뇌속 3㎝ 바늘 박힌 채 80년 산 여성…“2차대전 때 아기 살해법”

  • 뉴스1
  • 입력 2023년 10월 5일 11시 06분


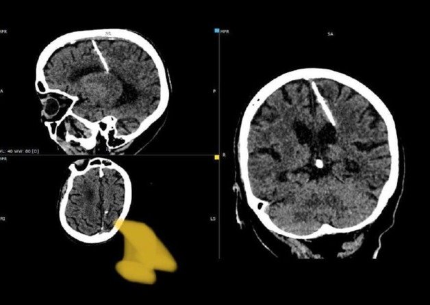
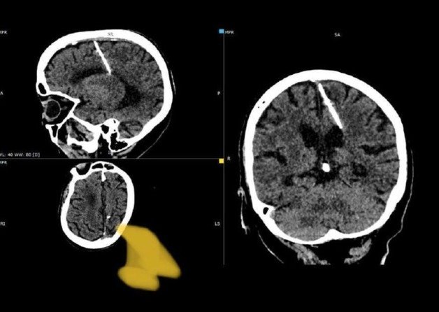
러시아의 80세 여성이 일평생 3㎝ 길이 바늘을 뇌에 꽂고 살아왔다는 사실이 알려지며 충격을 주고 있다.(텔레그램 갈무리).
러시아의 80세 여성이 일평생 3㎝ 길이 바늘을 뇌에 꽂고 살아왔다는 사실이 알려지며 충격을 주고 있다.(텔레그램 갈무리).
러시아의 80세 여성이 일평생 3㎝ 길이 바늘을 뇌에 꽂고 살아왔다는 사실이 알려지며 충격을 주고 있다.

4일(현지시간) 러시아 사할린주(州) 보건부는 텔레그램을 통해 “지역 X선 전문의들은 80세 환자의 뇌에서 3㎝ 바늘을 발견했다”고 적었다.

전문가들은 이 여성이 ‘영아살해’의 피해자라고 보고 있다. 보건부는 텔레그램에 “이 여성은 태어날 때부터 이질적인 신체로 살아왔기 때문에 부모들이 어려운 전쟁 시기(제2차 세계대전) 이 여성을 죽이기로 한 것 같다”며 “배고픈 해에 그러한 사례는 드물지 않았다. 아기 뇌에 손상을 입히는 얇은 바늘을 삽입하곤 했다”고 설명했다.

이어 “바늘은 왼쪽에 들어갔지만, 예상된 결과를 초래하지는 않았다. 이 소녀는 살아남았다”며 “지금껏 그는 결코 두통을 앓지 않았다. 올해 컴퓨터 단층촬영에서 이물질이 검출됐을 뿐”이라고 덧붙였다.

의료진들은 이 여성의 뇌에서 바늘을 꺼낼 경우 부작용이 발생할 수 있어 바늘을 따로 꺼내지는 않기로 결정했다.

현지 보건당국은 이 여성의 건강에는 위험이 없다고 강조했다. 당국은 성명에서 “주치의가 건강 상태를 모니터링하고 있다”고 밝혔다.

(서울=뉴스1)

트렌드뉴스

트렌드뉴스

  • 좋아요
    0
  • 슬퍼요
    0
  • 화나요
    0

댓글 0

오늘의 추천영상

지금 뜨는 뉴스