 40년에 걸친 유식(唯識) 공부와 불교 수행을 현대적이고 감각적 언어로 풀어낸 특이한 철학…

가수 이효리가 운영하는 요가원이 현실적이고 유쾌한 답변으로 화제를 모으고 있다.‘초보도 괜찮나요’, ‘임산부도 가능한가요’ 같은 수강 문의부터 ‘요가 중 방귀 뀌면 어떡하냐’는 질문까지, 솔직한 운영 방식이 누리꾼들의 공감을 얻고 있다.● 이효리 요가원 수강 후기 화제, 어땠길래?20…

남성이 늦은 나이에 아이를 낳을수록, 자녀에게 질병 위험이 높은 ‘유해한 유전자 변이’를 물려줄 위험이 커진다는 연구 결과가 나왔다.영국 웰컴 생거 연구소(Wellcome Sanger Institute)와 킹스칼리지 런던(King’s College London) 연구진은 고해상도 염기…

온 몸에 뼈란 뼈는 다 사라진 것 같았다. 라텍스를 입은 여성 무용수 두 명은 몸을 이리저리 뒤틀고 꼬며 극한의 유연성을 보여줬다. 한 명이 허리를 한껏 뒤로 꺾어 몸을 아치 형태로 만들자, 다른 한 명이 그 위에 올라타 한 손으로 균형을 유지했다. 관객석에선 “이게 가능해?”라는 경…

2026 국제축구연맹(FIFA) 북중미 월드컵 개막이 1년도 채 남지 않은 상황에서 본선 경기 티켓을 확보할 수 있는 첫 일정이 공개됐다.20일 로스앤젤레스(LA)관광청에 따르면 FIFA는 현지시간으로 오는 27일부터 31일까지 ‘얼리 티켓 추첨(Early Ticket Draw)’ 단…

코미디언 손민수가 방송인 겸 배우 덱스를 스타로 키웠다고 말한다.그는 20일 방송하는 SBS TV 예능 프로그램 ‘동상이몽2 너는 내 운명’에 스페셜 MC로 출연한다.김숙이 “유튜브계 최수종답게 아빠가 되기 위한 준비를 완벽하게 했다”며 “산후조리사, 베이비시터 자격증을 다 땄다더라”…

배우 공효진(45)이 남편이자 가수 케빈 오와 함께 데이트를 즐겼다. 공효진은 20일 자신의 소셜미디어에 일본 여행 중인 사진을 게재했다.사진에는 다다미방에서 편안하게 앉아있는 공효진의 모습부터, 감성적인 거리에서 환하게 웃는 장면까지 담겼다. 특히 케빈 오와 손을 꼭 잡고 걷는 뒷모…

대한불교조계종 법주사 진옹당(震翁堂) 월성(月性) 대종사(사진)가 19일 충북 보은 옥천암에서 원적에 들었다. 법랍 50년, 세수 91세.월성 스님은 1956년 남원 실상사에서 금오 스님을 은사로 수계한 뒤 제방 선원에서 정진했다. 법주사 총지선원 선덕, 복천선원장을 역임했으며, 20…

배우 임채무가 두리랜드에서 어린이 손님을 직접 마중하며 감동을 전했다. 저출산 속에서도 아이들의 웃음을 지키려는 그의 진심이 화제다.

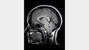
치매의 가장 흔한 형태인 알츠하이머병에 걸릴 위험은 여성이 남성보다 약 두 배 더 높다. 그런데 전반적인 뇌 위축 속도는 오히려 남성이 더 빠르다는 연구 결과가 나왔다. 이는 나이 관련 뇌 위축에서 나타나는 성별 차이가 여성의 높은 알츠하이머병 진단 비율을 설명하기 어렵다는 것을 보여…

그룹 블랙핑크가 3년 만의 신보 발매를 앞두고 뮤직비디오 촬영에 돌입했다. 앨범은 막바지 단계이며, 완전체 컴백으로 전 세계 팬들의 관심이 집중되고 있다.

가수 이효리가 요가원을 열심히 운영했다. 그는 지난 19일 소셜미디어에 “날이 많이 추워졌네요. 따뜻하게 입고 새벽에 만나요”라는 글과 함께 사진 여러 장을 올렸다.사진 속 이효리는 카운터에 앉아 대화를 하고 있다.수강생들은 요가에 열중했다.이들은 무릎을 꿇고 앉아 있다.이효리는 강아…

시민과 함께하는 복합문화페어이자 글로벌 콘텐츠 마켓을 지향하는 ‘2025 파주페어 북앤컬처’가 오는 24~26일 파주출판도시 일대에서 열린다. 2회째를 맞이하는 올해 축제에는 가수, 배우, 작가, 화가로 활동 중인 김창완 씨를 비롯해 뮤지컬 배우 최정원 씨, 홍지민 씨, 이건명 씨와 …

가수 김흥국이 가수로 복귀한다. 그는 “이제는 오직 노래와 예능으로 국민 곁에 서겠다”며 “정치는 내 길이 아니었다. 무대 위에서 함께 웃고 노래할 때 가장 행복하다”고 밝혔다. 대표곡 ‘호랑나비’를 현대적으로 재해석한 신곡을 연말 발표할 예정이다.

혼성그룹 ‘어반자카파’가 4년 만에 새 앨범으로 돌아온다.20일 소속사 앤드류컴퍼니에 따르면 어반자카파는 다음 달 3일 새 미니 앨범 ‘스테이’(STAY)를 발매한다.‘스테이’는 팝, 알앤비(R&B), 발라드, 모던 록 등 다양한 장르를 정교하게 융합한 앨범이다.하나의 서사적 흐름을 …

가수 김흥국이 정치적 논란에서 벗어나 본연의 자리로 돌아온다. 김흥국은 그간 윤석열 전 대통령을 공개 지지하며 보수 성향 집회 등에 참석해 정치적 발언으로 논란을 빚은 바 있다.20일 대박기획에 따르면 김흥국은 “이제는 오직 노래와 예능으로 국민 곁에 서겠다”며 복귀를 선언했다. 그는…

배우 박진주가 오는 11월 비연예인 예비 신랑과 결혼한다. 결혼식은 비공개로 진행되며, 그는 결혼 후에도 배우 활동을 이어갈 계획이다.

코미디언 양세형이 예능 ‘런닝맨’ 출연진 간 불화를 폭로했다.그는 지난 19일 방송한 SBS TV 예능 프로그램 ‘런닝맨’에 게스트로 출연했다.출연진은 미션으로 나온 질문을 인정해야 점수를 얻는 게임을 진행했다.양세형은 ‘나는 올해 런닝맨을 하차한다’는 질문에 같은 팀인 하하에게 “왜…