[헬스&뷰티]수술 후 곧바로 회복?No… 지속적 재활치료해야 퇴화 막아

  • 동아일보
  • 입력 2013년 6월 19일 03시 00분


제일정형외과병원 인공관절 치료

제일정형외과병원 의료진이 퇴행성 관절염을 앓는 환자에게 인공관절 수술을 시행하고 있다. 수술은 경험이 많은 전문의와 충분히 상담한 뒤 결정하는 게 좋다. 제일정형외과병원 제공
제일정형외과병원 의료진이 퇴행성 관절염을 앓는 환자에게 인공관절 수술을 시행하고 있다. 수술은 경험이 많은 전문의와 충분히 상담한 뒤 결정하는 게 좋다. 제일정형외과병원 제공
경기 연천군에서 농사를 짓는 심모 할머니(72)는 농사일을 오래 하는 동안 퇴행성관절염으로 고생했다. 결국 치료가 늦어져 인공관절 수술을 받아야 했다. 이제 젊었을 때처럼 어디든 다니고 농사일도 다시 할 수 있을 거라 믿었다.

결과는 예상과 달랐다. 통증은 사라졌지만 무릎에 뭔가 끼어있는 것처럼 빡빡함이 느껴졌다. 관절염을 앓을 때처럼 걷기가 힘들었고, 빳빳한 무릎 때문에 앉거나 일어서기도 불편해 일상생활조차 힘들었다. 결국 제일정형외과병원을 찾아 검사를 받았다. 인공관절 수술을 할 때 관절의 균형을 잘못 맞춰서 무릎의 운동범위가 감소된 것이었다.

제대로 된 인공관절 수술을 받아 건강한 무릎을 되찾으려면 어떻게 해야 할까. 최정근 제일정형외과병원 인공관절클리닉 원장의 도움말로 알아보자.

말기 퇴행성관절염엔 인공관절 수술


무릎관절은 하루에 수백 번씩 굽혔다 펴기를 반복한다. 그러다 보니 관절염을 비롯한 각종 질환에 가장 쉽게 노출된다. 그중 대표적인 질환이 퇴행성관절염이다.

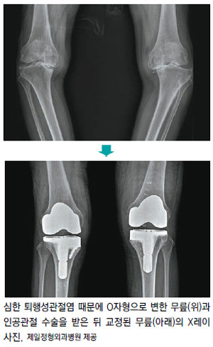
퇴행성관절염에 걸리면 처음에는 잠깐씩 아프다가 차츰 아픈 시간과 강도가 심해진다. 이런 증상은 수년에 걸쳐 서서히 진행된다. 처음에는 계단을 오르내릴 때 무릎이 시큰거리고 아프다가 차츰 평지를 걸을 때도 통증이 느껴진다. 더 심해지면 가만히 있을 때에도 무릎이 아프고, 무릎 안쪽의 물렁뼈가 닳아 관절이 좁아지면서 다리가 휘게 된다.

이때 증세가 심하지 않으면 약물이나 물리치료, 운동요법 등으로 치료한다. 이런 보존적 치료로 효과가 없고, 연골이 닳아 통증이 심해져 일상생활에 지장을 받거나 ‘O’자 다리로 변형까지 진행된 말기 퇴행성관절염 환자들은 인공관절 수술을 고려해야 한다.

인공관절 수술은 한 해에 약 7만 건 시행될 정도로 보편화됐다. 많은 환자들이 수술 후 일상생활에서 불편함 없이 잘 지내지만 수술 후 결과가 좋지 않아 고생하는 경우도 있다. 인공관절 수술은 말기 퇴행성관절염을 치료하는 방법이기 때문에 고령 환자가 많다.

최 원장은 “인공관절 수술은 심하게 손상돼 치료가 불가능한 연골을 제거하고, 금속과 강화 플라스틱으로 된 인공관절로 교체하는 것으로만 알려져 있다”며 “하지만 손상된 무릎이 정상적인 운동범위를 되찾을 수 있도록 세밀한 과정이 필요하다. 이때 필요한 기술이 연부조직 균형 맞추기”라고 말했다.

고도의 기술 요하는 연부조직 균형술

연부조직은 신체의 다른 부분을 연결하고 지지하며 감싸는 기능을 한다. 무릎이 원활하게 움직일 수 있는 것은 무릎의 관절뿐 아니라 연부조직이 함께 작용하기 때문이다. 무릎은 걸을 때나 계단을 올라갈 때뿐 아니라 물건을 들어 올릴 때 등의 상황에서도 많이 사용된다.

따라서 무릎의 연부조직도 쉽게 손상된다. 퇴행성관절염으로 오랫동안 무릎을 덜 사용하면 연부조직도 굳거나 오그라들어 무릎 관절을 사용하는 데 제약을 받게 된다.

인공관절 수술은 단순하게 손상된 무릎관절을 인공관절로 대체해주는 것만으로 끝나는 게 아니다. 오그라들고 굳어버린 무릎의 연부조직을 수술로 펴주는 작업을 해야 인공관절도 예전처럼 적절한 운동범위를 유지할 수 있고 수술 후 정상적으로 생활할 수 있다.

특히 퇴행성관절염 환자는 고령인 경우가 많고 오랜 기간 무릎관절을 덜 사용해 주변 조직이 심하게 굳어진 경우가 많아 ‘연부조직 균형술’이 필요하다. 연부조직 균형을 맞춘다는 것은 인공관절 수술을 할 때 환자 무릎의 운동범위를 계속 체크해 가면서 개별 특성에 맞는 인공관절 각도를 맞춰가는 방식이다. 수술의 성공 여부를 좌우하는 핵심적인 요소다.

이 수술에는 상당한 기술이 필요하다. 상한 연골을 1mm 간격으로 깎아가며 반복적으로 연부 조직의 균형을 확인하며 더 완벽한 균형상태를 이루도록 해야 한다. 이런 까닭에 수술 경험이 많은 병원을 찾아 전문의와 충분히 상담을 하고 신중하게 수술을 결정해야 한다.

많은 환자들이 수술 후에 곧바로 예전처럼 일상생활이 가능할 거라 생각한다. 퇴행성관절염은 한 번의 수술로 치료가 끝나는 것이 아니다. 수술 후 지속적인 재활치료로 관리해야 한다. 고령의 환자는 운동을 하지 않으면 근력의 약화와 퇴화가 더 빨리 진행된다.

무릎의 운동범위를 정상 수준으로 회복하기 위해서는 수술 당일이나 다음 날부터 재활치료를 받아야 한다. 수술 후 통증이 남아있어서 재활치료를 미루는 경우가 많지만 무통주사나 대퇴신경차단술을 이용하면 통증 없이 즉시 재활치료를 받고 빨리 회복될 수 있다.

이샘물 기자 evey@donga.com
  • 좋아요
    0
  • 슬퍼요
    0
  • 화나요
    0

댓글 0

지금 뜨는 뉴스