공유하기

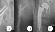
평균수명의 증가로 고령인구가 늘면서 골다공증이나 낙상 관련 골절 환자가 증가하고 있다. 대표적인 것이 고관절에 생기는 골절이다. 특히 고령층에서 고관절 골절이 생기면 근육량 부족으로 거동 능력과 회복력이 떨어져 요양시설에 가게 되는 상황이 흔하게 발생한다. 고관절 골절을 방치할 경우 장기간 침상생활로 인해 욕창, 폐렴, 심장질환 악화, 정맥혈색전증 등 치명적인 합병증이 발생할 수 있다. 고관절 골절은 사망률이 1년 내 25%, 2년 내 70%에 달할 정도로 높다. 수술을 받더라도 1년 내 사망률 14.7%, 2년 내 사망률이 24.3%에 이른다. 젊은 성인은 교통사고나 추락 등 사고로 인한 고관절 골절이 많다. 노인은 전체의 90%가 골다공증으로 뼈가 약해져 있어, 넘어지거나 주저앉는 단순 낙상에도 고관절 골절이 발생할 수 있다. 윤한국 국민건강보험 일산병원 정형외과 교수는 “골절이 발생하면 조기에 회복하는 것이 합병증 및 사망률을 줄일 수 있기 때문에 수술을 우선 고려하는 것이 좋다”며 “수술을 통해 걷는 것이 가능해지면 침상생활로 인해 생기는 합병증을 줄일 수 있다”고 말했다. 고관절 골절을 예방하기 위해서는 비와 눈이 오는 경우 외출을 줄이고, 집안에서는 낙상이 일어나기 쉬운 욕실 등에 미끄럼 방지 시설을 설치하는 것이 좋다. 또 균형감각을 기르거나 근력을 키우는 운동을 하는 것이 좋다. 가벼운 유산소운동도 골절 예방에 도움이 된다. 윤 교수는 “주기적으로 골밀도 검사를 하고 골절 예방에 효과적인 약물을 투여하는 것도 좋다”면서 “평소 보행 장애가 있다면 지팡이, 목발 등 보조기구나 옷처럼 착용하는 고관절 보호대를 착용하는 게 골절 예방에 효과가 있다”고 설명했다.이진한 의학전문기자·의사 likeday@donga.com}

최근 신종 코로나바이러스 감염증(코로나19) 확산에 따라 집에 있는 시간이 길어지면서 ‘비만과의 전쟁’을 고민하는 사람이 늘었다. 특히 초고도비만 유튜버로 잘 알려진 가수 빅죠(본명 벌크 조셉)가 6일 사망하면서 고도비만에 대한 관심이 높아지고 있다. 13일 국민건강보험공단에 따르면 일반건강검진을 받은 사람 가운데 고도비만자 비율은 2016년 5.1%에서 2018년 6.1%로 늘었다. 2년 새 20%가량 늘어난 것. 강동경희대병원 외과 최성일 교수는 “이 기간 비만 환자가 약 5% 늘어난 것과 비교하면 증가 속도가 빠른 것”이라며 “경제협력개발기구(OECD)는 국내 고도비만 인구가 20, 30대를 중심으로 2030년까지 2배로 늘 것으로 보고 있다”고 설명했다. 최 교수와 함께 고도비만의 오해와 진실, 해결책을 알아봤다. ○뚱뚱하면 모두 비만? 비만은 비정상적으로 몸에 체지방이 많은 상태다. 간단하게 비만을 평가하는 방법은 체질량지수(Body Mass Index)와 허리둘레 수치를 꼽을 수 있다. 체질량지수는 사람의 키와 몸무게로 계산하는데, 체중(kg)을 키(m)의 제곱으로 나눈 값(kg/m²)이다. 국내에서 비만은 체질량지수 25kg/m² 이상으로 정의한다. 이 수치가 35kg/m² 이상이면 고도비만, 50kg/m² 이상이면 초고도비만이라고 한다. 다만 지방보다 근육량이 많은 운동선수나 임신부, 수유 중인 여성, 노인 그리고 신장을 정확하게 측정할 수 없는 척추측만증 환자는 정확하지 않다. 이 때문에 비만을 평가할 때 허리둘레도 함께 봐야 한다. 허리둘레는 지방 분포를 평가하는 방법이다. 한국 기준으로 남자는 허리둘레 90cm, 여자는 85cm 이상이면 복부비만으로 정의한다. 같은 체질량지수라고 해도 복부비만이 같이 있으면 당뇨병과 고혈압의 발생 위험이 더 높다. 이 밖에 컴퓨터단층촬영(CT) 검사를 통해 복부 지방을 좀 더 세분해서 피하지방과 내장지방으로 나눠 각각의 면적을 측정할 수도 있다.○비만은 만병의 근원 비만은 그 자체가 문제라기보다 다른 병의 원인이 되는 것이 문제이다. 비만이 있으면 혈액에 지방과 당이 많아진다. 이 때문에 제2형 당뇨병부터 고혈압, 이상지질혈증, 지방간, 혈관질환, 심장질환에 취약한 경우가 많다. 또 체중이 늘며 관절에 무리가 가 관절염에 걸리기도 쉽다. 콜레스테롤이 쌓이는 담석증도 잘 걸리게 된다. 지방 세포가 염증을 유발해 각종 암이 발생할 수도 있다. 이 외에 허혈성 천식, 수면무호흡증, 위식도 역류 질환, 불임, 우울증 등이 발생할 가능성도 커진다. 이들 합병증으로 인한 사망률 역시 비만이 아닌 사람보다 20%가량 높아진다. 최 교수는 “비만을 고쳐야 하는 질환으로 인식하는 게 중요하다”며 “특히 고도비만과 초고도비만의 경우 의학적인 도움을 받아 치료를 받는 게 좋다”고 설명했다.○운동보다 의학적 치료 먼저 고도비만 환자이거나 대사질환을 동반한 비만 환자는 무조건 굶거나, 빠른 효과를 보기 위해 무리한 운동을 하면 오히려 독이 된다. 먼저 의학적 치료를 하는 게 필요하다. 가장 효과적인 치료법은 비만대사수술이다. 비만대사수술은 위를 잘라 식사량을 줄여 체중 감소를 돕는 것이다. 최근에는 복강경으로 수술하기 때문에 합병증이 적고 비교적 간단하게 끝난다. 보험 혜택도 받을 수 있어서 수술에 드는 부담금도 예전의 25% 정도로 줄었다. 위의 80% 정도를 자르는 위소매절제술은 체중 감량에 효과적이라 최근 많이 시행되고 있다. 그 다음으로 많이 하는 수술은 위 상부를 소장과 바로 연결해 당뇨병 고혈압 등 대사질환 개선에 효과가 좋은 ‘루와이 위우회술’이다. 물론 비만대사수술을 받는다고 해서 저절로 살이 빠지는 건 아니다. 수술 이후 의사와 꾸준히 상담한 뒤 식습관을 개선하는 게 필요하다.이진한 의학전문기자·의사 likeday@donga.com}

날씨가 추워지면서 가장 많이 생기는 심장질환이 바로 협심증과 심근경색이다. 협심증은 심장혈관이 좁아지고, 심근경색은 심장혈관이 막히는 것이다. 이들 질환을 치료할 때 90% 이상 사용하는 치료법이 좁아지거나 막힌 심장혈관을 확장시키는 심장 스텐트 시술이다. 이번 톡투건강에서는 대한심장학회와 함께 스텐트 시술은 무엇인지, 또 시술 뒤 재발을 막기 위한 관리법이 무엇인지 자세히 알아봤다. 참여한 전문의는 삼성서울병원 순환기내과 권현철 교수, 노원을지대병원 심장내과 유승기 교수, 인하대병원 심장내과 신성희 교수다. ―스텐트는 무엇이고 그 재질은 어떤 것인가? “스텐트는 주로 혈관 속에 넣어서 혈관 형태를 잘 유지시켜 주는 철망이나 그물망, 금속망을 말한다. 재질은 스테인리스나 스틸로 만들다가 최근에는 플래티늄, 백금합금 등 다양한 금속 재질로 만들고 있다.”(권 교수) ―예전엔 풍선으로 먼저 혈관을 확장했는데…. “풍선 확장으로만 혈관을 넓히는 것은 동맥경화로 막힌 곳을 찢어서 넓히는 것이다. 혈관 손상이 필수적으로 동반된다. 이로 인한 재협착이나 혈전 생성 등의 부작용이 많았다. 터널을 팔 때 버팀목 없이 파는 것을 떠올리면 된다. 스텐트는 버팀목에 해당하는 것으로, 이런 찢어진 부위를 붙이고 깔끔하게 혈관을 확장시키는 역할을 한다. 현재는 스텐트 시술이 표준 치료법이다. 물론 아주 작은 혈관의 경우 풍선 확장술로 하는 경우가 있다.”(유 교수) ―스텐트만 넣으면 어떤 혈관 질환이라도 치료가 가능한가? “아니다. 스텐트 시술은 심하게 협소해진 혈관을 넓히는 치료다. 하지만 혈관 질환 중에는 혈관이 좁지 않은데 동맥경화가 심한 경우가 있다. 이땐 약물치료를 하면 된다. 또 혈관질환의 위험인자인 고혈압, 당뇨병, 흡연, 고지혈증 등을 잘 관리하는 것이 혈관 악화를 막는 가장 중요한 치료라고 할 수 있다.”(권 교수) ―스텐트는 평생 지니고 살아야 하나? “최근 들어 녹는 스텐트가 개발되기도 했지만 스텐트는 기본적으로 금속 재질이다. 그대로 혈관 안에 남는다. 환자 입장에선 정형외과 보철물처럼 다시 빼야 된다고 생각할 수 있는데 스텐트 안으로 살이 덮이게 되기 때문에 다시 빼는 일은 없다. 평생 같이 산다고 보면 된다.”(유 교수) ―스텐트 시술 뒤 어떤 약을 먹어야 하나? “항혈소판제와 고지혈증 약제다. 그 중에서도 항혈소판제가 중요하다. 우선 혈관을 넓힐 때 혈관에 손상을 주게 되므로 혈전이 생길 수 있다. 또 스텐트가 혈관 내에 노출되면서 혈전이 생길 수 있다. 혈전을 예방하기 위해서는 2가지의 항혈소판 제제를 6∼12개월 동안 꼭 복용해야 한다. 그 이후에도 적어도 한 개 이상 항혈소판 제제를 평생 복용해야 한다.” (신 교수) ―재발 비율은 어느 정도 되나. “항혈소판제를 충분히 잘 복용한다면 재발 비율은 1% 미만으로 예전에 비해 많이 줄었다. 그 대신 항혈소판제 복용으로 미세 출혈이 생겨서 멍이 들 수 있는데, 1∼3개월 정도 이런 멍이 드는 것을 감수해야 한다.”(신 교수) ―항혈소판제만 먹으면 숨이 차다는 사람이 있다. 이유가 뭔가. “심근경색 후에는 심부전으로 인해 숨이 차는 경우가 많기 때문에 먼저 의심해 봐야 한다. 이외에도 항혈전제 중에서도 약 자체의 부작용으로 이렇게 숨참을 호소하는 경우도 있다. 대개는 크게 문제가 되지 않지만 숨찬 증상들이 아주 심할 때는 다른 약제로 바꾸기도 한다. 혹시 병이 재발되거나 심부전이 생기지 않았는지 주치의와 상담을 받는 것이 좋다.”(유 교수) ―건강검진에서 내시경을 받는다면 복용 중인 항혈전제는 끊어야 하나? “언제 스텐트를 넣었는지가 중요하다. 만약 심근경색 때문에 스텐트를 넣은 지 일주일에서 한 달 정도 지난 경우, 건강검진 내시경을 위해서 복용하는 약을 끊는다면 오히려 심장 정지의 위험이 있다. 당연히 건강검진을 하지 말아야 한다. 6개월 이상 지난 경우 주치의와 상담한 뒤에 약을 끊고 내시경 검사를 받아볼 수 있다. 약을 끊는 시기도 약에 따라서 이틀에서 5일, 7일 정도다. 환자의 콩팥 수치라든지, 나이 등에 따라 달라질 수 있다. 대개 건강검진에서 그냥 내시경 검사하는 정도는 괜찮다. 용종절제술 등을 하는 경우 지혈에 문제가 된다면 복용하는 약을 끊을 수도 있다.”(신 교수) ―평소 관리법은. “사실 심장에 좋다는 음식 상당수는 안전성은 증명됐지만 효과가 증명되지 않는 경우가 많다. 그리고 이미 좋은 약들이 많이 개발되어 있고 좋은 시술들이 많기 때문에 가능하면 담당 주치의와 상의해 결정하는 것이 좋다. 개인적으로 챙겨야 할 것은 약을 잘 복용하고 운동을 하는 것이다. 일반인과 똑같이 생활하면 된다.”(권 교수)이진한 의학전문기자·의사 likeday@donga.com}

환자 뒤에는 보호자가 있다. 보호자는 환자의 완치를 위해 경제적 지원과 함께 간병을 담당하는데, 이에 따른 스트레스가 만만치 않다. 실제로 한국비엠에스제약이 지난해 12월 16일 ‘환자 보호자의 날’을 맞아 조사한 인식 조사에 따르면 중증질환(암, 뇌혈관질환, 심장질환, 희귀난치질환, 치매) 환자 보호자 10명 중 8명은 간병 스트레스를 받는 것으로 나타났다. 간병 스트레스(복수 응답)로는 △보호자 자신의 심신 관리의 어려움(59%)을 꼽는 응답이 가장 많았고 이어 간병의 어려움(43%), 정서 조절 곤란(27%), 비용 부담(14%) 등의 순이었다. 이형국 한국상담학회 기획위원회 위원장(상명대 교수)은 “환자 보호자의 심리적 고통은 간병에 부정적인 영향을 끼치는 건 물론이고 그로 인해 본인도 제2의 환자가 될 가능성이 높다”고 경고했다. 이 교수의 도움을 받아 보호자 간병 스트레스와 관리법을 알아봤다.○ 보호자 스트레스 방치 땐 제2의 환자로 환자가 발생하면 가족 전체의 문제가 되면서 다양한 인간관계 문제로 이어지기 쉽다. 환자가 병을 이겨내는 과정에서 결코 혼자일 수 없으며, 보호자가 큰 역할을 한다. 보호자는 환자의 신체적, 정신적, 경제적 돌봄을 제공해야 하는 스트레스와 더불어 간병 과정에서 체력 저하, 가족 역할 재조정을 겪기 마련이다. 이 과정에서 보호자는 심리적 어려움을 겪게 되며 특히 암, 치매, 정신질환 등 장기 치료 환자 보호자들의 피로도가 매우 높다. 대부분의 의사 결정이나 판단을 보호자가 하기에 과중한 책임감으로 인한 부담감을 느끼기도 쉽다. 일상생활을 하면서 간병을 해야 하는 데 따른 스트레스도 상당하다. 특히 신종 코로나바이러스 감염증(코로나19)으로 위중중인 경우 환자 보호자는 가까이 갈 수도 없는 상황 때문에 더 큰 스트레스를 받게 된다. 이 교수는 “환자 보호자들은 ‘왜 이런 일이 나에게 일어나는가’ 하는 식의 상황에 대한 분노, ‘내가 할 수 있는 게 없다’는 무력감 등을 경험한다”며 “‘내가 좀 더 잘했으면’ 하는 죄책감과 불안, 우울감을 느끼기 쉽다”고 말했다.○ ‘슈퍼맨 심리’를 줄이자 환자 보호자로서 새로운 역할에 대한 적응도 쉽지 않다. 보통 보호자는 슈퍼맨이 되려는 심리가 있다. 일상과 간병 사이의 균형을 찾기 위해선 스스로 모든 걸 하려고 하지 말고 우선순위를 먼저 정해야 한다. 특히 환자와 보호자가 서로 다름에 대해 인정하는 게 필요하다. 또 일상에서 심리를 이완할 수 있는 방법을 찾는 게 좋다. 예컨대 호흡법, 근육이완법, 요가, 반신욕 등이 모두 도움이 된다. 이것이 어렵다면 다양한 콘텐츠 관람도 스트레스 해소에 도움이 된다. 우울감은 뇌가 지칠 때 느끼는 기분장애다. 불안감이나 우울감이 느껴지면 뇌를 즐겁게 만들어 줄 수 있도록 자신이 좋아하는 일을 하면서 뇌를 충전해 주는 게 필요하다.○ 보호자를 위한 시스템 만들어야 전문가들은 환자 보호자들의 정신건강을 위한 교육이 필요하다고 지적한다. 또 질병 진단 시 병원에서 정확한 정보를 보호자에게 알려주면 도움이 된다. 환자와 함께 보호자도 질병에 대해 아는 게 별로 없기에 향후 의사결정에 도움이 되고 환자를 다독일 수 있는 정보 제공이 필요하다. 환자를 잘 이해할 수 있도록 보호자에게도 환자의 심리 변화에 따라 겪는 어려움 등을 알려주고 심리 지원, 상담 교육을 제공할 필요가 있다. 이에 더해 자조 모임, 같은 질병을 갖고 있는 보호자 모임도 도움이 된다. 한국상담학회는 한국비엠에스제약과 환자 보호자를 위한 무료 전화 상담 프로그램 마음콜(1522-8185)을 16일까지 운영한다. 환자 보호자라면 누구나 참여할 수 있으며, 1급 상담사들에게 자신의 심리 상태를 털어놓을 수 있다. 전문기관의 도움을 받는 것도 좋은 방법이다. 이진한 의학전문기자·의사 likeday@donga.com}

추운 겨울에는 움직임이 위축되고 근육이나 관절의 유연성이 떨어진다. 몸을 움츠리고 종종걸음을 걷다 보면 빙판길에서 넘어지는 경우도 많다. 추위로 인해 근육이나 뼈가 경직돼 외부 충격에 의해 골절로 이어지기도 쉽다. 낙상 사고에서 가장 흔한 건 손목 골절이다. 넘어질 때 손으로 바닥을 짚는 경우가 많은데 이때 체중의 2∼10배에 달하는 힘이 손목에 전달되기 때문이다. 손목뼈가 부러지면 손목 부위가 아프고 부어오르며, 경우에 따라서는 손목이 포크처럼 변형되기도 한다. 뼈가 많이 어긋나지 않은 경우엔 뼈를 맞춘 뒤 6∼8주간 석고로 고정한다. 많이 어긋난 경우에는 뼈를 맞춘 뒤 금속판이나 의료용 철심으로 고정하는 수술을 받기도 한다. 뼈가 완전히 부러지면 통증이 심해 곧바로 병원을 찾지만, 금이 가거나 부러진 뼈가 서로 맞물리면 큰 고통을 느끼지 못해 통증을 참고 지내는 경우가 많다. 하지만 부상을 방치하면 더 심각한 결과를 가져올 수 있으므로 낙상으로 인한 손목 통증이 지속되면 골절을 의심하고 신속히 병원 치료를 받는 게 좋다. 이광원 대전을지대병원 정형외과 교수는 “손목 골절을 예방하기 위해선 잘 넘어지는 것도 중요하다”며 “넘어지는 순간 팔을 뒤로 짚지 않는 게 좋으며 엉덩이보다 비교적 충격 흡수가 좋은 등 부분으로 넘어지는 게 낫다”고 말했다. 장갑을 착용하면 넘어질 때 손목을 보호해 주는 역할을 할 수 있기에 외출 시 장갑을 착용하는 것도 방법이다. 이 밖에 눈이 많이 오거나 기온이 크게 떨어진 날에는 야외활동을 자제하고 부득이하게 외출할 땐 두꺼운 옷보다 활동하기 편한 얇은 옷을 여러 겹 겹쳐 입어야 한다. 주머니에 손을 넣고 다니는 건 금물이다. 균형감을 잃어 넘어지기 쉽고 넘어질 때 크게 다칠 수 있다. 신발은 굽이 낮고 폭이 넓으며 미끄럽지 않은 것을 신는 게 안전하다. 이 교수는 “조금 돌아가더라도 빙판길을 피하고 계단이나 경사로를 걸을 땐 평소보다 천천히 걷는 게 좋다”며 “추운 곳에서 갑자기 일어나면 혈압 저하로 어지럼증이 생겨 낙상 원인이 될 수 있으니 주의해야 한다”고 말했다.이진한 의학전문기자·의사 likeday@donga.com}

신종 코로나바이러스 감염증(코로나19) 대유행으로 인해 생명을 위협받는 다른 중증질환에 대한 관심이 줄면서 해당 질환 피해가 늘 것으로 보인다. 실제로 코로나19 유행 초기 영국 보고에 따르면 1만2000명이 코로나 이외 질환으로 사망했다. 만성질환 및 중증 급성 환자들이 제때 병원을 가지 못해 초래된 사망자 수다. 미국에서도 마찬가지 현상이 나타나고 있다. 뇌중풍(뇌졸중) 진단을 위해 시행되는 뇌영상 검사 수가 코로나19 사태 이후 예년에 비해 39% 급감했다. 미국의 또 다른 연구에서는 급성 심근경색으로 인한 입원이 48% 감소했다. 그 대신 병원 밖에서 심정지 빈도가 증가했다는 보고도 있다. 우리나라도 코로나19로 인해 숨겨진 질환들의 문제가 여실히 드러나고 있다. 이달 첫 주 질병관리청 주간통계에 따르면 올해 에이즈를 일으키는 인간면역결핍바이러스(HIV) 신규 감염 신고 건수가 지난해 대비 20.7% 감소했다. 2018년과 비교해도 18% 감소했다. 국내 HIV 검사 및 신고에서 보건소는 약 30%를 차지한다. 이를 미뤄 볼 때 보건소의 대국민 서비스가 중단된 게 감소의 중요한 요인이다. 현재와 같은 수준으로 검사에 대한 접근성이 낮아지면 신규 감염자 발견이 늦어져 치료 접근성과 효과에도 연쇄적인 악영향을 미칠 수 있다. 최근 국내에서 폐암과 결핵도 비슷한 양상이다. 현재 국내에서 암 사망률 1위인 폐암은 늦게 발견되면 5년 생존율이 10% 미만으로 급격하게 떨어진다. 관련 학회에 따르면 2017∼2019년 2∼6월에 비해 올해 같은 기간 폐암환자의 호흡기내과 방문자 수가 16% 감소했다. 결국 늦게 발견된 탓에 말기 폐암환자 수가 더 늘어나는 결과를 초래할 수 있다. 결핵도 같은 시기 20% 이상 환자 진단 건수가 줄었다. 결핵은 세계적으로 연간 약 1000만 명이 발생하고 300만 명은 진단되지 못한 상태로 방치돼 매년 120만 명이 사망한다. 코로나19보다 더 무서운 결핵 팬데믹 시대에 살고 있는 셈이다. 이 밖에도 생명을 위협하는 중요 질환인 대동맥판막협착증도 코로나19로 인해 치료 혜택을 못 받고 해를 넘기는 질환이 됐다. 이 질환은 대동맥판막이 좁아지고 심장에 손상이 발생해 사망에 이를 수도 있다. 보통 고령에 의한 판막의 석회화가 직접적인 원인이다. 환자 6명 중 5명은 75세 이상 노인이다. 고령화 여파로 매년 환자 수가 20%씩 늘고 있고, 치료하지 않으면 환자 2명 중 1명은 진단 후 2년 내 사망할 정도로 위험하다. 대동맥판막협착증 치료로는 가슴을 여는 개흉 수술과 최소 침습 방법으로 인공판막을 삽입하는 경피적 대동맥판막 삽입술(TAVI·타비)이 있다. TAVI의 증명된 안전성과 효과 때문에 이미 세계 주요국에서는 모든 연령층의 환자를 대상으로 사용되고 있으며 보험급여 또한 이뤄지고 있다. 이 치료법은 도입된 지 15년이 넘었다. 세계적으로 19만 건 이상의 시술이 시행됐고 관련 논문만 8000개가 넘는다. 국내에선 2012년 식품의약품안전처 허가를 받아 2015년 6월부터 환자 부담률 80%의 조건부 선별급여가 적용되고 있다. 하지만 환자가 2600만 원 이상을 부담해야 한다. 문재인 케어로 대표되는 보장성 강화 이후 TAVI도 필수급여 검토 대상이었다. 하지만 진전이 없었다. 국민건강보험법 규정에 따라 예비급여 대상에 포함된 지 5년이 된 치료법은 재평가를 통해 필수급여 편입 여부가 결정된다. 필수급여가 되면 환자 부담은 5% 정도다. 그런데 이미 6월로 5년이 지났다. 코로나19로 인한 정부의 무관심과 함께 TAVI를 직접 시술하는 대한심장내과학회와 개흉 수술을 담당하는 대한흉부외과학회의 이견 때문이다. 대동맥판막협착증 환자의 연령은 평균 80.4세로 많은 환자가 진료비 부담으로 치료를 포기하며 삶을 어렵게 이어가고 있다. 경제적으로 취약한 노년층의 경우 특히 그렇다. 이들에겐 하루가 급하다. 정부 입장에서 코로나19 대응이 가장 시급한 과제임은 의심의 여지가 없다. 하지만 그런 이유로 다른 치명적인 질병에 대한 관심과 경계가 느슨해지진 않았으면 한다. 현 시점에선 어려운 주문일 수 있지만, 코로나19 이전부터 인류의 생명을 위협해 온 질병에 대한 대응에도 빠른 의사 결정과 조치를 기대한다. 이진한 의학전문기자·의사 likeday@donga.com}

신종 코로나바이러스 감염증(코로나19) 사태가 장기화하면서 면역의 중요성이 대두되고 있다. 코로나바이러스에 노출돼도 이겨낼 수 있는 면역력을 키우는 게 가장 중요한 예방법이기 때문이다. 양서연 이대서울병원 재활의학과 교수는 “건강한 면역체계를 기르기 위해 가장 중요한 건 영양 균형이 잡힌 식사와 충분한 수면, 꾸준한 운동”이라고 했다. 최근 방역 강화로 수영장, 헬스장 등 실내 운동시설이 문을 닫아 집에서 꾸준히 하는 홈트레이닝(홈트)에 대한 관심이 높아지고 있다. 양 교수와 함께 집에서 손쉽게 따라할 수 있으면서도 생존을 위해 필수인 ‘면역력 기르는 운동 6가지’를 알아봤다. 준비 운동으로 제자리 걷기가 효과적이다. 미국스포츠의학회(ACSM)는 노년층에 가장 좋은 운동으로 제자리 걷기를 권장한다. 관절에 부상을 입을 위험이 적기 때문. 이때 상체를 쭉 펴고 견갑골을 조이는 느낌으로 고개를 살짝 올리는 게 중요하다. 팔다리를 반대로 움직이며 하루 2, 3회 15∼20분 동안 지속하면 좋다. 물리치료사 로빈 매켄지가 개발한 것으로 알려진 ‘매켄지 목신전 운동’은 어깨를 편 상태에서 하늘을 바라보는 느낌으로 고개를 젖혀주면 된다. 어깨가 쫙 펴지면서 시원한 느낌이 든다. 양 교수는 “목을 펴는 스트레칭은 디스크에 무리가 가는 것을 줄여준다”며 “반동을 이용하지 말고 끝까지 젖히는 게 좋다”고 말했다.○ 중심 근육 강화로 목 통증 예방 인체의 중심부인 척추, 골반, 복부를 지탱하는 코어 근육을 강화해야 곧은 자세를 유지할 수 있다. 코어 근육을 강화하는 운동은 허리나 목의 통증을 예방하고 디스크 질환을 완화하는 효과가 있다. 대표적인 운동이 스쾃이다. 양 교수는 “스쾃처럼 우리 몸에 많은 근육을 동시다발적으로 쓰는 운동은 없다”며 강력 추천했다. 선 채로 배에 힘을 주고 고관절을 접으면서 천천히 기마자세로 내려가는데 발바닥으로 바닥을 밀어주는 느낌으로 한다. 몸통의 안정성과 하지 근력에 도움이 된다. 버드독(bird&dog) 자세는 허리 통증이 있는 환자에게 좋다. 마치 개처럼 양 손바닥과 무릎을 바닥에 둔 채로 엎드린 후에 새가 날개를 펴듯 한 손과 반대쪽 다리를 들어올린다. 이때 손은 어깨 높이, 다리는 골반 높이를 넘기지 않는다. 양 교수는 “15∼20회 반복하면 몸통의 밸런스가 유지되고 골반 근육이 작용하며 복근도 사용하게 돼 중심 근육이 강화된다”고 했다.○ 한 동작을 하더라도 정확하게 상체 근육을 기르는 데 가장 좋은 맨몸 운동은 팔굽혀펴기다. 가능한 한 상체와 하체를 일직선으로 유지한다. 힘들다면 무릎을 땅에 대고 한다. 데드버드 운동은 ‘죽은 벌레(dead bug)’에서 이름을 땄다. 바닥에 천장을 보고 누운 상태에서 양손을 앞으로 뻗고 양쪽 다리를 90도로 구부려 든다. 무릎을 구부린 상태를 유지하면서 발로 바닥을 터치하고 제자리로 돌아오는데, 이런 동작이 쉽다면 다리와 반대쪽 팔을 같이 움직일 수도 있다. 양 교수는 “척추 정렬을 유지하면서 코어를 단련하는 좋은 운동”이라고 권했다. 마지막 동작, 브리지는 엉덩이 근육뿐 아니라 허리, 다리 근육 발달에 도움을 주고 신체의 불균형을 교정하는 운동이다. 천장을 바라보고 누운 상태에서 골반을 위로 들어올리는데 이때 엉덩이에 긴장을 유지하며 몸통과 다리가 일직선상에 오도록 유지해야 한다. 양 교수는 “간단해 보이지만 각 동작을 15∼20개 반복하면 이마에 땀이 배어나온다”며 “각자 체력에 맞게 한 동작을 하더라도 정확하게 반복한다면 해당 부위 근육이 자극 받아 전반적인 면역력 확대에 큰 도움이 될 것”이라고 말했다. 이진한 의학전문 기자·의사 likeday@donga.com}
신종 코로나바이러스 감염증(코로나19)으로 인해 외부 활동이 제한되면서 우울감을 느끼는 ‘코로나 블루’를 넘어 우울증 단계인 ‘코로나 블랙’을 호소하는 사람이 늘고 있다. 만약 더 나아가 불쑥 화가 치밀거나 폭력적인 상황에 쉽게 놓이면 ‘분노조절장애’를 의심할 수 있다. 분노조절장애는 하나의 질환이나 병명을 말하는 것이 아니다. 분노조절 문제는 다양한 원인에 기인하는 증상이다. 분노는 본능적 감정이 순간적인 말 또는 행동으로 표현되는 것. 대표적 원인으로 △과도한 스트레스에 지속 노출 △마음속 억눌린 화 누적 △성장 과정 중 정신적 외상 △낮은 자존감이나 열등감 △무시당한다는 생각 △특권의식이나 피해의식 △뇌의 감정조절 기능 저하 △폭력에 대한 처벌이 약한 사회나 문화적 환경 등 매우 다양하다. 강승걸 가천대길병원 정신건강의학과 교수는 “최근 언론에서 많이 다뤄지는 소위 ‘묻지 마 범죄’, 대기업 총수가 부하 직원에게 욕설과 폭행을 하는 사건 등은 공격성과 분노조절 문제가 혼재된 ‘분노조절장애’가 원인”이라면서 “분노조절 문제는 무엇보다 원인 파악이 필요하다”고 말했다. 분노조절 문제를 해결하기 위해서는 표현법을 개선하고 격렬한 감정이 치밀 때는 잠시 참으며 유연한 사고를 갖는 게 중요하다. 문제를 해결하기 위해서는 우선 스스로의 감정을 정확히 느끼고 보다 세련되고 적절한 표현을 하도록 훈련해야 한다. 분노 조절을 하지 못하는 사람들은 자신이 화를 내는 이유를 잘 알지 못하거나 적절히 설명하지 못한다. 예를 들면 자신이 질투하거나 싫어하는 사람을 다른 사람이 칭찬했을 때 화가 난다면, 처음에 ‘상대방이 나를 놀려서’ 화가 났다고 생각될 수 있으나 사실은 자신이 싫어하는 사람을 칭찬하니 열등감과 질투심이 느껴져서 화가 난 것이다. 분노가 치미는 순간에 1, 2분 참고 견딜 수 없으면 상황을 피하는 것도 분노조절 문제를 개선하기 위한 좋은 방법이다. 화는 시간이 지나면 대부분 가라앉는다. 화가 날 경우 마음속으로 1부터 100까지 세어 보자. 그럼에도 화가 가라앉지 않는다면 그 상황을 정리하거나 피하는 것이 낫다. 자주 분노를 느끼는 사람들은 독선적이거나 일방적 성격인 경우가 많다. 때로는 ‘이건 이래야 한다’라는 편협한 고정관념을 가지고 있는 경우도 있다. 강 교수는 “분노조절 문제를 풀기 위해서는 보다 유연한 사고방식, 상대의 입장이 돼 보는 역지사지의 태도가 필요하다”면서 “불만스럽거나 힘든 상황에서도 유머로 상황을 대응하는 것도 좋은 방법”이라고 말했다.이진한 의학전문기자·의사 likeday@donga.com}

신종 코로나바이러스 감염증(코로나19)으로 인해 외부 활동이 제한되면서 우울감을 느끼는 ‘코로나 블루’를 넘어 우울증 단계인 ‘코로나 블랙’을 호소하는 사람이 늘고 있다. 만약 더 나아가 불쑥 화가 치밀거나, 폭력적인 상황에 쉽게 놓이면 ‘분노조절장애’를 의심할 수 있다. 분노조절장애는 하나의 질환이나 병명을 말하는 것이 아니다. 분노조절 문제는 다양한 원인에 기인하는 증상이다. 분노는 본능적 감정이 순간적인 말 또는 행동으로 표현되는 것. 대표적 원인으로 △과도한 스트레스에 지속 노출 △마음 속 억눌린 화 누적 △성장과정 중 정신적 외상 △낮은 자존감이나 열등감 △무시당한다는 생각 △특권의식이나 피해의식 △뇌의 감정조절 기능 저하 △폭력에 대한 처벌이 약한 사회나 문화적 환경 등 매우 다양하다. 강승걸 가천대길병원 정신건강의학과 교수는 “최근 언론에서 많이 다뤄지는 소위 ‘묻지 마 범죄’, 대기업 총수가 부하 직원에게 욕설과 폭행을 하는 사건 등은 공격성과 분노조절문제가 혼재된 ‘분노조절장애’가 원인”이라면서 “분노조절 문제는 무엇보다 원인파악이 필요하다”고 말했다. 분노조절문제를 개선하기 위해서는 표현법을 개선하고, 격렬한 감정이 치밀 때는 잠시 참으며 유연한 사고를 갖는 게 중요하다. 문제 해결을 위해서는 우선 스스로의 감정을 정확히 느끼고 보다 세련되고 적절한 표현을 하도록 훈련해야 한다. 분노조절을 하지 못하는 사람들은 자신이 화를 내는 이유를 잘 알지 못하거나 적절히 설명하지 못한다. 예를 들면 자신이 질투하거나 싫어하는 사람을 다른 사람이 칭찬했을 때 화가 난다면, 처음에 ‘상대방이 나를 놀려서’ 화가 났다고 생각될 수 있으나, 사실은 자신이 싫어하는 사람을 칭찬하니 열등감과 질투심이 느껴져서 화가 난 것이다. 분노가 치미는 순간에 1, 2분 참고 견딜 수 없으면 상황을 피하는 것도 분노조절 문제를 개선하기 위한 좋은 방법이다. 화는 시간이 지나면 대부분 가라앉는다. 화가 날 경우 마음속으로 1부터 100까지 세어보자. 그럼에도 화가 가라앉지 않는다면 그 상황을 정리하거나 피하는 것이 낫다. 자주 분노를 느끼는 사람들은 독선적이거나 일방적 성격인 경우가 많다. 때로는 ‘이건 이래야 한다’라는 편협한 고정관념을 가지고 있는 경우도 있다. 강 교수는 “분노조절문제를 풀기 위해서는 보다 유연한 사고방식, 상대의 입장이 돼 보는 역지사지의 태도가 필요하다”면서 “또 불만스럽거나 힘든 상황에서도 유머로 상황을 대응하는 것도 좋은 방법이다”고 말했다. 이진한의학전문기자·의사 likeday@donga.com}

“전 세계 61개국에서 에이즈(AIDS)를 일으키는 인간면역결핍바이러스(HIV), 성병 및 간염에 관한 검사 및 예방 서비스가 중단될 위기를 겪고 있다.” 세계보건기구(WHO)가 올해 7월에 남긴 논평이다. 유감스럽게도, 이 우려가 한국에서 점점 현실화하고 있다. 신종 코로나바이러스 감염증(코로나19) 확산으로 코로나 검진 외 보건소의 대국민 의료서비스가 중단되면서 HIV/AIDS 관리에 사각지대가 발생한 것이다. 12월 첫 주 질병관리청의 주간통계에 따르면 올해 HIV/AIDS 신규 감염 신고 건수가 지난해 대비 20.7% 감소했다. 2018년에 비해서도 18%가 감소한 것이다. 한국의 HIV 검사 및 신고가 이뤄지는 기관 중 보건소가 차지하는 비율이 30%다. 이를 감안할 때 보건소의 대국민 서비스 중단에 따라 HIV/AIDS 검사 및 신고가 감소됐다는 추정이 가능하다. 국내에서는 전국 모든 보건소에서 HIV/AIDS 무료 및 익명 검사를 제공하고 있다. 질환에 대한 편견과 차별이 심한 환경에서 보건소 접근이 어려워진다는 점은 HIV/AIDS 취약계층의 감염 억제에 경고 등이 켜졌다는 것을 의미한다. 2월 발표된 국내 연구보고서에서 국민건강보험공단의 처방기록 빅데이터를 분석한 자료를 보면 2020년 기준 HIV 미진단율이 약 37.5%로 나타나면서 검사를 통해 자신의 감염 사실을 알고 있는 비율은 약 62.5%로 추산됐다. 또 감염 사실을 알고 항바이러스제로 치료를 받은 감염인 비율은 87.5%, 항바이러스제를 통해 바이러스를 억제한 감염인 비율은 90.16%인 것으로 나타났다. 이에 따라 국내에서는 HIV 검사율을 높이는 것이 중요한 사안이다. 현재 HIV/AIDS 종식을 위한 전략 중 일부는 국내에서도 달성돼 가고 있지만, 현재와 같은 수준으로 검사에 대한 접근성이 낮아지면 신규 감염자 발견이 늦어질 수 있고, 이에 따라 치료접근성과 치료효과에도 연쇄적 악영향을 미칠 수 있다. HIV/AIDS 감염 여부는 증상만으로 확인할 수 없으므로 검사로 확인해야 한다. 조기 진단과 치료는 감염인의 건강 유지와 타인에 대한 전파 예방 모두에 효과적이다. 최근엔 국내에서도 HIV에 감염되지 않은 사람을 대상으로 HIV 감염을 예방하기 위해 먹는 약으로 개발된 노출 전 예방요법이 도입됐다. 이 약을 매일 복용하며 성관계 시 콘돔 사용을 병행하고, 정기적 상담을 지속한다면 감염의 전파를 막을 수 있다. 코로나 확산이라는 국가적 위기에 응전하는 것만큼이나, 위기가 장기화하는 동안 발생하는 피해에 대한 빠른 점검과 대응이 필요한 시점이다. 감염인이나 취약계층을 대상으로 병·의원 검진을 독려하고 지원해 주거나, 자가 검진을 지원하는 방법도 고려해 보는 것이 좋다. 나아가 이러한 유형의 잠재적 공중보건 비상사태에 대비하기 위한 의료 시스템의 개선이 필요하다. 순간적 관리 소홀로 발생한 구멍을 메우기 위해, 더욱 많은 것을 잃고 시간과 자원을 사용해야 되는 일 만큼은 막아야 한다.이진한 의학전문기자·의사likeday@donga.com}

신종 코로나바이러스 감염증(코로나19) 유행으로 집에 있는 시간이 길어지면서 운동 부족 등에 따른 체중 증가를 걱정하는 사람이 많다. 그런데 살찌는 게 고민이 아닌 사람도 있다. 바로 얼굴이나 팔, 다리 등이 붓는 사람이다. 부종은 그 자체가 병이기보다 여러 질환에 의해 발생한 하나의 증상일 수 있다. 지난해 국내 암 환자 대상으로 실시된 부종 수술의 40% 이상을 담당한 이대목동병원 림프부종센터 우경제, 박진우 교수(성형외과)의 도움말로 부종 원인과 해결책을 알아봤다. 부종은 체액이 혈관 밖으로 나온 상태 부종은 말 그대로 몸이 부어 있는 상태를 말한다. 의학적으로는 모세혈관 내 체액이 혈관 밖으로 빠져나와 세포 사이 결합 조직에 고여 있는 것이다. 만약 부은 부위를 엄지손가락으로 10초간 꾹 눌렀다 뗐을 때 원래대로 돌아오지 않고 자국이 남는다면 한 번쯤은 병원에서 진료를 받는 것이 좋다. 우 교수는 “전신 부종의 대표적인 원인은 심장 문제”라면 “혈액 순환을 담당하는 심장이 펌프 기능을 제대로 못 하면 체내 대사에 필요한 혈액을 충분히 공급하지 못한다”고 말했다. 즉 다리로 내려간 혈액이 심장 기능이 약해서 몸 위로 못 올라오면 정체되는데, 이때 혈액이 걸러지는 콩팥, 혈액이 거치는 간 등에 체액이 쌓여 부종이 나타날 수 있다. 신장염이나 만성신부전 초기엔 눈꺼풀같이 피부가 얇은 곳부터 다리, 몸 전체로 진행된다. 심부전의 경우 체액이 혈관에서 빠져나가기 때문에 특히 혈관이 정체되는 발목 부위에 부종이 많이 생긴다. 박 교수는 “팔, 다리 양측이 대칭적으로 붓는다면 전신 부종을 의심해야 한다”고 말했다. 특히 이유 없이 체중 변화가 있거나 신던 신발이 잘 안 맞거나 반지가 꼭 끼는 느낌이 난다면 전신 부종의 초기 증상을 의심해야 한다. 또 운동할 때 숨이 가쁘거나 소변량이 급격히 감소하는 것도 전신 부종의 증상일 수 있다. 일시적인 부종의 경우는 간단한 생활 습관 교정이 도움이 될 수 있다. 부종을 완화하는 가장 대표적인 방법은 누워 있는 것이다. 누우면 사지에 고여 있던 체액이 심장 쪽으로 이동해 심박출량이 증가하고 신장에서 염분 배설이 증가하기 때문이다. 박 교수는 “다리를 높게 올리고 누워 있거나 압박붕대나 압박스타킹으로 부종의 정도와 통증 등 증상을 완화할 수 있다”고 말했다. 또 만성 변비, 생리불순, 우울증 등 일반적 부종 증세 없이 신체가 붓는 ‘특발성 부종’이 발생하는 경우도 많은데, 이는 혈액순환을 위한 운동이나 식습관 조절, 충분한 수면 등이 부종 치료에 도움이 될 수 있다. 암 수술 후 일부가 붓는 림프부종은 수술 치료 최근 암 환자의 생존율이 크게 늘면서 유방암, 부인암 등으로 인해 수술을 받은 환자가 팔, 다리에 부종을 겪는 ‘림프부종’ 환자도 늘고 있다. 수술할 때 암세포를 제거하다 보면 불가피하게 암세포가 전이되거나 원격 전이의 관문 역할을 하는 림프절을 절제하는 경우가 있는데, 이 때문에 림프액이 순환하지 못하고 몸에 정체되면 부기가 나타나는 것이 바로 림프부종이다. 림프부종이 발생하면 가려움증부터 압박감, 팽만감을 느끼고 염증이 생겨 감염이 전신으로 퍼지는 패혈증이 나타나기도 한다. 박 교수는 “유방암, 산부인과 종양수술 환자의 20∼50%가 림프부종을 경험하지만 그동안은 마사지, 압박스타킹 착용, 운동 등 재활치료로 부종을 완화하는 정도였다”며 “최근에는 미세수술 기술의 발전으로 ‘림프관 정맥 문합술’ 등 기능적, 생리적인 수술이 가능해졌다”고 말했다. 이는 정맥과 미세한 림프관을 이어 림프액이 빠져나가는 길을 만들어주면 림프관 기능을 회복시킬 수 있다는 것이다. 우 교수는 “림프관은 직경 1mm 이하로 가는데다 투명하기 때문에 찾기가 무척 어렵다”면서 “그렇기 때문에 미세수술보다 더 정교한 ‘초미세수술’ 기술이 필수적”이라고 말했다. 이대목동병원 림프부종센터에선 두 교수가 동시에 수술을 진행한다. 특히 양쪽 다리에 림프부종이 있는 환자의 경우 두 교수가 한쪽 다리씩을 맡아 수술을 맡아 진행하고 있다. 초미세수술은 고도의 집중력을 요하는 수술이기 때문에 집도의의 피로도도 매우 높은 편인데, 두 명의 집도의가 동시에 수술하면 피로도가 줄어들어 성공률이 높고 환자 비용도 크게 줄기 때문이다. 우 교수는 “평균 수명의 증가로 암 발생률이 증가하는 추세이기 때문에 림프부종 환자도 점차 늘어날 것으로 예상된다. 그동안 림프부종을 ‘암 수술 후 당연히 감수해야 할 후유증’으로 받아들였다면, 이제는 적극적인 수술 및 치료를 통해 극복해야 할 것”이라고 말했다.이진한 의학전문기자·의사 likeday@donga.com}

신생아 선천성 난청은 발생률이 신생아 1000명당 1∼3명으로 비교적 높은 질환에 속한다. 선청성 난청을 늦게 발견하면 언어 및 학습장애를 초래할 수 있기 때문에 빠른 진단과 함께 초기에 보청기 착용 등의 재활 치료 등의 조치가 필요하다. 하지만 보청기로도 들리지 않는 고심도 난청을 가진 환자에게는 인공와우가 가장 효과적이고, 유일한 재활치료 의료기기이다. 이에 소아 난청 전문가인 삼성서울병원 이비인후과 문일준 교수와 함께 톡투 ‘소아 난청의 오해와 진실, 그리고 인공와우의 치료’에 대해서 자세히 알아봤다. ―인공와우와 보청기의 차이는 무엇인가. “작동 원리가 다르다. 보청기는 소리를 증폭시켜 크게 들려준다고 생각하면 된다. 이때 소리를 귀 신경으로 전달하는 달팽이관의 기능을 활용한다. 그런데 달팽이관이 제대로 기능을 하지 못하는, 청력이 아주 나쁜 경우엔 인공와우를 활용해야 한다. 인공와우는 내부장치와 외부장치로 구성되어 있는데, 내부장치(임플란트)는 수술로 달팽이관에다가 삽입을 하는 것이고, 외부장치(어음처리기)는 외부 귀에다가 걸치거나 붙이는 형태다. 달팽이관에 삽입된 내부 장치가 청신경을 자극하여 소리를 들을 수 있게 한다.” ―인공와우 수술은 언제 하는 게 좋은가? “소아들은 언어를 발달시켜야 하는 중요한 단계이나, 듣지 못하면 언어가 발달되지 않는다. 그래서 난청의 정도가 심하지 않으면 보청기로, 심하면 인공와우 수술을 해 줘야 한다. 뇌의 구조상 청각을 담당하는 청각 피질과 시각을 담당하는 시각 피질은 가깝게 위치해 있다. 이들은 지속적인 자극에 의해 발달되는데, 소리가 들어가지 않으면 자연스레 청각 피질이 축소되거나 퇴화되고, 대신 시각 피질이 이 역할을 수행한다. 따라서 이 시기를 놓치지 않으려면 빠른 수술 결정이 필요하다.” ―선천성 난청 비율이 얼마나 되나. “1000명 중 1명 정도 고심도 난청을 가지고 태어나 인공와우 수술의 대상이 된다. 신생아 출생이 대략 1년에 30만 명이라고 보면, 1년에 300명의 아이들이 인공와우 수술의 적응증이 될 만큼 높은 수치다. 게다가 요새 이어폰을 많이 사용하면서 청소년 난청도 심해지고 있는 추세이며, 고령화로 노인성 난청 비중도 높아지고 있다.” ―인공와우 수술은 양쪽 귀에 다 해야 하나? “양쪽으로 들어야 입체감을 느껴 소리의 방향성도 알 수 있고, 시끄러운 환경에서 상대방의 목소리를 집중해서 들을 수 있다. 한쪽에 청력이 비교적 남아 있다면 한쪽은 보청기, 한쪽은 인공와우로 재활이 가능하지만, 양쪽 모두 나쁠 경우에는 양쪽에 인공와우를 해야 한다. 다행히 19세까지는 양쪽 인공와우에 건강보험 적용이 된다.” ―양쪽 인공와우를 했을 때와 한쪽은 보청기, 한쪽은 인공와우를 했을 때 차이는…. “남아있는 청력에 따라 효과의 차이가 다르다. 한쪽 잔존 청력이 많이 있다면 한쪽은 보청기, 한쪽은 인공와우를 착용하는 바이모달(Bimodal)의 형태로 갈 수 있다. 다만 연구를 진행한 바로는, 소음 속에서 양쪽 인공와우를 했을 때 효과가 훨씬 더 좋은 것을 확인했다. 언어 발달이 필요한 어린 아이들에게는 양쪽 인공와우 수술을 권장하고 있다.” ―양쪽 인공와우 수술을 하면 수술에 대한 부담이나 비용 부담이 없을까. “양쪽을 할 경우 수술시간이 2배가 걸리는 게 아니라 1, 2시간만 더하면 된다. 오히려 각각 하는 것보다 수술 및 마취 시간이 짧게 걸리고, 한 번만 입원해서 모든 걸 다 끝내기 때문에 병원비도 적게 든다. 소아의 경우 보험 적용을 받았을 시 200만∼300만 원이다. 보청기도 고가인 상품들은 200만∼300만원인데, 보청기는 몇 년에 한 번씩 교체를 해 줘야 하는 반면, 인공와우는 한 번 수술하면 내부장치의 경우 평생 사용할 수 있고, 외부장치는 잘 관리하면 15∼20년까지 사용이 가능하다. 즉 장기적으로 비용 부담은 비교적 크지 않다. 하지만 비용 문제를 차치하더라도, 양쪽 수술을 하면 균형 있는 청력이 발달되고, 나중에 언어 발달 정도나 여러 가지 수행력이 훨씬 더 좋아지게 되므로 추후 이점이 더 많다고 할 수 있다.” ―양쪽 인공와우 수술을 한다면 순차적 양쪽 귀 수술과 동시에 양쪽 귀 수술 중 어떤 게 좋을까. “환자의 상황별로 다르다. 양쪽 잔존 청력이 별로 없어서 청력이 매우 나쁘면 동시 수술이 권장되고, 한쪽이 그나마 청력이 남아 있다면 보청기로 재활하다가 추후 더 이상 재활이 안 된다고 판단했을 때 인공와우로 순차적인 수술을 진행한다.”이진한 의학전문기자·의사 likeday@donga.com}

“한라산 등반하고 다음 날 아침에 온몸이 쑤시고 아픈 것과 비슷한 근육통입니다.” 미국 앨라배마대병원의 조도연 교수(46·이비인후과·사진)는 화이자의 신종 코로나바이러스 감염증(코로나19) 백신 접종 이후 달라진 몸 상태를 이렇게 설명했다. 조 교수는 국내에서 이비인후과 전문의 자격을 취득했지만 2007년 미국으로 건너가 다시 의사 면허를 땄다. 18일 오후 1시(현지 시간) 백신 접종을 맞은 조 교수는 20일 동아일보와의 통화에서 “접종 후 2, 3시간쯤 지나니 주사 부위 통증이 시작됐고 저녁에 자려고 할 때는 팔을 주먹으로 한 대 맞은 것 같은 통증이 있었다”고 말했다. 조 교수는 함께 백신을 맞은 병원 의료진과 직원 대부분이 이런 통증을 느꼈고 주변엔 진통제를 먹은 사람도 많다고 전했다. 그는 “접종 다음 날 아침에는 전날 산에 올라갔다 온 것처럼 온몸이 다 아프고 머리도 지끈지끈했다”며 “몸에서 면역반응이 일어나기 시작한 것”이라고 설명했다. 전신 통증은 6시간가량 계속되다가 차츰 회복됐고 접종 후 30시간 정도 지난 뒤 사라졌다. 또 접종 후 24시간 무렵에 열이 나기 시작해 37.4도까지 올랐다가 떨어졌다. 조 교수는 “화이자 백신은 2회 접종인데 두 번째에 통증이 더 크다고 한다. 아마 그때는 진통제를 먹어야 할 것 같다”고 말했다. 코로나19 백신과 다른 백신의 접종 차이에 대해서도 설명했다. 그는 “황열병 등 다른 백신도 많이 맞았는데 보통은 주삿바늘을 찌를 때와 주사액이 들어갈 때 아프지만 코로나19 백신은 그런 통증이 전혀 없었다”며 “아마 냉동보관을 한 주사액이 차가워서 그런 게 아닌가 생각한다”고 말했다. 김소민 기자 somin@donga.com·이진한 의학전문기자·의사}

“어제(19일) 30명, 오늘도 30명 정도 입원했습니다. 계속 들어올 예정인데 금방 찰 것 같습니다.”(허재택 중앙보훈병원장) 서울 강동구 중앙보훈병원은 최근 정부가 신종 코로나바이러스 감염증(코로나19) 전담병원으로 지정한 곳이다. 이에 따라 서울에선 가장 큰 규모인 총 120개의 코로나19 확진자 병상이 마련됐다. 확진자 입원 전인 18일 병원에선 수십 명의 의료진이 긴장감 속에 분주히 준비 중이었다. 이곳에 입원하는 코로나19 확진자는 위중증으로 넘어가지 않은 경증 환자다. 주로 서울 지역 코로나19 확진자 중에서 가벼운 증상이 있거나 생활치료센터에서 증상이 생겼을 때 이곳에 입원하게 된다. 허 병원장은 “만약 경증 또는 중등도 환자들이 중증이나 위중한 상태로 악화되면 현 상태의 위중환자 치료시설이 크게 부족할 뿐만 아니라 치료하는 의료인력도 감당이 안된다”며 “의료비용도 천문학적으로 증가하기 때문에 어쨌든 경증환자들이 악화되지 않도록 이러한 코로나 전담병원의 적극적인 지원이 절실하다”고 말했다. 기존 격리 위주의 코로나병동과는 다르게 이곳엔 비대면 접촉과 환자들과의 소통을 위한 환자중심 시스템을 갖추고 있다. 3층과 5, 6층 등 3개 층으로 각 병실마다 고화질 카메라가 설치돼 환자의 상태를 비대면으로 즉시 확인을 할 수 있다. 병실엔 5명의 환자들이 입원을 하게 된다. 환자들은 각자 환자복이 지원이 되며 체온계와 혈압 등을 잴 수 있는 의료기기도 각각 지원이 된다. 환자들이 스스로 잴 수 있도록 해서 의료진과 대면을 최소화했다. 각 병실과 복도에 바이러스가 밖으로 빠져나가지 못하도록 이동식 음압장치를 설치했다. 병동 2층엔 모든 환자들을 상태를 파악할 수 있는 종합상황실을 마련했다. 무엇보다 비대면으로 환자들을 직접 진료할 수 있는 진료용 면회복도를 만들었다. 환자는 큰 유리창을 두고 의사와 환자가 서로 마주 보면서 전화로 대화도 하고 의사는 환자의 얼굴을 보면서 상태를 확인할 수 있다. 허 병원장은 “비대면적인 요소를 넣으면서도 대면도 할 수 있게 만들었다”며 “꼭 필요한 상황이 생길 경우 환자 보호자도 환자와 대화할 수 있도록 만들어 환자 중심의 병원이 되도록 했다”고 말했다. 또 허 병원장은 “환자가 10일 동안 입원해 있으면 우울감도 생기고 답답해 할 수 있다”면서 “그런 기분이 최소화 될 수 있도록 정신건강학과 의사와 상담과 각종 프로그램을 개발해서 환자들을 종합적으로 관리할 예정”이라고 말했다.이진한 의학전문기자·의사 likeday@donga.com}

신종 코로나바이러스 감염증(코로나19) 사태 장기화로 어린이와 청소년들이 집 안에 머무는 시간이 늘면서 활동량은 줄었다. 성인에 비해 상대적으로 스트레스 환경에 취약한 아이들은 감염병 확산 상황에서의 불안감 등으로 식욕을 잃기도 한다. 특히 소심한 성격이거나 체중이 늘어나는 것에 민감한 아이들은 식사량이 현저히 감소하는 섭식장애를 앓기도 한다. 섭식장애 분야 전문가인 김율리 서울백병원 정신건강의학과 교수의 도움말로 거식증 등의 원인과 해결책에 대해 알아봤다. 김 교수는 “코로나19 감염자와 사망자 수가 매일 발표되면서 전염에 대한 공포가 커져 아동 청소년들이 식욕을 잃고 음식 섭취를 불안해하는 등 거식증의 위험을 증가시키고 있다”고 했다. 코로나19가 확산하는 상황에서는 엄마들의 불안감도 높아질 수 있어 아이들이 불안해하는 상황을 간과하기 쉽다고 한다. 엄마가 아이의 상태를 제때 파악하지 못하면 아이는 마음속 불안을 표현하지 않고 음식 섭취 거부 반응을 나타내기도 한다. 가족과 친척, 친구, 학교 등 사회적 관계의 끈은 아동과 청소년을 거식증 등으로부터 지키는 보호막 역할을 하기도 하는데 사회적 거리 두기 강화로 이런 보호막이 얇아지는 상황이 초래됐다는 지적도 있다. 섭식장애는 정상적인 식습관이 무너지는 정신질환이다. 섭식장애 초기에는 아이가 식욕을 잃거나 음식 섭취가 줄어든다. 체중 증가에 대해 지나칠 정도로 걱정을 많이 한다. 혼자 울거나 가족과 다투는 경우가 잦아지는 등 부정적인 정서 반응이 나타나기도 한다. 또 아이가 음식 섭취와 관련해 소화가 잘 안 된다거나 체중이 늘어날 것 같다며 과도한 걱정을 하는 경우도 있다. 음식을 먹고 난 뒤 지나칠 정도로 많은 양의 운동을 하거나 자주 토하기도 한다. 아이가 이런 모습을 보인다면 반드시 전문의 진료를 받는 것이 좋다. 김 교수는 “코로나19 사태 이후 성인의 경우 섭취량이 감소한 비율이 28%, 증가한 비율이 33% 정도로 섭취량 증가 비율이 더 높다”며 “하지만 소아·청소년은 패스트푸드 섭취가 46% 줄어든다. 패스트푸드 섭취 감소 자체는 바람직하지만 평소 소심한 성격이나 체형에 대해 과민했던 아이라면 이런 식욕 저하는 거식증으로 이어지기 쉽다”고 말했다. 음식 섭취를 거부하는 아이들은 불안감을 덜어주는 것이 무엇보다 중요하다. 아이가 자신의 마음을 이해해 주는 사람들이 있다는 것을 알게 해 주변에 대한 경계가 줄어들면 음식 섭취에 대한 거부감도 줄일 수 있다. 이와 더불어 영양 공급과 식사치료를 통해 감소한 체중과 정상적인 발달 단계를 회복하는 것이 필요하다. 이런 과정에는 아이와 부모가 함께 참여해 전문의와 심리, 간호, 영양 분야 등 전문가팀이 다각적으로 접근해야 한다. 코로나19와 관련해 자가 격리 상황이거나 사회적 거리 두기로 인해 통원이 어렵다면 거식증에서 회복된 환자들이 경험을 공유하는 동영상 시청을 통해 회복에 필요한 정보를 얻는 것도 도움이 된다. 김 교수는 “아이는 성인보다 불안 상황에 훨씬 취약하기 때문에 아이가 긍정적으로 생각할 수 있도록 돕고 일상생활이 무너지지 않도록 함께 노력해야 한다”면서 “아이와 함께할 수 있는 활동을 찾아 해보고 방역수칙을 지키는 범위에서 가족이나 친구와 함께할 수 있는 것들을 찾아보는 것이 좋다”고 말했다. 김 교수는 또 “아이가 음식에 대한 거부감을 보인다면 식사 계획을 함께 만들고 요리를 같이 하는 것도 좋은 방법”이라며 “음악과 함께하는 가벼운 신체운동, 댄스, 요가 등을 같이 해보는 것도 도움이 된다”고 했다.이진한 의학전문기자·의사 likeday@donga.com}

신종 코로나바이러스 감염증(코로나19) 사태 장기화로 어린이와 청소년들이 집안에 머무는 시간이 늘면서 활동량은 줄었다. 성인에 비해 상대적으로 스트레스 환경에 취약한 아이들은 감염병 확산 상황에서의 불안감 등으로 식욕을 잃기도 한다. 특히 소심한 성격이거나 체중이 늘어나는 것에 민감한 아이들은 식사량이 현저히 감소하는 섭식장애를 앓기도 한다. 섭식장애 분야 전문가인 김율리 서울백병원 정신건강의학과 교수의 도움말로 거식증 등의 원인과 해결책에 대해 알아봤다. 김 교수는 “코로나19 감염자와 사망자 수가 매일 발표되면서 전염에 대한 공포가 커져 아동 청소년들이 식욕을 잃고 음식섭취를 불안해하는 등 거식증의 위험을 증가시키고 있다”고 했다. 코로나19가 확산하는 상황에서는 엄마들의 불안감도 높아질 수 있어 아이들이 불안해하는 상황을 간과하기 쉽다고 한다. 엄마가 아이의 상태를 제때 파악하지 못 하면 아이는 마음 속 불안을 표현하지 않고 음식섭취 거부 반응을 나타내기도 한다. 가족과 친척, 친구, 학교 등 사회적 관계의 끈은 아동과 청소년을 거식증 등으로부터 지키는 보호막 역할을 하기도 하는데 사회적 거리 두기 강화로 이런 보호막이 얇아지는 상황이 초래됐다는 지적도 있다. 섭식장애는 정상적인 식습관이 무너지는 정신질환이다. 섭식장애 초기에는 아이가 식욕을 잃거나 음식섭취가 줄어든다. 체중 증가에 대해 지나칠 정도로 걱정을 많이 한다. 혼자 울거나 가족과 다투는 경우가 잦아지는 등 부정적인 정서 반응이 나타나기도 한다. 또 아이가 음식 섭취와 관련해 소화가 잘 안 된다거나 체중이 늘어날 것 같다며 과도한 걱정을 하는 경우도 있다. 음식을 먹고 난 뒤 지나칠 정도로 많은 양의 운동을 하거나 자주 토하기도 한다. 아이가 이런 모습을 보인다면 반드시 전문의 진료를 받는 것이 좋다. 김 교수는 “코로나19 사태 이후 성인의 경우 섭취량이 감소한 비율이 28%, 증가한 비율이 33% 정도로 섭취량 증가 비율이 더 높다”며 “하지만 소아·청소년은 패스트푸드 섭취가 46% 줄어든다. 패스트푸드 섭취 감소 자체는 바람직하지만 평소 소심한 성격이나 체형에 대해 과민했던 아이라면 이런 식욕저하는 거식증으로 이어지기 쉽다”고 말했다. 음식섭취를 거부하는 아이들은 불안감을 덜어주는 것이 무엇보다 중요하다. 아이가 자신의 마음을 이해해 주는 사람들이 있다는 것을 알게 해 주변에 대한 경계가 줄어들면 음식섭취에 대한 거부감도 줄일 수 있다. 더불어 영양공급과 식사치료를 통해 감소한 체중과 정상적인 발달단계를 회복하는 것이 필요하다. 이런 과정에는 아이와 부모가 함께 참여해 전문의와 심리, 간호, 영양 분야 등 전문가팀이 다각적으로 접근해야 한다. 코로나19와 관련해 자가격리 상황이거나 사회적 거리 두기로 인해 통원이 어렵다면 거식증에서 회복된 환자들이 경험을 공유하는 동영상 시청을 통해 회복에 필요한 정보를 얻는 것도 도움이 된다. 김 교수는 “아이는 성인보다 불안 상황에 훨씬 취약하기 때문에 아이가 긍정적으로 생각할 수 있도록 돕고 일상생활이 무너지지 않도록 함께 노력해야 한다”면서 “아이와 함께 할 수 있는 활동을 찾아서 해보고 방역수칙을 지키는 범위에서 가족이나 친구와 함께 할 수 있는 것들을 찾아보는 것이 좋다”고 말했다. 김 교수는 또 “아이가 음식에 대한 거부감을 보인다면 식사계획을 함께 만들고 요리를 같이 하는 것도 좋은 방법”이라며 “음악과 함께하는 가벼운 신체운동, 댄스, 요가 등을 같이 해보는 것도 도움이 된다”고 했다.이진한 의학전문기자·의사 likeday@donga.com}

계명대 동산병원 조치흠 원장(사진)이 신종 코로나바이러스 감염증(코로나19) 전담병원 운영과 감염관리 활동을 상세히 담은 논문을 세계보건기구(WHO)가 발간하는 온라인 저널 최근호에 게재했다. 그동안 코로나19 발병에 대한 임상관련 연구 간행물은 많았지만 감염병 전담병원으로서 코로나19 치료 및 운영관리 등을 소개한 적은 없었다. 조 병원장은 대구지역에 코로나19가 유행했던 2월 말 대구동산병원이 코로나19 전담병원으로 지정되자 비상대책본부장을 맡아 하루 만에 병원 건물 전체를 코로나19 환자를 위한 진료공간으로 변경하고 운영을 진두지휘했다. 코로나19 환자 치료를 위해 병원건물 전체를 코호트 건물로 지정한 국내 첫 사례다. 6월 29일까지 4개월여 동안 총 906명의 의료진(동산의료원 소속 402명, 파견지원 504명)이 투입돼 1048명의 코로나19 환자를 치료했다. 논문엔 이 같은 전담병원 운영체계 확립과 자원 활용, 진료팀 구성, 의료인력 활용, 환자 치료 및 배치 등에 대한 내용이 담겼다. 논문은 세 가지 조치가 자원 및 인력 부족 등에 대처하는 데 큰 도움이 됐다고 설명한다. 먼저 빠른 병상 확보를 위해 본관 전체를 오염구역으로 지정해 신규 입원 및 영상검사 등을 신속하게 진행할 수 있도록 동선을 확보했다. 또 병원은 코로나19 환자와 의료진을 위한 별도의 경로를 마련했고 중환자실을 확대해 일반 병동에서 중증으로 진행될 경우 신속하게 옮길 수 있게 했다. 일반 환자와 회복 중인 환자를 분리하기 위해 별도 건물에 회복 병동을 만들기도 했다. 두 번째는 체계적인 관리시스템을 갖추기 위해 신종 감염병 대응 경험이 많은 의료진이진료와 운영시스템 관리를 주도적으로 할 수 있도록 권한을 부여했다. 일원화된 진료 및 운영지침을 만들고 신속하게 공유해 감염병 대응 경험이 없는 의료진과 직원들도 빠르게 적응할 수 있게 했다. 특히 코로나19 환자의 중증폐렴 진행 상황을 예측하는 지표를 개발해 고위험 환자는 집중적으로 모니터링하고 중환자실과 가까운 병동에 배치했다. 세 번째는 정부와 지방자치단체 등이 코로나19 환자들을 전담병원에 집중적으로 입원시키고 치료에 필요한 자원(개인보호구 등)을 지원한 것이다. 조 원장은 “공공병원 의사와 간호사, 군의관, 공중보건의, 간호장교 파견과 민간 간호사와 자원봉사를 하던 민간 의사들이 환자 치료에 참여한 것이 무엇보다 큰 도움이 됐다”며 “코로나19 전담병원으로서의 경험을 정리한 내용이 비슷한 상황을 겪고 있는 다른 나라에서도 유용하게 활용되기를 바란다”고 밝혔다. 대구동산병원 감염관리실장인 이지연 교수는 “신종 감염병이 유행하는 상황에서 기존의 종합병원을 코로나19 전담병원으로 빠르게 전환하기 위해서는 일원화된 시스템이 필요하다”며 “이번 논문은 병원 전체를 감염병 전담병원으로 전환함으로써 얻은 의료진 및 직원 보호 방안과 코로나19 전담병원 운영과 관리에 대한 매뉴얼 등을 제시한 것”이라고 의미를 부여했다. 이진한 의학전문기자·의사 likeday@donga.com}

4일 오후 기자가 찾은 서울 강서구 이대서울병원 본관 4층 조혈모세포이식실. 이곳은 백혈병, 림프종 등 혈액암 환자들이 입원하는 무균병실이다. 혈액암은 다른 암에 비해 진행 속도가 빠르고 빈혈, 면역결핍, 지혈장애 등의 심각한 합병증을 불러일으킬 수 있다. 이 때문에 정확하고 빠른 진단, 정밀한 치료와 함께 무균병실이 필요한 질환이다. 일반인들은 들어갈 수 없는 무균병실이지만 이 병원의 조혈모세포이식실에는 환자와 의료진은 물론 보호자까지 소통이 가능한 공간이 조성돼 있었다. 바로 서울에선 처음으로 만들어진 ‘면회복도’다. 이대서울병원 조혈모세포이식실에 마련된 면회복도에는 전화까지 설치돼 있어 이를 통해 환자와 대화를 나눌 수 있었다. 유리창 너머로는 바깥 풍경도 볼 수 있어 입원 환자들의 만족도가 컸다. 골수 이식을 받은 혈액암 환자들이 한 달 가까이 무균병실에서 지내야 하는 건 감염에 대한 우려 때문이다. 환자 몸에서 면역세포가 소실되고 항암치료나 방사선치료를 받는 과정에서 몸의 점막들이 손상되기 쉽다. 균이 침투하기 쉬운 상태가 되면서 호흡기 계통의 감염 우려가 커지게 된다. 이런 이유로 의료진도 무균병실에 들어오려면 옷에 묻은 균을 없애기 위한 ‘공기샤워’ 과정을 거쳐야 한다. 환자는 이곳 무균병실에서 3, 4주간 외부와 격리돼 지내야 한다. 격리에 따른 불안한 심리 상태와 컨디션은 환자의 회복을 더디게 만드는 요소 중 하나다. 이대서울병원은 혈액암 환자가 가족들과 대화할 수 있는 시스템을 설계했다. 보호자들은 별도로 마련된 면회복도에서 유리창을 사이에 두고 환자와 인터폰으로 대화하면서 환자의 건강 상태를 확인하고 있었다. 환자가 가족 등 보호자들과의 면회를 통해 심리적 안정을 얻을 수 있다는 장점이 있다. 이곳에선 전문의 4명이 환자 진료를 담당하고 있다. 성인 혈액질환은 김대영 교수와 정성훈 교수가, 또 소아 혈액질환은 유경하 의료원장과 유은선 교수가 각각 맡았다. 김 교수는 백혈병의 한 종류로, 림프모구가 과다해져 생기는 암인 ‘급성림프모구백혈병’ 전문으로 세계적인 수준의 저널에 연구결과를 발표하는 등 혈액종양 질환 치료와 연구에서 성과를 내고 있다. 김 교수는 재생불량빈혈, 골수증식성질환, 골수이식도 담당하고 있다. 정 교수는 올해 대한혈액학회 우수연구자상을 받는 등 촉망받는 젊은 전문의다. 유 의료원장과 유은선 교수는 소아혈액질환이나 림프절질환, 백혈병 뇌종양 등 혈액종양 질환을 전문으로 치료하고 있다. 이대서울병원 조혈모세포이식실의 가장 큰 장점은 모든 병상이 1인실로 구성돼 있다는 것이다. 격리병상 시설 기준 15m² 이상으로 쾌적한 병실 환경을 구축했다. 최첨단 양압 격리시설과 헤파필터를 설치해 환자들을 공기 중 감염으로부터 철저히 보호하고 있다. 환자 상태는 병실마다 설치된 모니터를 통해 간호사 스테이션에서 의료진이 실시간으로 모니터링한다. 이대서울병원 관계자는 “2019년 개원한 병원으로 모든 시설이 최신 설비로 갖춰져 있다”며 “무균실뿐 아니라 환자들이 항암치료를 받는 모든 공간이 무균실에 준하는 수준으로 설계돼 있다”고 했다. 김대영 혈액종양내과 교수는 “조혈모세포이식(골수이식)을 받는 환자들을 위한 최신 시설을 갖추고 혈액환자 진료에 특화된 교수급 의료진, 전문 간호사, 병동 간호사들이 24시간 환자를 돌보고 있다”며 “환자들의 문제를 신속하고 정확하게 진단하고 치료하는 병원이 되도록 하겠다”고 말했다. 이진한 의학전문기자·의사 likeday@donga.com}

대한심장학회는 ‘건강한 심장을 더욱 건강하게’라는 주제로 심장질환과 관련된 다양한 동영상을 매주 학회 공식 의료정보 유튜브 채널 ‘대한심장TV’에 올리고 있다. 심장이식과 인공심장에 대해 자세히 알아본다. 함께 참여해준 전문가는 메디플렉스 세종병원 오병희 병원장(전 대한심장학회 이사장), 가천대 길병원 심부전폐고혈압센터 정욱진 교수(대한심장학회 의료정보이사), 삼성서울병원 순환기내과 최진오 교수다. ―주로 어떤 사람들이 심장이식 수술을 받나? “어떤 치료를 받아도 회복이 힘든 심부전 환자 중 심장이식 받기를 희망하는 경우에 응급도 순서에 따라 결정된다. 대개 생활이 불가능할 정도로 심한 심부전 환자들이 대상이다. 다른 장기엔 손상이 없어야 한다. 즉 악성종양이라든지 심한 전신 질환을 앓고 있는 환자는 심장이식을 받는데 제약이 있다. 고령자도 마찬가지다. 엄격한 기준이 적용된다.”(오 원장) ―심장이식은 얼마나 기다려야 하고 비용은 어느 정도인가? “심장이식은 기증자가 주는 심장을 받을 수밖에 없다. 응급도와 나이, 혈액형 등에 따라 대기 기간이 다르다. 응급도가 높은 환자와 중증인 환자는 대개 한달 이내에 기증자와 매칭이 돼 심장이식을 받을 가능성이 높다. 혈액형이 AB형인 경우는 입원해 대기하면 일반적으로 두세 달 이내에 심장이식을 받는 경우가 많다. 하지만 상대적으로 인구가 적은 O형인 환자는 10개월 또는 1년 이상 기다려야 하는 경우가 많다. 비용은 병원마다, 환자 상태에 따라 다르다. 일반적으로 자기부담 기준으로 평균 2500만 원 정도다.”(최 교수) ―심장이식 후 관리를 어떻게 해야 하나? “다른 사람의 장기가 몸속으로 들어오는 것이기 때문에 우리 몸은 이를 적으로 인식하고 면역세포가 이식된 심장을 공격하게 된다. 이를 막기 위해서 평생 면역억제제를 복용해야 한다. 그런데 면역을 낮추다 보니 감염에 약해진다. 그래서 음식은 익혀먹는 것이 좋다. 그리고 주방도구도 청결하게 관리해야 된다. 생야채류 같은 것을 먹고 싶으면 6개월 정도는 기다리는 것이 좋다. 특히 굴이나 회 같은 음식은 감염에 노출될 위험이 높아 되도록 피하는 것이 좋다.”(정 교수) ―인공심장은 언제 사용되나? “대개 심장이식을 대기하는 기간이 아주 길어질 것으로 예상되거나 체력저하 장기손상 등으로 심장이식을 받을 수 없는 환자가 대상이다. 심장 부위 중 좌심실에 보조 장치를 집어넣는다.”(최 교수) ―어떻게 작동되는지 설명해 달라 “심장의 좌심실은 온몸으로 혈액을 뿜어주는 역할을 한다. 이 역할을 인공심장이 대신 하는 것이다. 좌심실 보조 장치인 인공심장은 영구적인 기계이기 때문에 내구성의 문제는 없다. 하지만 시술받는 환자 대부분은 심장이나 전신 상태가 좋지 않기 때문에 오래 사용할 경우 문제가 생길 수 있다. 다만 수술 후 생존율은 최근에 많이 좋아져 일반적으로 1년 후까지는 약 85% 이상이 생존하고 2년 생존율도 80% 이상으로 예측된다.”(정 교수) ―인공심장 비용은 어느 정도인가? “기계 가격만 1억 원이 넘는다. 그리고 수술비용까지 포함하면 1억8000만 원 정도다. 재작년 9월까지는 환자들이 모두 본인 부담을 해야 됐다. 현재는 국민건강보험이 적용돼 본인 부담은 1500만 원 정도로 총 금액의 10% 정도만 부담하면 된다.”(정 교수) ―인공심장을 달고 있으면 해외여행 가는 게 쉽지 않다고 하는데? “인공심장을 작동시키는 전기선이 밖으로 나와 있다보니 샤워 정도는 가능하지만 수영이라든지 탕목욕 등은 힘들다. 인공심장은 전자기력을 이용해 작동하기 때문에 자기공명영상(MRI)장치라든지, 공항검색대 등을 통과하면 오작동을 일으킬 수 있다. 비행기 탑승 등의 상황에서는 미리 소견서를 준비해 검색대 자장에 노출되지 않도록 해야 된다. 그리고 몸에 혈전이 생기지 않도록 와파린이라는 약제를 복용하는데 와파린은 주로 콩이 들어간 음식을 섭취할 경우 약효가 떨어질 우려가 있어 피하는 것이 좋다.”(최 교수) ―심장을 건강하게 지키려면 어떻게 해야 하나? “심부전은 어떻게 보면 암보다 더 예후가 나쁜 질환이다. 모든 병이 다 그렇듯이 예방이 가장 중요하다. 고혈압, 고지혈증, 당뇨병 등 심장병을 유발하는 위험인자를 잘 관리하는 것이 심장 건강을 지키는 첫 걸음이다.”(오 원장)이진한 의학전문기자·의사 likeday@donga.com}

지구 반대편 멕시코에서 신종 코로나바이러스 감염증(코로나19)에 걸려 생명이 위태로웠던 50대 교민이 국내에서 폐이식 수술 후 건강을 되찾았다. 서울아산병원은 8월 초 입원한 김충영 씨(55·여)가 코로나19 완치 판정을 받고 8일 퇴원했다고 밝혔다. 멕시코 현지에서 자영업을 하던 김 씨는 6월 코로나19 확진 판정을 받고 현지 병원에 입원했다. 그러나 사흘 만에 폐렴이 악화돼 인공호흡기 치료를 받았다. 그러나 상태가 호전되지 않은 채 폐섬유화 증상까지 나타났다. 폐의 90% 이상이 딱딱하게 굳으면서 사실상 기능을 상실한 것이다. 유일한 방법은 폐이식이었다. 김 씨 가족은 마지막 희망으로 서울아산병원 의료진에게 e메일을 보냈다. 이를 계기로 두 나라 의료진과 현지 한국대사관의 도움으로 김 씨는 8월 8일 인공호흡기와 에크모(인공심폐기)에 의존해 에어앰뷸런스를 타고 약 1만2000km를 날아 한국에 왔다. 9월 11일 서울아산병원 폐이식팀은 10시간이 넘는 폐이식 수술을 성공적으로 마쳤다. 8일 퇴원한 김 씨는 “다시 태어난 것과 같다”며 “서울아산병원 폐이식팀 의료진의 헌신적인 노력에 감사드린다”고 말했다.이진한 의학전문기자·의사 likeday@donga.com}