공유하기
공유하기
기사 2,698
구독 0


![[헬스&뷰티]헬스캡슐](https://dimg.donga.com/a/296/167/95/2/wps/NEWS/IMAGE/2010/05/11/28249349.1.jpg)
세브란스 병원, 미국 JCI에서 재인증2007년 국내에서 처음으로 JCI(국제의료기관평가위원회) 인증을 받은 연세대 세브란스병원이 5일 미국 JCI로부터 재인증 통보를 받았다. 국내에서는 처음으로 JCI 재인증을 받은 것. JCI 재인증은 평가 전 4개월의 데이터만 검증하는 1차 인…
아이가 책을 제대로 읽지 못하면 화를 내는 부모들이 있다. 공부하기 싫어서 꾀를 부린다고 생각하기 때문이다. 그러나 열심히 노력하는데도 떠듬거리거나 “눈이 아프다” “어지럽다”며 제대로 읽지 못한다면, 얼렌 증후군이 아닌지 확인해 볼 필요가 있다. 얼렌 증후군은 대뇌의 마그노 세포에…
![[헬스&뷰티]美女의 생존법 똑똑한 세안](https://dimg.donga.com/a/296/167/95/2/wps/NEWS/IMAGE/2010/05/11/28248932.1.jpg)
《일명 ‘고현정 세안(洗顔)법’이 장안의 화제다.고현정 세안법이란, 얼굴 안에 있는 솜털의 방향과 결을 고려한 세안법이다.고현정의 전속 메이크업 아티스트가 TV 프로그램에 출연해 밝히면서 화제가 됐다.이 세안법은 얼굴 솜털 관리에 포인트를 두고 있다. 고현정의 메이크업 아티스트는 “솜…
![[헬스&뷰티/플라자]‘등받이 대신 가슴받이… 척추질환예방 의자’ 外](https://dimg.donga.com/a/296/167/95/2/wps/NEWS/IMAGE/2010/04/27/27918375.2.jpg)
등받이 대신 가슴받이… 척추질환예방 의자우리들생명과학이 척추질환 예방에 도움이 되는 기능성 의자 ‘우리들체어’를 최근 출시했다. 등받이 대신 가슴받이를 부착해 눈길을 끌고 있다. 이상호 우리들병원 이사장은 “하루의 절반 이상을 컴퓨터 앞에 앉아있는 현대인들의 생활 습관으로 인해 목이 …
![[헬스&뷰티]겉은 신사화, 속은 5중창 기능성 신발](https://dimg.donga.com/a/296/167/95/2/wps/NEWS/IMAGE/2010/04/27/27918207.1.jpg)
정장을 입었지만 발에는 편한 신발을 신을 수는 없을까. 무릎이 아프거나 평소 운동할 시간이 없는 사람들은 출근길이나 일상생활에서 기능성 신발을 신고 싶어 한다. 그러나 대다수의 기능성 신발은 겉모습이 운동화 같아서 직장이나 공식적인 자리에 신고 나가기 어렵다. 그런 점에서 프로월드컵에…
![[헬스&뷰티/Before & After]척추관협착증](https://dimg.donga.com/a/296/167/95/2/wps/NEWS/IMAGE/2010/04/27/27917797.1.jpg)
《경남 의령 사는 정일남 씨(72)는 얼마 전 허리가 아파 동네 병원에 들렀다가 허리뼈가 흔들려 허리에 나사를 박는 수술을 해야 한다는 의사의 말에 가슴이 철렁했다. 몇 년 전부터 허리가 아프기 시작한 정 씨는 얼마 전부터는 다리가 저리고 당겼다. 허리가 아플 때는 며칠 쉬거나 약을 …
봄이면 피부 곳곳이 가려운 ‘피부건조증’을 호소하는 사람이 많다. 대기 중의 수분이 적은 건조한 날씨가 계속되면 우리 피부도 수분을 빼앗기기 때문이다. 가렵다고 얇아진 옷 사이로 자주 피부를 긁다 보면 피부가 붉어지고 피가 나기도 한다. 피부에 수분을 공급하려면 하루 8잔 이상의 물을…
![[헬스&뷰티/주목, 이 병원]강남을지병원 성장학습발달센터](https://dimg.donga.com/a/296/167/95/2/wps/NEWS/IMAGE/2010/04/27/27917394.2.jpg)
강남을지병원 성장학습발달센터 소아청소년기는 성장과 발달의 시기다.몸과 마음이 균형 있게 자라야 건강한 어른이 될 수 있다. 키가 또래보다 지나치게 작다면 자신감이 떨어지고 사회성이 부족해진다.학업 스트레스가 심하다면 신체적 질환이 따라오기도 한다. 강남을지병원 성장학습발달센터는 자녀의…
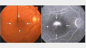
![[헬스&뷰티]이성진 교수의 아이러브 eye](https://dimg.donga.com/a/296/167/95/2/wps/NEWS/IMAGE/2010/04/27/27917059.2.jpg)
건강한 젊은 남자에게 시야의 중심부에 갑자기 동전과 같은 둥근 그림자가 가리는 증상이 찾아온다면? 안과 의사들은 대개 ‘중심장액맥락망막병증’을 의심한다. 의학 책에 나온 대로라면 과로와 스트레스가 주 원인이므로 먼저 이런 질문을 던진다. “최근에 과로하신 적은 없습니까?” “글쎄요.…
![[헬스&뷰티]“구부렸다 폈다 종일 집안일, 집사람 무릎 괜찮을까…”](https://dimg.donga.com/a/296/167/95/2/wps/NEWS/IMAGE/2010/04/27/27916844.2.jpg)
《최근 무릎 관절염 환자의 연령층이 점차 낮아지고 있다. 젊은 층들이 격렬한 운동으로 무릎 관절에 부담을 주는 일이 많아졌기 때문이다. 여성은 남성에 비해 근육이 약해 상대적으로 관절에 무리가 많이 가므로 신경 써야 한다.뼈에는 신경세포가 있어 서로 닿고 부딪치면 통증이 발생하지만 연…
![[헬스&뷰티]헬스캡슐](https://dimg.donga.com/a/296/167/95/2/wps/NEWS/IMAGE/2010/04/27/27916683.2.jpg)
99% 쌀 전분으로 만든 식물성 파우더… 아기피부가 뽀송뽀송과 수분을 흡수해 아기 피부를 부드럽고 뽀송뽀송하게 유지해준다. 피부질환의 원인인 곰팡이 균을 죽이는 클로트리마졸도 함유돼 있다. 기저귀 발진은 주로 장시간 기저귀를 착용할 때 나타난다. 기저귀를 착용하면 통풍이 잘 안 되기…
![[헬스&뷰티/아하, 이약!]조루치료제 프릴리지](https://dimg.donga.com/a/296/167/95/2/wps/NEWS/IMAGE/2010/04/27/27916418.1.jpg)
《어홍선 어비뇨기과 원장은 올해부터 진료를 시작하기 전에 환자에게 ‘성기능·성질환 질문지’를먼저 작성하게 한다. 20, 30대 남녀 커이함께 비뇨기과를 방문하는 횟수가 늘어나면서 머뭇거리는 남성 환자가 많아졌기 때문이다. 말로 하기 힘든 내용을 미리 글로 쓰게 으로써 남성 환자가 편안…
최근 탤런트 현석 씨가 복어 요리를 먹고 사흘간 의식불명에 빠진 일이 발생했다. 복어 내장이나 난소에는 신경세포를 마비시키는 독소인 ‘테트로도톡신’이 들어있다. 따라서 자격증을 가진 전문요리사만이 복어를 다룰 수 있다. 테트로도톡신은 청산가리보다 독성이 10배나 더 세다. 복어 내장과…
![[헬스&뷰티]아스피린이 등산필수품?](https://dimg.donga.com/a/296/167/95/2/wps/NEWS/IMAGE/2010/04/27/27916078.1.jpg)
《아직 쌀쌀하지만 봄철을 맞아 산에 오르는 사람들이 늘었다.몸에 좋은 유산소 운동인 등산은 심폐기능을 좋게 하고 무릎과 허리 근육을 강화할 수 있다.한국등산지원센터의 설문조사 결과에 따르면, 우리나라 국민 2명 가운데 1명은 등산이 취미라고 응답했다.특히 매주 산을 찾는 사람은 200…
![[헬스&뷰티/Before & After]얼굴뼈 성형](https://dimg.donga.com/a/296/167/95/2/wps/NEWS/IMAGE/2010/04/13/27538240.1.jpg)
“제 얼굴 맞나요?”… 사각턱 - 광대뼈 사라지고 환상의 V라인! 《대학생 조선화 씨(21·서울 서초구 서초동)는 두드러진 사각 턱이 항상 고민이다. 습관적으로 손으로 턱을 가리거나 머리카락으로 각진 턱 부위를 덮는 스타일을 고수해 왔다. 그러나 최근 송혜교 황정음 등 연예인들 사이에…