날짜선택
  • [사설]개미 ‘빚투’ 1년 새 두 배… 주가 떨어지면 ‘날 찌르는 칼’

    한국 증시가 ‘오천피(코스피 5,000)’, ‘천스닥(코스닥 1,000)’이라는 새 역사를 쓰자 개인투자자들의 ‘빚투(빚내서 투자)’도 30조 원에 육박하며 사상 최대 수준으로 급증했다. 금융투자협회에 따르면 증권사에서 돈을 빌려 주식에 투자하는 신용거래융자 잔액은 26일 기준 29조…

    • 1분 전
    • 좋아요
    • 코멘트
    PDF지면보기
  • 韓 재래식 군사력 3년 연속 ‘세계 5위’…北은 31위

    韓 재래식 군사력 3년 연속 ‘세계 5위’…北은 31위

    한국의 재래식 군사력이 미국, 러시아, 중국, 인도에 이어 3년 연속 세계 5위를 차지했다. 27일 군사력 평가기관 글로벌파이어파워(GFP)가 최근 공개한 ‘2026 군사력 순위’(2026 Military Strength Ranking)를 보면 한국은 전체 조사 대상국 145곳 중 5…

    • 4분 전
    • 좋아요
    • 코멘트
  • 그린란드 병합 야욕 때문?…트럼프, 동맹 상대로 네 차례 ‘관세 협박’

    그린란드 병합 야욕 때문?…트럼프, 동맹 상대로 네 차례 ‘관세 협박’

    도널드 트럼프 미국 대통령은 지난해 1월 재집권에 성공한 뒤 고율 관세 부과를 다양한 분야에서 ‘협상 카드’로 거침없이 활용하고 있다. 관세를 본래 취지인 무역적자 해소를 위한 목적으로 사용하는 건 물론이고, 외교안보 분야에서 마찰을 빚고 있는 상대국을 압박하기 위한 도구로도 꺼내 들…

    • 5분 전
    • 좋아요
    • 코멘트
  • BTS ‘아리랑’에 들썩이는 세계 [횡설수설/이진영]

    BTS ‘아리랑’에 들썩이는 세계 [횡설수설/이진영]

    군 복무를 마친 BTS 멤버 7인이 4년 만에 완전체로 복귀하는 월드투어 ‘아리랑’을 앞두고 전 세계가 들썩이고 있다. K팝 가수 단일 투어로는 최대 규모가 될 아리랑 투어는 3월 서울을 시작으로 34개 도시에서 82회 공연이 예정돼 있는데 예매를 개시한 북미와 유럽에서 41번 열리는…

    • 6분 전
    • 좋아요
    • 코멘트
    PDF지면보기
  • [오늘과 내일/윤완준]계엄의 밤 진실 감춘 한덕수의 6개월

    [오늘과 내일/윤완준]계엄의 밤 진실 감춘 한덕수의 6개월

    1995년 전두환 노태우 전 대통령을 내란 혐의로 기소할 수 없다는 검찰의 주장이 공분을 일으켰다. 검찰의 논리는 “성공한 쿠데타는 처벌할 수 없다”는 것이었다. 2년 뒤 대법원은 두 사람의 내란죄를 인정하며 그 논리를 반박했다. 신군부가 정권을 세우는 데 성공했다 해도 내란에 대한 …

    • 7분 전
    • 좋아요
    • 코멘트
    PDF지면보기
  • [박상준 칼럼]TV를 버린 소니의 큰 그림

    [박상준 칼럼]TV를 버린 소니의 큰 그림

    1월 20일 일본 기업 소니가 TV 사업 부문을 분리해 중국 기업 TCL과 합병회사를 설립한다고 발표했다. 합병회사 지분의 51%는 TCL이, 49%는 소니가 갖게 된다. 경영권이 중국 측에 넘어가는 구조라 시장은 이를 사실상의 사업 매각으로 받아들였다. 관련 기사에 많은 일본인들이 …

    • 10분 전
    • 좋아요
    • 코멘트
    PDF지면보기
  • [광화문에서/이건혁]한국서 사업할 의지 있나… 쿠팡, 신뢰 되돌릴 사과해야

    [광화문에서/이건혁]한국서 사업할 의지 있나… 쿠팡, 신뢰 되돌릴 사과해야

    쿠팡의 대규모 개인정보 유출 사실이 알려진 지 어느덧 두 달이다. 지난해 11월 29일 쿠팡이 개인정보보호위원회에 3370만 건의 고객 계정 노출 사실을 신고하며 시작된 쿠팡 사태는 아직 현재 진행형이다. 세 번의 청문회가 열렸고, 경찰 수사와 함께 공정거래위원회 등 수많은 정부 기관…

    • 13분 전
    • 좋아요
    • 코멘트
    PDF지면보기
  • [글로벌 현장을 가다/김철중]“주문 이틀 만에 배송”… 휴머노이드 로봇 렌털 시대 연 중국

    [글로벌 현장을 가다/김철중]“주문 이틀 만에 배송”… 휴머노이드 로봇 렌털 시대 연 중국

    《23일 중국 베이징 차오양구의 한 사무실. 오전 10시가 되자 대형 여행용 트렁크(28인치) 정도 크기의 검은색 가방이 도착했다. 가방을 열어보니 키 130㎝의 휴머노이드 로봇이 반으로 접힌 채 들어 있었다. 로봇의 무게가 초등학교 3, 4학년 남자아이 평균 몸무게와 비슷한 35㎏이…

    • 16분 전
    • 좋아요
    • 코멘트
    PDF지면보기
  • 외로움이라는 작은 희망[정덕현의 그 영화 이 대사]〈92〉

    외로움이라는 작은 희망[정덕현의 그 영화 이 대사]〈92〉

    “글쎄요…. 외로웠나 봅니다.” ―김보솔 ‘광장’체제의 감시가 만들어내는 불안은 외로움이라는 감정마저 잠식하는 것일까. 북한을 배경으로 평양 주재 스웨덴대사관 1등 서기관인 보리와 교통보안원 서복주의 사랑을 다룬 김보솔 감독의 ‘광장’은 바로 그 외로움을 화두처럼 던지는 애니메이션이다…

    • 19분 전
    • 좋아요
    • 코멘트
    PDF지면보기
  • [고양이 눈]커튼 뒤에는?

    [고양이 눈]커튼 뒤에는?

    건물에 낸 큰 틈에 작은 무대처럼 붉은 커튼이 내려와 있습니다. 아직 끝나지 않은 이야기가 그 안에 숨어 있을 것 같네요. ―서울 마포구 연남동에서

    • 19분 전
    • 좋아요
    • 코멘트
    PDF지면보기
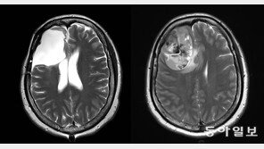
  • “갑자기 멍∼하고, 두통까지”… 건망증 아닌 뇌종양 신호일 수 있다[이진형의 뇌, 우리 속의 우주]

    “갑자기 멍∼하고, 두통까지”… 건망증 아닌 뇌종양 신호일 수 있다[이진형의 뇌, 우리 속의 우주]

    《2024년 방영된 드라마 ‘눈물의 여왕’의 주인공 홍해인(김지원 분)은 건강검진에서 악성 뇌종양 진단을 통해 3개월 시한부 선고를 받는다. 병원을 찾기 전 두통이 있었고, 가끔 기억이 끊기듯 사라졌으며 10분가량 의식을 잃은 적도 있지만 그것이 시한부 인생을 부를 병의 신호일 것이라…

    • 19분 전
    • 좋아요
    • 코멘트
    PDF지면보기
  • 의대 증원, 구조 개혁 없이 답 없다[기고/정우진]

    의대 증원, 구조 개혁 없이 답 없다[기고/정우진]

    의대 정원 확대는 필수의료 인력 부족에 대한 해법으로 계속 제기돼 왔다. 의사 수를 늘리면 상황이 개선될 것이라는 논리다. 그러나 이 해법을 둘러싼 찬반 논쟁이 이어지는 동안, 정책 논의는 쟁점의 핵심에서 벗어나 있다. 필수의료의 구조적 작동 방식과 인력 규모의 문제가 구분되지 않기 …

    • 19분 전
    • 좋아요
    • 코멘트
    PDF지면보기
  • ‘시간 도둑’ 미루기의 허와 실[정도언의 마음의 지도]

    ‘시간 도둑’ 미루기의 허와 실[정도언의 마음의 지도]

    새해에는 이런저런 일들을 해야겠다고 계획을 합니다. 그런데 벌써 2월이 다가옵니다. 계획한 것들을 시작도 하지 못했습니다. 미루고 있는 겁니다. 미루기를 ‘시간 도둑’이라고 합니다. 스스로 도둑을 마음 안으로 불러들인 겁니다. 현실의 불이익은 물론이고 마음에 상처가 날 것을 알면서도 …

    • 19분 전
    • 좋아요
    • 코멘트
    PDF지면보기
  • [이원주의 하늘속談]맹추위가 찾아오면 비행기도 더 흔들린다

    [이원주의 하늘속談]맹추위가 찾아오면 비행기도 더 흔들린다

    중부지방 기준 아침 최저 기온이 영하 10도 안팎으로 떨어지고 한낮에도 기온이 영하권에 머무는 맹추위가 길어지고 있다. 그런데 이렇게 동장군이 맹위를 떨치기 시작하면 한반도 상공을 오가는 비행기도 더 많이 흔들리게 된다. 지상의 날씨가 혹독하듯 하늘의 날씨도 혹독해지기 때문이다. 한반…

    • 19분 전
    • 좋아요
    • 코멘트
    PDF지면보기
  • EU-인도 FTA 체결…자동차 등 유럽상품 수출 날개

    EU-인도 FTA 체결…자동차 등 유럽상품 수출 날개

    유럽연합(EU)과 인도가 협상 개시 후 19년 만에 역대 최대 규모의 자유무역협정(FTA)을 체결했다. 자동차를 포함해 90%가 넘는 상대국 상품에 관세를 인하하거나 없애기로 했다.27일(현지 시간) 로이터 통신 등에 따르면 나렌드라 모디 총리는 이날 수도 뉴델리에서 우르줄라 폰데어라…

    • 27분 전
    • 좋아요
    • 코멘트
  • 김천구미역 진입하던 SRT 열차 고장…승객 376명 불편

    김천구미역 진입하던 SRT 열차 고장…승객 376명 불편

    27일 오후 5시 12분쯤 서울 수서역에서 부산역으로 가던 SRT 347 열차가 경북 김천구미역 인근에서 고장 나 1시간 30분가량 멈춰 섰다.이 사고로 탑승객 376명이 열차에서 대기하다 김천구미역으로 걸어서 이동해 다른 열차로 갈아탔고, 뒤따르던 열차 일부가 한때 지연되기도 했다.…

    • 51분 전
    • 좋아요
    • 코멘트
  • 고환율·관세판결 고려해 대미투자 미적…트럼프 분노 불렀다

    고환율·관세판결 고려해 대미투자 미적…트럼프 분노 불렀다

    도널드 트럼프 미국 대통령이 26일(현지 시간) 지난해 한미 관세 합의를 뒤집고 돌연 상호관세를 25%로 원복시키겠다는 고강도 압박에 나서면서 파장이 커지고 있다. 트럼프 대통령이 한국에 관세 재부과 방침을 밝힌 것을 두고 정부 안팎에선 미국이 한국의 신속한 대미 투자를 압박하기 위한…

    • 1시간 전
    • 좋아요
    • 코멘트
  • 경찰, ‘외주사 직원 성추행’ 종편 방송사 간부 입건…조만간 송치

    경찰, ‘외주사 직원 성추행’ 종편 방송사 간부 입건…조만간 송치

    경찰이 한 종편 방송사의 간부를 성추행 혐의로 입건해 조사하고 있다.27일 경찰에 따르면 서울 중부경찰서는 한 종편 방송사의 간부 50대 A 씨를 성추행 혐의로 입건해 수사 중이다.A 씨는 지난해 7월 방송사 직원들과의 저녁 식사 자리에서 외주사 직원인 B 씨의 옷 안으로 손을 넣고,…

    • 1시간 전
    • 좋아요
    • 코멘트
  • 5000만원인 줄 알았던 복권 당첨금의 반전

    5000만원인 줄 알았던 복권 당첨금의 반전

    처음에는 5000만원에 복권에 당첨된 줄 알았으나, 다시 확인해보니 1등 5억원 당첨이라는 사실을 알게 된 사연이 전해졌다.해당 사연은 27일 복권수탁사업자 동행복권 공식 홈페이지에 올라온 ‘스피또1000 102회차’ 당첨자 인터뷰 글을 통해 알려졌다. 이번에 당첨된 사례는 대전시 서…

    • 1시간 전
    • 좋아요
    • 코멘트
  • 김영대 “여동생, 처신 똑바로 하라고 걱정해 줘”

    김영대 “여동생, 처신 똑바로 하라고 걱정해 줘”

    배우 김영대가 ‘틈만나면,’에서 여동생이 해 준 조언을 언급했다.27일 오후 방송된 SBS 예능 프로그램 ‘틈만나면,’에서는 틈 친구 배우 이선빈, 김영대와 서울 관악구 봉천동의 틈을 함께했다.이날 이선빈이 김영대를 “손 많이 가고 신경 쓰이는 동생이다”라고 소개해 눈길을 끌었다. 그…

    • 1시간 전
    • 좋아요
    • 코멘트