공유하기

새로운 항공기 개발 과정에 빠질 수 없는 실험이 있다. 바로 항공기가 잘 날도록 설계됐는지 살펴보는 ‘풍동 실험’이다. 크기만 작을 뿐 실제와 거의 동일한 형태의 모형 항공기를 방 안에 두고, 바람을 흘려보내 항공기 주변의 공기 흐름을 자세히 분석한다. 항공기가 안전하고 잘 날도록 설계됐는지 살펴보는 아주 중요한 실험이지만 막대한 돈과 시간이 필요해 항공기 제작 업체엔 부담이 돼 왔다. 세계 최대 항공기 제작회사 보잉은 1980년대만 해도 항공기 1대당 풍동 실험을 평균 77번 진행했다. 하지만 지금은 5번 미만으로 횟수를 줄이는 혁신을 이뤄냈다. 이런 혁신의 배경에는 ‘비밀 실험실’이 있다. 이 실험실에는 연구원이나 테스트에 필요한 시제품이 없다. 연구소 건물이나 주소도 없다. 단지 컴퓨터만 있으면 된다. ○실험 횟수 비용 안 드는 컴퓨터 속 실험실 이 비밀 실험실의 정체는 ‘엔지니어링 소프트웨어’라고 불리는 컴퓨터 프로그램이다. 사이버 공간에서 제품을 만들고 작동시켜 성능을 살펴보는 컴퓨터 속 실험실이라고 보면 된다. 실제 실험을 하는 대신 컴퓨터상에서 손쉽게 성능을 살피고 결함을 찾는 데 활용된다. 엔지니어링 소프트웨어를 쓰면 실제 실험을 많이 할 필요가 없어 실험 기간과 비용도 자연스레 줄어든다. 항공기나 자동차 회사부터 초고층 건물을 짓는 건설사, 화학제품을 만드는 화학 회사, 금형 주조 회사까지 대부분 기업들이 엔지니어링 소프트웨어를 사용하고 있다. 보잉은 물론 가전제품 회사 다이슨과 타이어 회사 굿이어도 이 소프트웨어를 써서 불량률과 개발 기간을 단축한 혁신 제품을 선보인 기업으로 손꼽힌다. 국내에서도 삼성과 현대자동차 등 대기업이 엔지니어링 소프트웨어를 활발히 사용하고 있다.○제철소 시설, 발전기 부품 소재 시험도 대체 중소기업 가운데서도 소프트웨어를 이용해 시간과 비용을 줄인 사례들이 있다. 국내 플랜트 기계설계 회사인 근화엔지니어링은 지난해 포스코 광양제철소 용광로 개수 공사 설계를 맡았다. 시설을 크게 바꾸지 않고 늘어나는 생산 용량에 맞게 원료를 옮기는 이송 시설인 컨베이어벨트와 배관 설치용 도교의 안전성을 보강하는 게 목표였다. 근화엔지니어링은 전문 구조해석 소프트웨어인 ‘마이다스젠(midas Gen)’을 활용해 시험용 구조물을 짓지 않고도 새 이송 설비에 가해지는 무게를 계산하는 데 성공했다. 회사 관계자는 “마이다스젠을 활용해 구조 해석에 들어가는 시간을 160시간 줄이고, 원가 절감 목표보다 200만 원 이상 절감했다”며 “설계 시간이 줄면서 신규 프로젝트 2건을 추가로 수주했다”고 설명했다. 대형 플랜트 부품을 제작하는 대창솔루션은 발전소 터빈 회전체를 감싸는 외부 구조물이 커지고 복잡해지면서 늘어난 불량률로 골머리를 앓았다. 이 회사는 ‘지캐스트(Z-CAST PRO)’라는 주조 해석용 엔지니어링 소프트웨어를 활용해 불량이 발생하는 원인을 찾았다. 부품 주조 과정에서 열이 흐르고 멈추는 움직임을 분석하는 소프트웨어다. 대창솔루션 관계자는 “결과적으로 불량률은 30% 줄어들고 용접봉 사용량 등 보수 비용을 연간 13억 원 줄이는 효과를 얻었다”며 “생산성이 18% 향상되는 효과도 있었다”고 말했다.○클라우드 서비스로 시공간 제약 없이 활용 가능해져 엔지니어링 소프트웨어를 활용하려는 기업들은 점점 늘고 있지만 여전히 많은 중소기업엔 ‘그림의 떡’이다. 구매 비용이 비싸고 이를 운영할 전문 인력을 고용하거나 유지하는 게 만만치 않기 때문이다. 근화엔지니어링과 대창솔루션도 한국생산기술연구원 창의엔지니어링센터를 통해 엔지니어링 소프트웨어와 전문가를 지원받아 성과를 낼 수 있었다. 최근에는 클라우드 서비스를 통해 기업들이 인터넷에 직접 접속해 언제, 어디서든 엔지니어링 소프트웨어를 이용할 수 있는 기반이 구축돼 중소기업들이 관심이 높다. 산업통상자원부와 생기원 창의엔지니어링센터는 클라우드에 다양한 엔지니어링 소프트웨어를 설치하고 원하는 기업에 제공하는 클라우드 서비스 지원 사업을 올해 3월부터 12월까지 추진한다. 선정된 기업들은 온라인 접속을 통해 엔지니어링 소프트웨어 사용뿐 아니라 해석 컨설팅도 받을 수 있다. 고재원 동아사이언스 기자 jawon1212@donga.com}

대구경북 지역에서 신종 코로나바이러스 감염증(코로나19) 환자가 급속히 늘면서 지역사회 감염 단계가 의심된다. 방역 당국은 여전히 29번과 30번, 40번 환자가 언제, 어디에서 감염됐는지 경로를 확인하지 못하고 있다. 18일 대구에서 발생한 31번 환자는 교회와 병원을 돌아다니며 동시에 여러 사람을 감염시키는 슈퍼 감염을 일으킨 것으로 추정되고 있다. 감염병 수리모델 분야 전문가인 김소영 건국대 수학과 연구원은 “지역사회에서 코로나19 환자 한 사람이 무방비로 돌아다닐 경우 20명을 감염시킬 확률은 29.55%인 반면 그런 상황을 60%만 차단해도 집단 감염 확률은 0.45%로 줄어든다”고 말했다. 바이러스 전파를 얼마나 낮추냐에 따라 전파 양상이 완전히 바뀔 수 있다는 뜻이다. 김 연구원은 이달 13일 서울 광진구 건국대에서 열린 ‘신종 코로나바이러스 감염증(코로나19) 수리모델 개발 워크숍’에서 이번 코로나19의 확산을 예측하는 수학 모델을 공개하며 이렇게 말했다. 국내에서 코로나19가 급속히 확산되면서 의료진은 물론 국내 수학자들도 방역 전선에 뛰어들고 있다. 감염병이 퍼져 나가는 상태를 나타내는 수학식을 만들고 전파 상황을 분석하고 향후 전개될 양상을 예측하는 게 목표다. 감염병이 유행하면 방역 당국은 모든 자원을 투입해 차단에 총력을 기울인다. 하지만 의료진 수나 비축한 방역 물자는 한계가 있다. 결국 사태가 장기화하면 인력과 자원 부족에 시달릴 수밖에 없다. 각국은 이런 이유로 선택과 집중을 할 부분을 결정하기 위해 언제, 어디서, 몇 명의 환자가 발생할지 예측하는 감염병 모델을 만드는 데 집중한다. 실제로 김 연구원이 만든 수학 모델에 따르면 손 씻기, 마스크 쓰기, 자가 격리 등을 통해 전파율을 60%만 낮춰도 실제 지원이 필요한 지역으로 의료진과 자원을 투입할 수 있다. 정은옥 건국대 수학과 교수는 “모델링은 유행 규모뿐 아니라 항바이러스제를 얼마나 비축해야 할지, 어떤 연령대에 약을 먼저 줘야 할지를 결정하는 데 필요한 정보도 제공한다”고 말했다.○감염자 수 억제 못하면 더 빠른 속도로 늘어 이번 코로나19 사태에는 ‘SEIR’라는 감염병 모델이 쓰이고 있다. SEIR는 감염 의심(Sus-pectible), 노출(Exposed), 감염(Infectious), 회복(Removed)이라는 의미의 영어 단어 앞 글자를 따온 말이다. SEIR는 감염 가능성이 있는 사람을 네 단계로 대상을 나누고 시간 흐름에 따라 환자 발생 상황을 예측한다. 모델 속 네 가지 단계에 속하는 사람의 수에 따라 감염병 전파 양상을 시간 흐름대로 볼 수 있다. 예를 들어 지역사회에 감염자(I)가 등장하면서 감염병이 전파되는데 이 감염자가 얼마나 병을 옮길지는 재생산지수(R0)에 달려 있다. R0는 감염병에 걸린 한 감염자가 총 몇 명에게 병을 옮기는지를 나타내는 수다. R0가 3이면 총 3명에게 병을 옮긴다. 여기에 감염자를 만날 확률을 곱하면 당일 몇 명이 감염될지 계산할 수 있다. 감염자를 만날 확률은 해당 지역사회에 감염자가 늘어나면 다시 커진다. 이 모델은 1900년대 초 전 세계를 휩쓴 스페인 독감을 설명하기 위해 1927년 고안된 SIR 모델에 잠복기 개념을 추가한 것이다. 증상이 나타나기 전 잠복기는 감염자에 따라 기간이 달라지기 때문에 시간에 따라 감염자 수가 바뀌는 것까지 고려했다. 단순하면서도 가정을 넣기 쉽고, 계산이 쉬워 감염병 수리모델의 기본으로 꼽힌다. 처음엔 감염자가 서서히 생겨나다 어느 순간 폭발적으로 늘고, 감염자가 치유돼 사라지면서 다시 유행이 잦아드는 모양을 보인다. 환자가 늘어나는 양상을 거꾸로 비교해 R0를 찾아낼 수 있어 감염병의 특성을 찾아내는 데도 도움을 준다.○신종 바이러스 출현 때마다 감염병 모델도 진화 새로운 바이러스가 출현할 때마다 감염병 모델도 진화하고 있다. 바이러스에 변이가 나타날 때마다 확산 방식이 바뀌어 점점 예측하기 어려워지기 때문이다. 이달 19일 대구와 경북지역에서만 하루 새 20명의 환자가 발생한 집단 감염 사례처럼 전파 양상이 바뀐 사건이 발생하면 수치를 조정한 새 모델을 적용한다. 정 교수는 “2015년 한국에 메르스(MERS·중동호흡기증후군)가 유행했을 때는 첫 슈퍼 전파자 사례였던 14번 환자가 나타난 시점에 새 모델이 적용됐다”고 말했다. 국내에선 감염병 모델링이 걸음마 단계지만 해외에선 새로운 변수들까지 고려하며 국제 보건 정책에서 중요한 역할을 하고 있다. 제프리 샤먼 미국 컬럼비아대 교수는 이달 15일 미국 시애틀에서 열린 미국과학진흥협회(AAAS) 연례회의에서 “날씨까지 고려한 결과 코로나19의 R0값이 2.23으로 추정된다”며 “방역 대책이 없다면 2년 안에 전 세계 인구의 절반을 감염시키고 엄청난 피해를 야기할 것”이라고 경고했다.조승한 shinjsh@donga.com·고재원 동아사이언스 기자}

암 치료에 사용하는 면역항암제는 화학항암제와 표적항암제에 이어 등장한 3세대 항암제다. 약물이 직접 암세포를 공격하지 않고 몸에 있는 면역세포로 하여금 암 세포를 공격하게 한다. 화학항암제나 표적항암제와 달리 독성과 내성이 없어 ‘기적의 치료제’라 불린다. 시장조사업체 그랜드뷰리서치에 따르면 2026년 면역항암제 시장 규모는 1269억 달러(약 147조 원)에 이른다. 하지만 이 3세대 항암제는 아직 미완성이다. 면역세포가 정상 세포까지 공격하고 몸속에서 오래 살아남지 못하는 한계가 있다. 과학자들은 이 문제를 해결하기 위해 크리스퍼 유전자 가위(CRISPR-Cas9)를 활용해 면역세포의 유전자를 편집하는 방법을 고려하고 있다. 지난해 암 환자 3명의 면역세포 유전자를 편집하는 데 성공한 미국 연구팀이 올해 인체를 대상으로 한 첫 임상 시험을 성공적으로 통과했다는 연구 결과가 나왔다. 칼 준 미국 펜실베이니아대 의대 세포면역치료센터 소장 연구팀은 암 환자에게 유전자 편집 면역세포를 주입한 결과 부작용 없이 장기간 생존했다는 연구결과를 국제 학술지 사이언스 7일자에 발표했다. 미국에서 유전자 편집을 거친 면역세포로 임상시험을 진행한 건 이번이 처음이다. 사람을 대상으로 의약품의 안정성과 유효성을 증명하는 임상시험은 1∼3상 시험으로 나뉜다. 1상에서 3상으로 갈수록 실험 규모가 커진다. 1상 시험은 의약품이 안전상의 문제가 발생하지 않고 효능이 있는지 확인하는 단계다. 주로 소수의 지원자를 대상으로 진행된다. 연구팀은 화학항암제와 표적항암제가 듣지 않는 60대 암 환자 3명을 대상으로 1상 시험을 진행했다. 연구팀은 먼저 이 환자들에게서 면역세포를 추출한 뒤 크리스퍼 유전자 가위를 이용해 PD-1 등 암 세포 공격을 방해하는 단백질을 생성하는 유전자 3개를 제거했다. 그런 다음 이 세포들을 환자에게 다시 주입하고 몸에서 안전하게 살아남는지를 관찰했다. 연구팀은 이 환자들에게서 면역세포 주입 후 부작용이 나타나지 않았고 최대 9개월까지 생존하는 것을 확인했다. 몸에서 살아남은 면역세포를 몸 밖으로 추출해도 계속해서 암 세포를 없애는 능력을 가진다는 사실도 확인했다. 준 교수는 “그동안 유전자 편집을 거친 면역세포를 사람에게 다시 주입할 경우 얼마나 살아남을지 알려진 것이 없었다”며 “이번 연구는 이 새로운 방식이 안전하고 실현 가능한 암 치료 접근법이라는 것을 증명했다”고 설명했다. 물론 유전자 편집 면역세포를 이용한 면역항암제가 시판되려면 갈 길이 멀다. 나머지 2, 3상 임상시험을 모두 거쳐야 한다. 미국 바이오산업협회에 따르면 신약 임상실험은 최종 상용화까지 평균 9.6%의 성공률을 보인다. 2상은 30.7%, 3상은 58.1%의 성공률을 보이는 것으로 나타났다. 수년이 소요되는 2상과 3상 임상시험에서 탈락하는 약물이 수두룩하다는 의미다. 신약 출시 이후 사후관리에 해당하는 ‘4상’ 임상시험도 남아있다. 송교영 서울성모병원 위암센터장은 “1상 임상시험을 통과했다는 것은 신약의 독성과 효과 여부를 확인했다는 의미”라며 “2상 임상시험을 통과해야 강력한 신약 후보물질이라는 평가를 받을 것”이라고 말했다.고재원 동아사이언스 기자 jawon1212@donga.com}

미국항공우주국(NASA)은 28일 지구에서 400km 떨어진 우주에 호텔을 지을 건설사로 민간우주기업 ‘액시엄 스페이스’를 선정했다. 2016년 설립된 이 회사는 설립 당시부터 우주 관광 개발업체를 표방해 왔다. 2024년까지 지구 상공에 떠 있는 국제우주정거장(ISS)에 세계 최초로 관광객이 머물 우주호텔 모듈을 세운다는 계획이다. 이에 앞선 20일에는 테슬라의 창업자 일론 머스크가 이끄는 스페이스X도 ISS에 우주인을 실어 나를 우주선 ‘크루드래건’ 개발의 마지막 관문인 비상탈출 시험에 성공했다. 크루드래건이 완성되면 한층 저렴한 비용으로 우주인과 우주여행객을 실어 나르는 시대가 성큼 다가올 것이란 전망이 나온다.○지구 보는 우주전망대 들어선다 액시엄 스페이스는 지상에서 제작한 우주호텔의 주요 구조물을 ISS로 올려 보낸다는 계획이다. ISS에는 지금도 미국과 러시아, 일본, 유럽연합(EU) 등이 쏘아올린 거주시설과 실험동 모듈이 붙어 있다. 이번에 제작되는 호텔 모듈은 ISS와의 연결을 위한 노드, 연구 및 제작 시설, 객실동, 큰 창문이 달린 지구전망대로 구성된다. 객실동의 정확한 거주 인원은 공개되지 않았다. 하지만 고속 무선랜 서비스와 영상을 볼 수 있는 스크린이 제공될 예정이다. 마이클 서프레디니 액시엄 스페이스 최고경영자(CEO)는 “호텔 모듈은 ISS 2번 노드 앞쪽 포트와 차례대로 연결될 계획”이라며 “지구전망대에 설치될 지구 관측용 창문은 ISS에 달려 있는 여러 창문 가운데 가장 클 것”이라고 밝혔다. 액시엄 스페이스는 민간 우주인 양성 서비스와 함께 내년까지 우주호텔 여행 상품을 내놓겠다고 밝혔다. 미국 정보기술(IT) 전문매체 긱와이어는 약 8일간의 ISS 숙박과 14주간의 우주인 훈련 프로그램 비용으로 5500만 달러(약 647억 원)를 책정했다고 전했다.○ 여행객 실어 나를 운송수단 개발도 속도 내 우주호텔에 여행객을 실어 나를 유인우주선 개발도 속도를 내고 있다. 미국 유인우주왕복선 프로그램이 종료된 뒤 ISS에 우주인을 실어 나르는 운송수단은 러시아의 유인우주선 소유스호가 유일하다. 한 번 우주인을 ISS에 보내는 데 8200만 달러가 들어간다. NASA는 좀 더 싼 가격으로 우주인을 보낼 새 운송수단을 개발하기 위해 스페이스X, 보잉과 손을 잡았다. 유인우주선 개발에 투자한 금액만 총 68억 달러에 이른다. 일반 여행객을 실어 나르기 때문에 만약의 안전사고에 대비한 비상탈출 시험은 크루드래건 개발의 가장 중요한 관문이었다. 팰컨9 로켓이 비행 중 폭발하는 상황을 가정한 이 시험에서 크루드래건은 성공적으로 로켓에서 분리된 뒤 낙하산을 펼치고 바다에 안착했다. 머스크 CEO는 “임무는 완벽히 성공했고 올해 4∼6월 첫 유인 우주 비행이 이뤄질 것”이라고 말했다. 보잉도 유인우주선 ‘CST-100 스타라이너’ 개발에 박차를 가하고 있다. 스타라이너는 지난해 12월 우주인을 태우지 않은 채 우주로 발사된 뒤 ISS와 첫 도킹을 시도했으나 실패했다. 우주선의 시계가 오작동을 일으켜 예정보다 일찍 추진체를 가동했고 연료가 고갈됐다. 스타라이너는 ISS와 도킹에는 실패했지만 미국 뉴멕시코의 미사일 성능 시험장으로 무사히 귀환했다. 보잉은 올해 상반기 안에 재도전에 나설 계획이다. 두 회사는 ISS까지 한번 왕복하는 데 드는 비용을 6000만 달러까지 낮추겠다는 목표다. ○지구 궤도, 달 여행도 눈앞 유인 우주선 외에 이미 판매 중인 우주여행 상품도 있다. 영국 억만장자 리처드 브랜슨 버진그룹 회장이 이끄는 우주탐사기업 ‘버진갤럭틱’은 2015년부터 우주 왕복선 ‘VSS유니티’를 타고 80km 고도까지 올라가 무중력 상태를 체험하며 우주를 감상하는 1인당 25만 달러짜리 여행 상품을 판매 중이다. 당초 지난해 실현할 계획이었으나 연기돼 현재 700여 명이 대기신청을 해놓은 상태다. 아마존 창업자 제프 베이조스의 우주탐사업체 ‘블루오리진’도 100km 상공에서 우주선이 지구로 돌아오는 동안 탑승객이 11분간 자유낙하를 체험하는 상품 예약을 받고 있다. 정확한 가격을 공개하지 않았지만 버진갤럭틱과 비슷한 수십만 달러 수준에서 가격이 책정될 것으로 알려졌다. 스페이스십원과 코펜하겐서브오비털도 우주와 지구의 경계인 100km를 여행하는 여행용 우주선 ‘서브오비털’을 개발하고 있다. 한편 스페이스X는 2023년 새로 개발될 BFR우주선을 타고 달을 여행할 첫 여행객에 일본의 억만장자 마에자와 유사쿠를 선정했다. 스페이스X는 정확한 요금을 공개하지 않았으나 3500만 달러를 넘을 것으로 추정된다. 고재원 동아사이언스 기자 jawon1212@donga.com}

약 500년 전 이탈리아의 천재 과학자 레오나르도 다빈치는 하늘을 나는 새들을 관찰했다. 비행기라는 개념도 없던 당시 새가 비행하는 모습을 연구해 하늘을 나는 기계를 만들기 위해서였다. 사람의 팔과 다리에 날개를 달아 새처럼 퍼덕여 보기도 했고, 새가 날개를 가만히 펼친 채 바람을 타고 날아가는 것처럼 사람 등에 날개를 달아보기도 했다. 비록 모두 실패했지만 다빈치는 연구 내용을 ‘새들의 비행에 관해’라는 기록으로 남겼고 후대에 비행기를 만드는 밑거름이 됐다. 다빈치의 기록은 글로 남겨진 최초의 ‘생체모방’ 연구 사례다. 생체모방은 다양한 생물체의 구조나 행동 원리, 메커니즘을 모방해 유용한 도구를 만들려는 시도다. 인류는 선사시대에도 동물의 날카로운 이빨을 모방한 칼과 창을 만들었고 1948년 엉겅퀴 씨앗의 갈고리 모양을 본떠 개발한 일명 ‘찍찍이’인 벨크로는 현대 생활에 없어서는 안 될 도구가 됐다. 최근 생체모방 연구는 특정 생물이 지닌 근육이나 세포의 정밀하고 부드러운 움직임까지도 모방하는 수준에 이르렀다. 생체 특성을 구현할 수 있는 다양한 소재가 개발되며 단순한 동작뿐만 아니라 복잡하고 미세한 감각까지 구현하는 게 가능해졌다. 대표적인 게 지난해 9월 김도환 한양대 화학공학과 교수 연구팀이 촉각세포의 세포막 구조와 외부 자극에 따른 생체 신호 전달 메커니즘을 모방해 개발한 인공 촉각 세포다. 미세한 세포 수준까지도 모방한 연구사례가 늘고 있지만 과학자들은 정작 비둘기 날개 ‘깃털’의 부드러운 움직임을 모방하는 데는 실패했다. 비둘기의 비행을 모방하기엔 깃털처럼 움직이는 소재를 찾기가 쉽지 않은 데다 복잡한 메커니즘에 대한 이해가 부족했기 때문이다. 데이비드 렌틴크 미국 스탠퍼드대 기계공학과 교수 연구팀은 생체모방 분야에서 한계로 인식된 비둘기의 부드러운 비행을 모방하는 데 성공하고 연구결과를 국제학술지 사이언스와 사이언스 로보틱스 17일자에 발표했다. 사이언스에는 비둘기 비행의 비밀을 푼 연구결과가, 사이언스 로보틱스에는 밝혀낸 비밀을 적용한 생체모방 로봇 ‘비둘기봇’에 대한 연구결과가 실렸다. 연구팀은 비둘기 비행의 비밀을 풀기 위해 깃털 하나하나 간의 상호작용을 분석했다. 고화질 모션 캡처 카메라를 이용해 비둘기 3마리 사체의 깃털과 날개뼈를 움직이며 그 모습을 관찰했다. 그 결과 비둘기는 조직을 결합해 기관을 형성하는 결합조직의 ‘탄성용량’을 활용하는 것으로 분석됐다. 탄성용량은 탄성에 대한 변형과 응력의 비율을 나타내는 것으로 결합조직과 깃털 사이에도 존재한다. 비둘기는 비행 중 날개를 움직이기 위해 뼈를 움직이는 변형을 가한다. 이때 겹치는 깃털들을 결합조직이 응력을 이용해 재배치하는 방식으로 탄성용량을 활용했다. 또 다른 메커니즘은 비둘기가 날개를 펼 때 생기는 벨크로 구조다. 날개를 펴면 깃털들 사이에 공간이 생기는데 이때 깃털들에 수천 개의 벨크로 구조가 형성돼 서로를 단단히 잡아준다. 이런 구조가 깃털 간 공간이 크게 벌어지는 것을 막는다는 게 연구팀의 설명이다. 이 구조는 비둘기가 날개를 오므리면 자동으로 해제됐다. 연구팀은 분석한 메커니즘을 적용한 ‘비둘기봇’도 만들어냈다. 비둘기봇에는 실제 비둘기 깃털 40개를 붙였다. 신소재인 합성탄력인대를 이용해 실제 비둘기처럼 깃털에 인공 관절과 발가락을 연결했다. 그런 뒤 실제 비둘기의 비행에서 결합조직 역할을 하는 관절과 발가락이 어떻게 움직이는지 알아보기 위해 터널 안에 비둘기봇을 넣은 다음 빠르고 강한 공기를 불어넣는 풍동실험을 진행했다. 그 결과 관절과 발가락 동작이 깃털 배치와 날개를 펼치는 정도를 조절하는 데 미세하게 영향을 미치는 것으로 나타났다. 비대칭적인 관절과 발가락의 움직임이 날카로운 각도로 비행할 때도 안정적인 회전이 가능하도록 도움을 준 것이다. 렌틴크 교수는 “비둘기가 주로 발가락을 사용해 비행 방향을 잡는다는 첫 번째 증거”라며 “이번 연구는 혁신적인 항공기를 개발하는 데 영감을 줄 수 있다”고 말했다. 박훈철 건국대 생체모방시스템연구실 교수는 “사용하는 에너지 대비 비행거리를 의미하는 비행효율이 비행기는 특정 구간에서만 효율이 높은데 새는 전 비행구간에서 높다”며 “새의 날개 변형을 모방한다면 비행기의 비행효율을 높이는 데 도움을 줄 수 있을 것”이라고 말했다. 고재원 동아사이언스 기자 jawon1212@donga.com}

우주에 소형 위성 수백∼수천 개를 띄워 전 세계를 하나로 잇는 인터넷을 구축하겠다는 혁신기업들의 계획이 점차 구체화되고 있다. 7일 미국 전기차 회사 테슬라의 창업자이자 최고경영자(CEO)인 일론 머스크가 이끄는 미국 우주개발기업 스페이스X는 위성인터넷 프로젝트 ‘스타링크’를 위한 60개의 소형 위성 발사에 성공했다. 지난해 5월과 11월에 이은 세 번째 발사로 총 180개의 위성이 이미 우주로 올라갔다. 영국 민간 우주기업 원웹은 648개의 위성을 띄워 무선인터넷을 공급하려는 계획을 세우고 지난해 2월 위성 6대를 발사했다. 제프 베이조스가 이끄는 아마존도 위성 3236개를 띄워 위성인터넷 망을 제공하는 ‘프로젝트 카이퍼’를 발표했다. 이 같은 계획대로라면 수년 내에 위성인터넷으로 데이터를 주고받고 산간벽지에서도 손쉽게 무선인터넷이 가능해지는 시대가 열릴 것이라는 전망이 나온다. 가장 발 빠르게 움직이고 있는 스페이스X의 스타링크는 무게 227kg의 소형 위성을 지구 저궤도(고도 550km)에 발사해 전 세계 초고속 위성인터넷 망을 구축할 계획이다. 총 1만1943개의 위성을 2027년까지 순차적으로 쏘아 올려 지구촌 어디에나 빠른 인터넷을 공급하는 게 목표다. 위성 궤도와 무선주파수 사용의 조율 권한을 가진 미국 연방통신위원회(FCC)의 허가도 이미 받았다. 스페이스X는 2∼3주마다 60개씩 발사해 올해 말까지 1500개가 넘는 위성을 쏘아 올릴 계획이다. 당장 올해부터 미국과 캐나다 등 일부 북미 지역에 위성인터넷 서비스를 우선 제공하겠다는 것이다. 머스크 CEO는 “스타링크 위성이 420개가 되면 시범 서비스가 가능하다”며 “2021년부터 전 세계에 인터넷 서비스를 제공하는 게 목표”라고 말했다. 저궤도 위성의 장점은 저렴하고 빠른 인터넷 서비스를 제공할 수 있다는 것이다. 고도 1000km 이하에서 지구를 돌기 때문에 정지궤도(3만6000km) 위성보다 지구와의 거리가 가깝고 지연속도도 짧아진다. 대용량 데이터나 동영상을 안정적으로 전송할 수 있는 것이다. 값비싼 광섬유를 이용하는 유선인터넷 망 대신 위성인터넷을 이용하면 비행기와 산간오지 등 인터넷 서비스가 이뤄지지 않는 지역에도 인터넷 공급이 가능하다. 스페이스X는 현재 위성인터넷 소비자 공급가인 월 80달러(약 9만3000원)보다 가격을 낮게 책정할 것으로 보인다. 위성이 지구를 도는 속도가 빨라 특정 지역에 인터넷을 안정적으로 공급하기 어려울 수도 있지만 수천 개의 위성을 띄우면 연속적인 서비스에 문제가 없다는 게 머스크 CEO의 구상이다. 계획대로라면 세계 어디든 초당 1Gb(기가비트) 속도로 저렴하게 인터넷을 공급할 수 있을 것으로 기대된다. 전 세계 인터넷 평균 속도는 초당 5∼7Mb(메가비트)이며, 한국은 초당 25Mb 수준이다. 한국보다 40배 빠른 셈이다. 그윈 쇼트웰 스페이스X 최고운영책임자(COO)는 스타링크 사업에 최소 100억 달러(약 11조6900억 원) 투입을 예상하고 있다. 막대한 투자 금액이지만 본격 서비스에 돌입하면 수익을 낼 것이라는 전망이 우세하다. 월스트리트저널(WSJ)은 스타링크 위성이 개당 최대 600만 달러(약 69억 원)의 매출을 낼 것으로 예상했다. 머스크 CEO는 “세계 통신 시장의 몇 퍼센트만 점유해도 이익이 날 것”으로 내다봤다. 스페이스X가 위성인터넷 시장에 뛰어들기 전에 이미 영국 민간업체 원웹은 2012년 위성인터넷 프로젝트를 시작했다. 2021년까지 냉장고 무게와 유사한 130kg의 위성 648개를 1200km 상공에 올려 세계에 무선인터넷을 공급할 계획이다. 이미 지난해 2월 그 시작점으로 인공위성 6개를 발사했다. 아마존도 위성인터넷 시장에 눈독을 들이고 있다. 2018년 4월 저궤도 위성 3236개를 띄워 위성인터넷 망을 전 세계 인구 95%에 제공하는 ‘프로젝트 카이퍼’를 발표했다. 캐나다 위성통신기업 ‘텔레샛’도 소형 위성 292개를 띄워 2022년 위성인터넷 서비스 시작을 목표로 2018년 첫 프로토타입 위성을 쏘아 올렸다.고재원 동아사이언스 기자 jawon1212@donga.com}

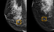
암은 생존율이 여전히 낮은 질병이다. 보건복지부 ‘국가암등록통계’에 따르면 2013∼2017년 암 진단을 받은 환자가 암에 걸리지 않은 사람과 비교해 5년 뒤 살아있을 가능성(상대생존율)은 70.4%다. 1993∼1995년에 42.9%이던 것과 비교하면 많이 올라갔지만 여전히 10명 중 3명이 5년 내 목숨을 잃는 셈이다. 과학자와 의사들은 암 생존율을 더 높이려면 조기 진단과 함께 치료 이후 예후 관리가 중요하다고 입을 모은다. 최근에는 인공지능(AI)이 암의 징후를 조기에 파악하고 치료 후 경과까지 철저히 감시하는 암 진단이 본격화하고 있다. 이미 일부 진료과목에선 AI가 전문의보다 암 조기 진단 정확도가 더 높다. 구글이 가장 앞서나가고 있다. 구글 헬스의 스콧 마이어 매키니 연구원 연구팀은 “AI가 유방암 조기 진단 정확도에서 방사선 전문의를 능가했다”는 연구결과를 국제학술지 ‘네이처’ 1일자에 발표했다. 이번 연구에는 영국 임페리얼칼리지런던 연구진과 알파고를 개발한 딥마인드, 미국 노스웨스턴대도 참여했다. 연구팀은 AI에 미국 여성 3097명과 영국 여성 2만5856명의 유방암 진단 영상을 학습하도록 했다. 그런 다음 AI와 방사선 전문의 6명에게 처음 보는 X선 영상 500장을 제시하고 유방암 여부를 판단하게 했다. AI의 오진율은 전문의보다 낮았다. AI가 암이 아닌데 암이라고 판단한 비율은 전문의보다 영국 여성의 영상은 5.7%, 미국 여성은 1.2% 낮았다. 암에 걸렸는데 암이 아니라고 판단한 비율도 AI가 전문의보다 각각 9.4%와 2.7% 낮았다. 연구팀은 지난해 5월 AI가 폐암 진단에서 최고 94.4%의 정확도를 보였다는 연구 결과를 국제학술지 ‘네이처 메디신’에 발표했다. 이는 방사선 전문의보다 5∼11% 높은 정확도다. 연구팀은 당시 “AI가 4만2290개의 흉부 컴퓨터단층촬영(CT) 영상 자료를 학습하면서 전문의도 보지 못한 암의 패턴을 인식했다”고 설명했다. 독일 하이델베르크대 의대 연구팀이 지난해 개발한 AI의 피부암 조기 진단 정확도도 95%에 이른다는 결과도 나왔다. 최근에는 암 치료 이후 경과를 예측하는 방법에서 탁월한 성과도 나타나고 있다. 일본 이화학연구소(RIEKN·리켄) 고급지능프로젝트 야마모토 요이시로 연구원은 인간이 만든 전립샘암 예후 예측 기준보다 더 정확도가 높은 AI 예측 연구결과를 국제학술지 ‘네이처 커뮤니케이션’에 지난달 18일 공개했다. 연구팀은 AI에 일본의대병원(NMSH)이 지난 20년간 보유하고 있던 전립샘암 환자 1만3188장의 자료를 학습시켰다. 그 결과 지금까지 가장 정확하다는 예후 예측 기준인 ‘글리슨 점수’보다 더 정확한 예측 결과를 얻었다. 암의 예후 예측이 중요한 이유는 개인마다 재발과 전이 위험이 다르기 때문이다. 예후에 영향을 주는 요인은 암 세포의 크기, 분화, 형태, 나이, 성별 등 다양하다. 송교영 가톨릭대 의대 교수는 “같은 종류의 암이라도 사람에 따라 재발 확률이 달라질 수 있다”며 “개인에 맞는 치료를 위해선 예후 예측이 중요하다”고 설명했다. 서울대병원 강경훈·배정모 교수 연구팀도 AI로 대장암 조직 슬라이드를 분석해 재발 및 전이 위험이 2∼3배 높은 환자를 선별하는 방법을 개발했다. 배 교수는 “기존에 알려진 예후 인자들과 함께 진단에 활용하면 재발 위험성이 높은 대장암 환자를 더 잘 찾아내 치료할 수 있을 것”으로 보고 있다. 고재원 동아사이언스 기자 jawon1212@donga.com}

경자년(庚子年) 새해는 밤하늘을 수놓는 화려한 별똥별(유성)쇼와 함께 시작한다. 내년 12월에는 목성과 토성이 20년 만에 가장 가깝게 붙어 보이는 천문 이벤트도 펼쳐진다. 한국천문연구원은 2020년 지구의 밤하늘을 수놓을 희귀한 천문 현상을 26일 발표했다. 새해 가장 먼저 펼쳐지는 우주쇼는 1월 4일 사분의자리 유성우가 될 것으로 보인다. 별자리 중 하나인 사분의자리는 밤하늘을 봤을 때 정북 방향 지평선 위에 있다. 유성우란 별똥별이 비처럼 쏟아지는 현상이다. 별똥별은 혜성(彗星)이 지나가면서 남긴 먼지 부스러기나 소행성 파편이 지구 대기권으로 쏟아지면서 대기와의 마찰로 불이 붙어 빛이 나는 현상이다. 사분의자리 유성우는 지구가 소행성 2003EH1과 혜성C/1490 Y1의 잔해들을 통과할 때 나타난다. 이 유성우는 이날 오후 5시 20분에 절정에 달할 것으로 예상된다. 페르세우스자리 유성우, 쌍둥이자리 유성우는 사분의자리 유성우와 함께 3대 유성우로 꼽힌다. 8월 12일 절정에 이를 페르세우스자리 유성우는 태양을 도는 스위프트 터틀 혜성의 잔해를 지구가 통과할 때 나타난다. 쌍둥이자리 유성우는 소행성 ‘3200페톤’이 태양의 중력으로 부서지고 그 잔해가 남은 지역을 지구가 통과하며 나타나는 유성우로 12월 14일에 장관을 이룰 것으로 예상된다. 2020년에는 다채로운 월식과 일식 현상도 볼 수 있다. 월식은 태양과 지구, 달이 일직선으로 늘어설 때 나타나는 천문 현상으로 지구의 그림자 속으로 달이 들어가는 현상을 뜻한다. 월식은 태양 빛이 지구 그림자에 완전히 가리는 본영(本影)과 일부만 가리는 반영(半影)으로 나뉜다. 2020년에는 총 3번의 반영월식을 관찰할 수 있다. 새해 첫 반영월식은 1월 11일 오전 2시 5분에 시작해 오전 4시 10분 최대에 이른 후 오전 6시 14분 종료된다. 아시아와 유럽, 아프리카, 오세아니아에서 관측이 가능하다. 6월 6일에는 오전 4시 25분, 11월 30일에는 오후 5시 42분 최대에 이른 반영월식을 볼 수 있다. 6월 21일과 12월 14일에는 태양과 달, 지구가 일직선에 놓이는 일식현상이 나타난다. 하지만 이 중 실제 관측할 수 있는 날은 6월 21일로 이날은 금환일식이 진행된다. 금환일식은 마치 달이 태양 안에 들어가 태양이 고리 모양처럼 보이는 현상이다. 달이 상대적으로 지구 가까이 있어 태양을 충분히 가리지 못하는 경우 나타난다. 아프리카 대부분 지역, 유럽 남동부, 아시아, 미크로네시아 지역에서 관측이 가능하지만 위도가 높은 한반도에서는 부분일식만 볼 수 있다. 이날 서울에서는 오후 3시 53분 시작해 오후 5시 2분 절정을 이룬 뒤 오후 6시 4분쯤 끝날 것으로 예상된다. 12월 14일에는 달이 태양을 완전히 가려 태양이 전혀 보이지 않는 개기일식이 일어난다. 하지만 이 개기일식 역시 한국에서는 볼 수 없고 태평양 남부, 남아메리카 남부, 남극 일부 지역과 아프리카 남서 지역에서만 관측이 가능하다. 한반도에서는 2035년 9월 2일에 북한 평양 지역, 강원 일부 지역에서 개기일식을 볼 수 있을 것으로 예상된다. 12월 21일에는 목성과 토성이 펼치는 한겨울의 우주쇼를 볼 수 있다. 이날 오후 5시 17분 서쪽 하늘에서는 목성과 토성이 0.1도 간격으로 붙은 모습을 볼 수 있다. 두 천체가 이 정도로 가깝게 접근하는 것은 20년 만이다. 내년 가장 큰 보름달은 4월 8일 달이 지기 직전인 오전 6시 24분에 나타난다. 반대로 가장 작은 보름달은 10월 31일 보름달이 될 것으로 전망된다. 고재원 동아사이언스 기자 jawon1212@donga.com}

돼지해인 ‘기해년(己亥年)’이 저물고 쥐해인 ‘경자년(庚子年)’이 다가오고 있다. 내년은 다산과 번영을 상징하는 흰쥐의 해라는 점에서 새해에 거는 기대가 크다. 연말연시를 맞아 흰쥐 캐릭터를 그린 기념우표가 나왔고 기념사진에 쓰일 대형 흰쥐 모형까지 등장했다. 내년 과학계에서도 인간과 쥐가 각별한 관계로 발전할 중요한 이벤트가 예정돼 있다. 바로 인간의 세포를 가진 쥐의 탄생이다. 나카우치 히로미쓰(中內啓光) 일본 도쿄대 줄기세포연구소 교수 연구팀은 내년 상반기(1∼6월)에 쥐 배아에서 인간 세포를 배양한 ‘하이브리드 배아’를 만들어 대리 동물에게 이식하는 실험을 추진하고 있다. 국제학술지 네이처도 최근 나카우치 교수 연구를 ‘2020년 기대할 만한 과학이슈’로 꼽기도 했다.○ 사람 세포 가진 쥐 장기이식 검증 빨라져 사람 세포를 가진 쥐를 만드는 방법은 이렇다. 우선 생쥐 유전자를 조작해 특정 장기가 없는 쥐 배아를 만든다. 그런 다음에 모든 세포로 분화가 가능한 ‘역분화줄기세포(iPS)’를 넣는다. 이렇게 하면 인간 세포와 쥐 세포가 합쳐진 하이브리드 배아가 생성되는데 이를 쥐 자궁에 착상시키면 사람 세포를 가진 쥐로 태어난다. 네이처는 이런 새로운 종류의 쥐를 영어로 사람을 뜻하는 ‘휴먼’과 쥐를 뜻하는 ‘마이스’를 합쳐 ‘휴마이스’라고 이름 지었다. 궁극의 목표는 사람에게 이식할 장기를 가진 동물을 태어나게 하는 것이다. 그동안 인간과 동물 세포를 결합하는 하이브리드 연구는 돼지를 대상으로 이뤄졌다. 돼지의 장기가 인간의 장기와 크기가 비슷해 이식에 적합하기 때문이다. 하지만 검증까지 오랜 시간이 걸리는 게 단점이다. 반면 연구팀이 실험 대상으로 선정한 쥐는 돼지와 비교해 빠른 실험 결과를 얻는다는 장점이 있다. 박정규 바이오이종장기개발사업단장(서울대 의대 교수)은 “쥐는 돼지처럼 동물의 장기를 인간 장기로 활용하는 연구의 검증 속도를 종전보다 4∼5배 정도 빠르게 끌어올릴 것으로 기대된다”고 말했다.○ 인간생명과학의 진보를 위해 희생한 쥐 사람 세포를 가진 쥐가 등장하기 전에도 사람과 쥐는 과학적으로 오랜 인연을 맺어 왔다. 중세시대에는 페스트균을 보유한 쥐벼룩이 옮긴 흑사병으로 수백만 명이 목숨을 잃으면서 한동안 쥐는 공포의 대상이었다. 최근에도 중국에서 흑사병이 발병해 쥐에 대한 두려움이 확산되기도 했다. 하지만 쥐가 없었다면 지난 한 세기 동안 생명과학의 진보는 쉽게 이뤄지지 않았을 것이라는 평가가 더 많다. 쥐가 과학자들의 눈에 들어온 건 19세기 말이다. 일부 학자들이 질병 메커니즘과 치료 방법을 찾는 데 쥐를 본격적으로 사용하면서부터다. 영국은 이미 1876년 실험 쥐 관리와 관련된 사안을 법률로 규정했을 정도다. 쥐가 실험동물로 각광받는 이유는 사람과 공통점이 많기 때문이다. 인간과 쥐 유전자는 99%가 같다. 이런 이유로 사람의 유전자가 질병과 어떤 관련이 있는지 연구하기 적합하다. 번식이 쉽다는 것도 장점으로 꼽힌다. 쥐는 임신 기간이 3주로 짧고 분만 후 바로 임신이 가능하다. 한 번에 5∼15마리의 새끼를 낳고 한 세대의 수명이 2, 3년에 불과해 그만큼 빠른 연구 결과를 얻을 수 있다. 포유류 중 가격이 싸다는 것과 이미 많은 연구 데이터가 쌓여 있다는 것도 장점이다. 쥐를 활용해 이뤄낸 위대한 발견은 셀 수 없이 많다. 대부분의 질병 연구가 쥐를 통해 이뤄진다고 볼 수 있다. 신약의 효용을 확인하거나 화장품의 독성을 테스트할 때, 질병의 발병 이유를 세포나 유전자 수준에서 확인할 때도 쥐가 활용된다.○ 쥐 희생 막을 새로운 기술들 일부에선 실험동물의 과도한 희생을 동반한다는 비판이 나온다. 최근에는 쥐의 희생을 줄이기 위한 다양한 기술이 실험에 활용되고 있다. 유전학에서는 ‘오가노이드’ 연구가 한창이다. 오가노이드는 줄기세포를 3차원적으로 배양하거나 재조합해 만든 장기유사체다. 2009년 한스 클레버르스 네덜란드 휘브레흐트연구소 교수팀이 생쥐의 직장에서 얻은 줄기세포로 작은 크기의 내장을 만든 것을 시작으로 현재 미국과 일본 등에서 심장, 위, 췌장, 갑상샘 등을 만들었다. 최근에는 플라스틱 위에 세포를 배양해 인체 조직이나 장기를 모방한 장치도 등장했다. 일명 ‘장기칩’이라 불리는 이 장치는 쥐를 대신해 생명 현상을 연구하고 신약 후보물질을 실험할 수 있다. 허동은 미국 펜실베이니아대 바이오공학과 석좌교수는 올 9월 안구 표면을 형성하는 각막과 결막, 이 위를 덮은 눈물층까지 재현한 칩을 개발했다는 연구 결과를 국제학술지 ‘네이처 메디신’에 발표했다. 허 교수는 “안구 독성을 알아보는 동물실험을 대체하거나 신약 개발 및 콘택트렌즈 테스트에 활용할 수 있고 다양한 안구 질환의 기전 연구에도 응용할 수 있을 것”으로 보고 있다.고재원 동아사이언스 기자 jawon1212@donga.com}

한국과 러시아 연구팀이 발견한, 1억 년 전 것으로 추정되는 파리 화석에 가수 싸이의 노래 ‘강남스타일’에서 딴 이름을 붙여 화제다. 26일 영국 과학매체 피즈오아르지(phys.org)에 따르면 남기수 공주교대 교수와 알렉산드르 크라모프 러시아 보리스시아크고생물연구소 연구원은 경남 진주에서 발견된 파리목(目) 화석에 ‘부치나토르미이야 강남아이(Buccinatormyia gangnami)’라는 학명을 붙여 국제학술지 ‘앨처링거’ 12일자에 발표했다. 백악기 한반도 진주층에서 파리목 화석이 학계에 보고된 것은 처음이다. 남 교수에 따르면 논문 주저자인 크라모프 연구원이 한국 하면 떠오르는 것이 강남스타일이라며 여기서 이름을 따서 학명을 짓자고 제안했다. 학명 끝의 아이는 사람을 뜻한다. 남 교수는 “크라모프 연구원이 강남을 사람으로 착각해 강남 뒤에 아이가 붙게 됐다”고 소개했다. 파리 화석은 총 6마리가 발견됐다. 이들의 평균 크기는 집에서 날아다니는 파리의 2배 정도로 1억1000만 년 전에 산 것으로 추정된다. 머리 앞에는 약 5mm 길이의 주둥이가 달려있다. 연구팀은 고대 파리들이 꽃 속 깊은 곳에 들어 있는 설탕물을 먹고 살았을 것으로 추정하고 있다.고재원 기자 jawon1212@donga.com}
탈원전 정책을 비판하는 ‘에너지 정책 합리화를 추구하는 교수 협의회(에교협)’는 25일 성명서를 내고 “월성 1호기를 영구 정지하기로 한 원자력안전위원회(원안위)의 결정을 철회하고, 재가동을 추진하라”고 촉구했다. 이들은 “(이번 결정은) 법과 제도를 철저하게 무시한 폭거이자 세계 최고 수준의 원전 기술을 개발한 과학기술계의 노력을 철저하게 무시한, 참을 수 없는 모욕”이라며 “국민에게 전기요금 인상으로 감당할 수 없는 경제적 부담을 떠넘기고, 미세먼지와 온실가스 배출로 환경을 망쳐버린 부당한 결정”이라고 규탄했다. 에교협은 또 “작년 한국수력원자력 이사회가 월성 1호기 조기 폐쇄를 결정한 의결의 정당성에 대해 문제를 제기한 국회와 감사를 진행하고 있는 감사원의 권위를 능멸한 것”이라고도 주장했다. 고재원 동아사이언스 기자 jawon1212@donga.com}

탈원전 정책을 비판하는 ‘에너지 정책 합리화를 추구하는 교수 협의회(에교협)’는 25일 성명서를 내고 “월성 1호기를 영구정지하기로 한 원자력안전위원회(원안위)의 결정을 철회하고, 재가동을 추진하라”고 촉구했다. 이들은 “작년 한국수력원자력 이사회가 월성 1호기 조기폐쇄를 결정한 의결의 정당성에 대해 문제를 제기한 국회와 감사를 진행하고 있는 감사원의 권위를 능멸한 것”이라며 “감사에서 한수원 이사회 의결의 불법성·부당성이 드러날 경우 원안위의 의결은 원천 무효가 될 수밖에 없다”고 주장했다. 에교협은 이어 “‘(월성 1호기의 재가동을 위해) 추가 투입된 7000억 원 등은 우리가 책임질 부분이 아니다’라는 엄재식 위원장의 발언은 무책임하다”며 “세계 최고 수준의 원전기술을 개발한 과학기술계의 노력을 철저하게 무시한 참을 수 없는 모욕”이라고도 반발했다. 원안위는 이날 해명자료를 내고 “한수원이 (원전의) 계속 운전이나 영구정지를 위한 운영변경허가를 신청하면, 원자력안전법령에서 정한 허가 기준에 적합할 경우 허가하고 있다”고 밝혔다.고재원 동아사이언스 기자 jawon1212@donga.com}

인류 역사상 처음으로 성공한 ‘블랙홀’ 촬영이 올해 과학계를 뒤흔든 최고의 연구 성과로 선정됐다. 현생 인류는 물론 네안데르탈인과도 다른 제3의 인류인 ‘데니소바인’의 얼굴을 추정한 연구와 태양계 생성 당시의 상황을 보존하고 있는 우주의 방랑자 소행성 ‘울티마 툴레’를 관측한 연구도 올해 주목할 연구 성과로 뽑혔다. 국제학술지 ‘사이언스’는 20일 ‘올해 과학계를 혁신한 연구 성과’ 10개를 발표했다. 사이언스는 해마다 전 세계 과학자들은 물론 일반인도 알아야 할 최고 성과를 전문가와 일반인 투표를 통해 엄선해 발표하고 있다. 최고 성과로 선정된 블랙홀 관측은 천재 물리학자 알베르트 아인슈타인이 1915년 일반상대성이론에서 그 존재를 제시한 이후 한 세기 만에 이를 증명했다는 점에서 의미가 깊다. 4월 한국 과학자 8명을 포함해 미국과 유럽, 일본 등 전 세계 연구자 200여 명으로 구성된 ‘사건지평선망원경(EHT)’ 연구팀은 처녀자리 은하단의 한가운데에 있는 M87 초대질량 블랙홀의 모습을 공개했다. 지구에서 5500만 광년(1광년은 빛이 1년 가는 거리로 약 9조4600억 km) 떨어져 있으며 질량은 태양의 65억 배에 이른다. 관측에는 남극, 안데스산맥 등 전 세계 8곳에 있는 전파망원경 8개를 총동원한 가상 망원경 ‘EHT’가 활용됐다. 연구팀이 공개한 붉은 고리 모양은 블랙홀의 강한 중력에 의해 휘어진 빛이 모여 형성한 ‘블랙홀의 그림자’의 모습이다. 실제 블랙홀 윤곽(사건의 지평선)은 그 안에 있다. 연구진이 관측한 블랙홀의 그림자는 지름이 약 1000억 km, 실제 블랙홀 지름은 400억 km로 나타났다. DNA 분석을 통해 고대 인류인 ‘데니소바인’의 얼굴을 추정한 연구도 주목할 성과로 선정됐다. 데니소바인은 현생 인류인 호모 사피엔스와 가장 가까운 친척 인류 중 하나로 약 5만 년 전 아시아에 거주한 것으로 추정된다. 리란 카멜 이스라엘 히브리대 알렉산더실버만생명과학연구소 교수팀은 올 9월 발견된 손가락 뼈 조각과 어금니에서 DNA를 채취해 해독하고 이를 바탕으로 데니소바인의 얼굴을 복원했다. 데니소바인은 네안데르탈인처럼 경사진 이마와 돌출된 아래턱뼈를 가졌다. 하지만 네안데르탈인보다 더 넓은 얼굴을 가진 게 특징이다. 태양계를 스쳐 지나간 우주 방랑자 소행성 ‘울티마 툴레’ 연구도 과학인들의 주목을 받았다. 울티마 툴레는 지구에서 약 65억 km 떨어진 태양계 최외곽에서 태양을 돌고 있다. 올 1월 미국항공우주국(NASA)의 무인 탐사선 ‘뉴 허라이즌스’호는 약 3500km까지 스쳐 지나가며 울티마 툴레를 촬영하는 데 성공했다. 지름이 14km와 19km인 천체 두 개가 눈사람 모양으로 결합한 모습이 처음 드러났다. 이와 함께 구글이 새로 개발한 양자컴퓨터 칩 ‘시커모어’가 특정 과제를 푸는 임무에서 현존하는 가장 강력한 슈터컴퓨터를 압도했다는 ‘양자우월성’ 연구, 진핵생물의 기원을 밝힐 미생물 연구, 장내미생물을 통해 기아 문제 해결 가능성을 제시한 연구, 인공지능(AI)이 프로 도박사 5명을 능가하는 포커 실력을 보여줬다는 소식 등도 10가지 연구 성과로 꼽혔다. 고재원 동아사이언스 기자 jawon1212@donga.com}

이달 4일 대전 한국항공우주연구원 위성시험동에서 정지궤도위성 ‘천리안2B호’ 조립현장이 처음 공개됐다. 천리안2B호는 내년 2월 18일 남미 프랑스령 기아나 우주센터에서 발사될 예정이다. 2020년 3월 임무 종료를 앞둔 ‘천리안1호’에 실린 해양탑재체 ‘GOCI’에 비해 천리안2B호에 장착되는 ‘GOCI―2’는 산출할 수 있는 환경 관측 정보가 13종에서 26종으로 늘어난다. 동북아 대기오염 물질의 이동경로를 볼 수 있는 환경탑재체도 정지궤도위성 가운데 처음으로 장착된다. 전문가들은 지난해 12월 발사된 ‘천리안2A호’의 기상탑재체와 함께 운용되면 환경 분야에서 최고 수준의 국제 융·복합 연구가 이뤄질 것으로 기대하고 있다. 천리안2B호는 대기 및 해양 환경을 관측하는 정지궤도위성이다. 적도 상공 3만6000km 고도에서 지구의 자전 속도와 동일하게 회전하며 한반도 및 동아시아 지역의 미세먼지와 한반도 주변의 적조 및 녹조 현상을 실시간 관측한다. 무게 3.4t에 높이 3.8m, 길이 2.9m다. 일반 냉장고를 2대씩 2층으로 쌓아 올린 크기다. 목적은 2020년 3월 임무 종료를 앞둔 통신해양기상위성 ‘천리안1호’를 한층 더 높은 성능으로 대체하는 것이다. 천리안2B호에는 천리안1호에 실린 탑재체보다 성능이 좋은 해양탑재체와 환경탑재체가 장착된다. 해양탑재체 GOCI―2는 적조, 녹조 등 해양 재해를 관측하고 전 지구 기후변동에 대응한 해양 생태계 변동을 살펴보기 위한 장비다. GOCI―2는 250m급 해상도를 갖는다. 이는 가로 250m, 세로 250m의 지역을 한 점으로 인식하는 수준이다. 하루 관측 횟수도 10회로 천리안1호보다 2회 더 관측할 수 있다. GOCI―2가 관측하는 정보는 26종에 이른다. 해양탑재체 연구책임자인 박영제 한국해양과학기술원 책임연구원은 “해무, 에어로졸 타입, 부유조류, 해빙 등 GOCI―2가 산출할 수 있는 정보가 26종으로 늘었다”며 “유류사고나 적조, 녹조가 발생할 경우 실시간 관측을 통해 정보를 제공하고 해양환경 피해를 최소화할 수 있을 것”이라고 말했다. 박 연구원은 오염물질 해양 투기 감시와 해수 수질변화 모니터링을 통해 해양환경 보호와 수산자원 관리에도 기여할 것으로 보고 있다. 환경탑재체 ‘GEMS’는 대기 중에 존재하는 미세먼지 등을 관측하기 위한 초정밀 광학장비로 일본부터 인도네시아 북부, 몽골 남부까지 동아시아 지역을 관측한다. 천리안1호 대비 4배 향상된 관측해상도로 미세먼지를 유발하는 이산화질소, 이산화황, 포름알데히드 등 대기오염물질 20여 가지의 발생 지점, 이동경로 같은 정보를 생산한다. 30분씩 하루에 8번 정도 낮시간 동안 관측할 예정이다. 최재동 항우연 정지궤도복합위성사업단장은 “환경탑재체가 정지궤도위성에 탑재되는 것은 세계 최초”라며 “미국과 유럽이 곧 환경탑재체가 장착된 위성을 발사하게 되면 국제사회가 관련해 협력연구를 진행할 수 있을 것”이라고 말했다. 대전=고재원 동아사이언스 기자 jawon1212@donga.com}

독일의 천재 작곡가 루트비히 판 베토벤은 20대 후반부터 귀가 잘 들리지 않다가 44세에 청력을 거의 잃었다. 하지만 음악을 통해 계시를 얻은 듯 ‘엘리제를 위하여’와 ‘월광’ 등 수많은 명곡을 작곡했다. 무엇보다도 베토벤이 높게 평가받는 이유는 수많은 곡을 작곡했지만 표절이 없었다는 점이다. 베토벤과는 달리 음악계에서 표절 시비는 국내외를 가리지 않고 지금도 끊임없이 이어지고 있다. 이달 초에도 이탈리아 가수 세이엘이 세계적 인기를 얻고 있는 방탄소년단(BTS)의 음악을 베꼈다는 논란이 일었다. 지난해에는 가수 선미가 영국 가수 셰릴 콜의 노래를 표절했다는 의혹을 받기도 했다. 얼핏 들으면 같기도, 또는 다르게 들리는 이유가 전 세계 음악에서 공통적으로 나타나는 보편성에서 기인했다는 과학적 분석 결과가 나왔다. 새뮤얼 메어 미국 하버드대 음악연구소 책임연구원 연구팀은 사랑 노래에서 자장가에 이르기까지 전 세계의 다양한 음악에서 만국 공통으로 통하는 특성이 있다는 연구 결과를 국제학술지 ‘사이언스’ 21일자에 발표했다. 연구팀은 전 세계 315개 지역에서 유행하거나 입에서 입으로 내려온 다양한 장르의 음악을 수집했다. 각 지역 도서관 자료실을 찾고 인터넷과 릴식 테이프, 카세트테이프, CD 등에서 음악을 추출했다. 개인이 소장하고 있는 음악도 모았다. 연구팀이 모은 자료에는 서울 지역에서 사용되던 재수굿(집안에 재수가 형통하기를 바라는 굿) 소리도 포함됐다. 이렇게 모인 음악 데이터베이스를 ‘노래의 자연사’라고 이름 붙였다. 연구팀이 분석한 결과 전 세계 음악에선 특이하게도 공통적으로 ‘조성(調性)’이 나타났다. 조성은 으뜸음을 중심으로 질서와 통일을 가지는 음 체계다. 1810년 프랑스 작곡가 알렉상드르 쇼롱이 처음 조성이란 단어를 사용했으며 1722년 프랑스 작곡가 장필리프 라모가 논문에서 관련 개념을 설명하는 등 서양음악에서 유래한 것으로 알려져 왔다. 하지만 이번 연구 결과는 이와 달리 서양음악에서 조성이란 개념을 도입하기 이전에도 이미 다른 지역 음악에서도 같은 특성이 나타난다는 것이다. 전 세계 음악들은 멜로디와 하모니가 다양하게 전개되지만 결국 으뜸화음을 중심으로 진행됐다. 으뜸화음을 중심으로 음계 가운데 5도에 해당하는 음인 ‘딸림음’과 온음계의 네 번째 음인 ‘버금딸림음’ 등이 함께 사용된다. 이는 조성 현상의 전형적인 특징이라는 게 연구팀의 설명이다. 연구팀은 “글에 문법이 있듯이 음악에도 조성이라는 일종의 ‘음법’이 있는 것으로 보인다”고 밝혔다. 전 세계 음악은 사회적 상황과도 연관이 있는 것으로 나타났다. 서로 다른 공동체와 지역이지만 육아, 휴식, 춤, 사랑, 전쟁 등과 같은 행동을 주제로 음악이 존재했고, 비슷한 주제의 음악은 특징 또한 비슷한 것으로 나타났다. 가령 휴식과 관련된 음악의 경우 느린 템포라는 공통적 특징을 가진다. 연구팀은 “음악적 특징을 통해 음악의 사회적 기능을 엿볼 수 있다”며 “이런 특징은 전 세계의 음악에 통용된다”고 말했다. 메어 연구원은 “전 세계 음악의 기저에 깔려 있는 구조에 대한 궁금증을 일부 해결했다”며 “인간의 마음이 음악을 만드는 것인지, 어떤 마음이 음악을 만드는 것인지 더 밝혀야 한다”고 말했다.고재원 동아사이언스 기자 jawon1212@donga.com}

국내에서 흑사병과 아프리카돼지열병(ASF)에 대한 공포감이 커지고 있다. 흑사병 환자가 중국에서 잇따라 발생함에 따라 흑사병균이 국내로 유입되는 게 아닌지에 대한 걱정이다. 최근 일부 소셜네트워크서비스(SNS)에서 흑사병균이 공기로 전염돼 바람을 타고 감염될 수도 있다는 루머가 돌기도 했다. 여기에 ASF에 감염된 돼지고기를 먹으면 사람도 감염될 수 있다는 소문도 불안감을 증폭시키고 있다. 하지만 과학자들은 흑사병이나 ASF의 확산을 예의 주시해야 하지만 과도한 우려는 경계해야 한다고 지적한다. 먼저 흑사병균이 공기로 전염된다는 우려는 사실과 다르다는 게 과학자들의 설명이다. 미국 질병통제예방센터에 따르면 사람 간 호흡기를 통해 전염이 가능하려면 흑사병 환자가 기침을 할 때 1.8m 이내 거리에서 직접적이고 가까운 접촉이 발생해야 한다고 보고 있다. 결핵이나 홍역 바이러스처럼 공기 중에서 수십 m 퍼지는 ‘공기감염’이라고 보기 어렵다는 게 전문가들의 분석이다. 김우주 고려대 의대 감염내과 교수는 “흑사병이 공기로 전염됐다면 확진 환자가 3명이 아니라 수십 명 혹은 수백 명이 됐을 것”이라고 설명했다. 이 같은 설명에도 공포감이 확산된 이유는 중국 네이멍구에서 이달 12일 확진 환자 2명이 처음 발견된 뒤 17일에도 같은 지역에서 확진 환자 1명이 추가로 발견됐기 때문이다. 그러나 추가 확진 환자는 기존 확진 환자와 만난 적도 없는 것으로 확인됐다. 앞서 확진 판정을 받은 환자 2명은 폐렴형 흑사병, 추가 확진 환자는 림프샘 흑사병이란 점도 달랐다. 통상 흑사병이 사람에게 감염되는 주요 경로는 페스트균을 갖고 있는 쥐나 벼룩에게 물렸을 때다. 흑사병균에 걸린 쥐 등 설치류의 피를 빨아먹은 벼룩이 사람을 물거나 감염된 개, 고양이 등 소형 포유동물의 체액 및 혈액 접촉, 섭취를 통해 흑사병에 걸릴 수 있다. 이와 관련해 11월 14일 국제학술지 ‘신흥감염질환’에 발표된 미국질병통제예방센터(CDD) 연구 결과에 따르면 1970년부터 2017년까지 미국 내에서 흑사병에 걸린 환자 482명 중 258명이 동물과의 접촉으로, 104명은 쥐나 벼룩에게 물렸던 것으로 확인됐다. 연구진은 나머지 120명은 벼룩에게 물렸지만 증거가 확인되지 않았다고 밝혔다. 흑사병 예방 백신은 없지만 항생제는 있다. 흑사병이 국내에 상륙하더라도 약 100만 명분의 흑사병 항생제가 확보돼 있다. 김 교수는 “항생제를 24시간 혹은 48시간 이내에 쓴다면 흑사병 사망률은 현저히 낮아진다”고 설명했다. ASF에 대해서도 과도한 우려를 할 필요가 없다는 게 전문가들의 설명이다. 농림축산식품부 설명에 따르면 ASF는 동물이 사람에게 병을 옮기는 인수공통전염병이 아니기 때문에 사람은 감염되지 않는다. ASF에 걸린 돼지를 먹더라도 안전하다는 의미다. 인수공통전염병은 결핵, 조류인플루엔자, 변종 크로이츠펠트야코프병 등 10개다. ASF는 여기에 속하지 않는다. 국내에서 유통되는 돼지고기 중 ASF에 감염된 돼지는 없다. 감염된 돼지는 전량 살처분 및 매몰 처리한다. 또 섭씨 70도에서 30분 이상 열을 가하면 바이러스 또한 사멸한다.고재원 동아사이언스 기자 jawon1212@donga.com}

현대인에게 제시되는 권장 수면 시간은 하루 8시간이다. 수면이 부족할 경우 비만, 고혈압, 우울증, 기억력 감소 등 신체 및 정신 건강에 해를 끼친다는 연구는 이미 많이 나와 있다. 수면이 부족한 사람은 알츠하이머 치매에 취약하다는 결과도 최근 잇따르고 있다. 미국 수면재단과 영국 국가보건서비스(NHS), 미국 수면의학회도 건강한 삶을 위해 하루 8시간 정도 수면할 것을 권고하고 있다. 평소 수면 부족에 시달리는 직장인들은 짬짬이 잠을 청한다. 3, 4년 전만 해도 이런 직장인들 사이에서 점심시간에 잠깐의 수면을 취할 수 있는 수면카페가 유행하기도 했다. 하지만 최근 쪽잠으로 전체 수면 시간을 늘리기보다는 시간이 다소 짧더라도 깊은 잠을 자는 ‘서파수면(slow-wave sleep)’ 비율을 높이는 것이 도움이 된다는 연구 결과가 속속 나오고 있다. 과학적으로 서파(徐波)수면은 세 단계로 나눠지는 수면 단계 중 마지막 단계의 수면을 뜻한다. 이 상태에서 1Hz(헤르츠) 정도의 느린 뇌파인 델타파가 뇌 전반에 흐른다. 반면 첫 번째와 두 번째 단계의 수면에서는 각각 4∼8Hz의 세타파와 12∼14Hz의 뇌파가 흐른다. 과거엔 델타파가 나타나는 비율에 따라 서파수면도 4단계로 나눴지만 2008년 미국 수면의학회는 이를 하나로 통합했다. 서파수면에 진입하면 호흡과 심장박동, 산소 소모량, 혈압 등이 하루 중 가장 낮은 수치로 떨어진다. 외부 세계와 사실상 차단되는 셈이다. 건강한 사람이 첫 번째와 두 번째 단계를 거쳐 이런 서파수면에 도달하는 데는 50분 정도가 걸리는 게 보통이다. 로라 루이스 미국 보스턴대 교수 팀은 서파수면의 비율이 알츠하이머 치매를 유발하는 뇌 속 대사성 폐기물을 씻어내는 데 핵심적 역할을 한다는 연구 결과를 국제학술지 ‘사이언스’ 10월 31일자에 내놨다. 그간 수면이 부족하면 알츠하이머 치매에 걸릴 확률이 올라간다는 연구들은 많이 나왔지만 구체적으로 어떤 연관이 있는지는 명확히 밝혀지지 않았다. 루이스 교수 연구팀은 가속 신경이미징 기술을 이용해 잠을 자는 사람 11명을 대상으로 뇌의 생리 및 신경활동을 측정했다. 연구팀은 서파수면에 진입한 동안 뇌척수액에 파동을 유발해 몸에 해로운 대사성 폐기물을 씻어내는 현상을 발견했다. 루이스 교수는 “서파수면은 뇌가 신경 변성을 일으킬 수 있는 뇌 속 독성 폐기물 단백질을 ‘자기 헹굼’ 하는 시기”라고 말했다. 서파수면 비율을 높이면 알츠하이머 치매를 막는다는 연구 결과는 또 있다. 미국 워싱턴대 브렌던 루시 교수 연구팀은 올 1월 전체 수면 시간에서 서파수면의 비율이 작은 노인에게서 타우 단백질이 높은 수준으로 나타난다는 연구 결과를 국제 학술지 ‘사이언스 중개의학’에 발표했다. 타우 단백질은 알츠하이머 치매의 원인으로 지목된 물질 중 하나다. 연구팀은 1주일간 60세 이상 노인 119명을 대상으로 수면 상태를 관찰했다. 뇌파 측정 장치를 붙인 뒤 수면 시간을 기록했고, 양전자방출단층촬영(PET) 검사와 뇌척수액 분석을 통해 또 다른 치매 관련 단백질인 베타아밀로이드와 타우 단백질을 관찰했다. 연구팀은 서파수면 비율이 줄어든 노인에게서 타우 단백질의 양이 늘어난다는 사실을 발견했다. 메흐디 요르피 미국 하버드대 의대 교수 연구팀도 3월 서파수면의 비율이 줄어들 경우 알츠하이머 치매를 유발하는 뇌 속 베타아밀로이드가 30%가량 높아진다는 연구 결과를 국제학술지 ‘신경생리학저널’에 발표하기도 했다. 이 밖에 전체 수면에서 서파수면 시간 비중이 늘어나면 잠의 질이 높아지고 기억도 잘하게 된다는 연구 결과도 보고됐다. 반대로 서파수면의 비율이 부족할 경우 혈관에 지방이 들러붙어 동맥이 좁아지고 탄력성을 잃는 현상인 ‘죽상경화증’이 심화된다는 연구 결과도 있다. 루이스 교수는 “전체 수면 시간 중 서파수면의 비율이 알츠하이머 치매와 직접적인 연관이 있다”면서 “서파수면의 비율을 높이기 위해 규칙적인 생활 습관 및 수면 습관을 갖고 낮잠을 길게 자지 않는 것이 바람직하다”고 말했다. 감마하이드록시낙산(GHB)은 서파수면의 비율을 높이는 데 효과가 있는 것으로 확인됐다. 이와 관련해 미국 식품의약국(FDA)은 기면증 치료에 한해 GHB의 사용을 허용했다.고재원 동아사이언스 기자 jawon1212@donga.com}

충남 아산에 있는 반도체장비 제조업체 A사는 지난해 레이저 빔을 이용해 반도체 모듈에 칩을 부착하는 장비를 국산화하는 데 성공했다. 이 기술은 일본 기술보다 생산효율이 10배 정도 높다는 평가를 받고 있다. 이미 관련 특허 수십 건을 등록하기도 했다. 하지만 이 회사가 아직 풀어야 할 기술적 과제가 남아 있다. 레이저 빔을 균일하게 만들고 원가를 낮추는 일이다. A사는 고민 끝에 최근 KAIST에 도움을 요청했다. KAIST는 8월 초 일본 정부가 소재부품 수출 규제 발표가 있은 직후 국내 기업들이 봉착한 기술적 문제를 현장에서 듣고 풀어줄 기술자문단을 꾸렸다. 레이저 분야 권위자인 공홍진 KAIST 물리학과 교수가 나섰고 현재 레이저 빔 균일성 확보를 위한 프로젝트가 진행 중이다. 공 교수는 “6개월 정도면 기술적 문제를 포함한 원가 절감 방안이 나올 것”이라며 “기업도 의욕적으로 준비하고 있다”고 말했다. 일본 정부가 한국에 대한 경제보복 조치를 단행한 지 100일이 지났다. 한국 정부는 해외 의존도가 높은 반도체와 디스플레이, 자동차, 전기전자, 기계금속, 화학 등 6대 분야에서 100여 개 핵심 품목을 선정하고 1∼5년 내 국산화하겠다는 목표를 세웠다. 2022년까지 신규 소재·부품·장비 연구개발(R&D)에 총 5조 원 규모의 R&D 예산을 투자하겠다고도 했다. 이런 분위기에 학계도 발 빠르게 동참했다. 8월 5일 KAIST가 국내 기업의 소재·부품·장비 원천 기술 개발을 돕기 위해 전·현직 교수로 구성된 기술자문단을 꾸린 것을 시작으로 광주과학기술원(GIST), 대구경북과학기술원(DGIST), 울산과학기술원(UNIST)이 차례로 기술자문단을 운영한다고 발표했다. 포스텍 등 다른 대학도 각각 기술자문단을 꾸려 지역 기업 돕기에 나섰다. 기술자문을 희망하는 국내 기업이 전담접수처로 연락하면 관련 전문가들이 사전 심사를 거쳐 맞춤형 조언을 제공한다. 국내 기업들의 반응은 뜨거웠다. 4일 현재 KAIST 기술자문단에 총 159건의 요청이 들어왔다. 품목도 포토레지스트와 반도체 공정장비, 저열팽창 불소화 투명 폴리이미드 등 일본 수출 규제에 따라 타격이 예상되는 품목이 많았다. 충북 음성의 또 다른 반도체소재 개발 업체 B사도 교수들과 협업에 나섰다. B사는 일본 수출 규제 핵심 품목 중 하나인 포토레지스트 개발을 고민하고 있다. 포토레지스트는 반도체 공정에서 표면 패턴을 그리는 데 쓰이는 광반응물질이다. B사는 평생 포토레지스트 연구에 매진해온 김진백 KAIST 명예교수를 콕 집어 기술자문을 요청했다. 김 교수는 요청을 받고 업체를 직접 방문해 포토레지스트와 관련된 기술을 살펴보고 도움을 줬다. 김 교수는 “B사는 지금까지 포토레지스트를 개발하지 않았지만 일본 수출 규제로 개발에 관심을 갖게 돼 기술자문 요청을 해 왔다”며 “기술자문 결과를 토대로 현재 포토레지스트 개발을 검토 중”이라고 말했다. 최성율 KAIST 기술자문단장은 “소재나 반도체, 디스플레이, 장비 분야와 관련한 기술자문 요청이 특히 많이 들어왔다”며 “전문가가 조언을 해야 할 기술인지, 해당 기업이 기술자문을 통해 국산화를 이룰 만큼의 역량을 가졌는지를 사전 심사해 기술자문에 들어간다”고 말했다. KAIST는 159건의 기술자문 요청 가운데 24건에 대해 전문적 조언을 제공하고 있고 나머지 요청 건은 KAIST 산학협력단 기술사업화센터에서 맡거나 적절한 기술자문을 제공할 수 있는 다른 연구기관으로 연결해주고 있다. 기술자문 요청이 KAIST에만 집중되고 있는 점은 아쉬운 대목이다. 나머지 과기원이나 대학에 들어온 기술자문 요청은 아직 10건이 채 안 되고 아예 요청이 한 건도 없는 경우도 있다. 한 과기원 관계자는 “KAIST는 지명도도 있고 다른 과기원에 비해 학교 규모도 몇 배 크기 때문에 기술자문 요청이 몰리는 것 같다”고 말했다. 기업들도 걱정은 있다. 기술자문을 받으려면 영업 비밀 내지는 취약점을 밝혀야 하는데 이런 내용이 외부로 알려질까 두려운 것이다. 자칫 경쟁력을 강화하려다 기업 비밀 유출로 이어질 수 있다는 것이다. 실제 충북 청주의 한 소재 제조 회사인 C사 관계자는 “기술자문단으로 활동하는 교수 중 경쟁사의 연구과제를 수행하는 교수가 있다는 점도 기술자문을 꺼리게 하는 이유”라고 말했다. 이에 대해 최 단장은 “기업의 기술자문 요청 내용은 철저히 비공개로 한다”며 “국정감사에서 자료를 요구해도 익명 처리를 한다. 기업과 자문단이 서로 신뢰를 쌓는 게 중요하다”고 강조했다.고재원 동아사이언스 기자 jawon1212@donga.com}

30년간 미제사건으로 남아있던 화성 연쇄살인사건의 유력한 용의자가 밝혀졌다. 용의자 색출의 일등공신은 DNA였다. 화성 연쇄살인사건에서 채취한 DNA를 분석해 교도소에 수감돼 있던 용의자를 찾아냈다. DNA 분석은 범죄 수사에서만 사용되는 것은 아니다. 고고학 분야에서도 DNA 분석이 적극 활용되고 있다. ‘DNA 고고학’이란 학문이 따로 존재할 정도다. 유물을 통해 어렴풋이 추정해볼 수 있던 고대에 대한 우리의 지식을 조금 더 넓혀 주고 있다. 특히 고대에도 제도적으로 사회적 불평등이 존재했음이 최근 DNA 고고학 연구를 통해 밝혀져 눈길을 끌고 있다. 데이비드 라이크 미국 하버드대 의대 교수 연구팀은 DNA 분석을 통해 기원전 2750년에서 기원전 1300년 사이 독일 남부에 살던 고대 일가족 구성원 간에도 사회적 불평등이 존재했다는 연구 결과를 국제학술지 ‘사이언스’ 11일자에 공개했다. 이들 가족이 발견된 독일 남부 레히강 계곡 근처에서는 작은 농장들을 중심으로 농업이 이뤄졌다. 이들 농장 근처에서는 묘지 흔적도 발견됐다. 연구팀은 이 지역에 살던 정착민의 친족관계와 사회적 구성을 알아보기 위해 묘지에서 발견된 104명의 유골 DNA를 분석했다. 이들이 살던 정확한 시기를 알아내기 위해 동위원소 분석 데이터와 기존의 고고학 데이터도 함께 분석했다. 연구팀은 당시 가족 구조가 복잡했고 친족 관계를 바탕으로 하는 사회적 계급이 존재했음을 뒷받침하는 흔적을 발견했다. 분석에 따르면 당시 가족은 친족인 구성원과 혈연관계가 없는 구성원으로 이뤄졌다. 거의 모든 가족에서 여성은 남성과 유전적인 관련이 없는 것으로 나타났다. 이는 집단 밖에서 배우자를 구하는 족외혼이 성행했기 때문으로 추정된다. 연구팀은 “이는 당시 대다수 남성은 부족을 떠나지 않았거나 어떤 사회적 규약에 따라 죽음에 임박해 고향으로 돌아온 반면 여성들은 대부분 결혼을 위해 고향을 떠난 것으로 보인다”고 분석했다. 이런 가족 구성은 기원전 1100년경 고대 그리스나 로마에서 나타난 가족 형태와 유사하다. 고대 그리스와 로마에서는 친족 구성원들과 혈연관계가 없는 노예들이 가문을 형성했다. 연구팀 관계자는 “이번 연구 결과는 그보다 몇 백 년 앞서 가족 내에 불평등한 처우를 받던 구성원이 있다는 증거로 볼 수 있다는 점에서 눈길을 끈다”고 말했다. 연구팀은 같은 시기 묘지에서 발굴된 유물에 대한 조사도 함께 진행했다. 묘지에서 나온 유물은 부와 사회적 지위를 가늠하는 근거로 활용된다. 이 분석에서도 부모의 부와 사회적 지위가 사실상 세습되는 지금처럼 당시에도 불평등이 자식으로 이어진다는 결과가 나왔다. 부모의 묘지에서 많은 유물이 나온 경우 자식의 묘지에서도 유물이 많이 발견되는 경향이 나타났다. 고대에도 사회적 지위가 개인의 능력과 노력에 따라 얻어지는 것보다는 상속으로 이뤄졌다는 점을 시사한다. 라이크 교수는 “출토되는 유물만으로는 고대인의 문화와 제도를 알기에는 제한적”이라며 “DNA 분석은 이런 어려운 문제를 푸는 데 또 하나의 실마리를 제공하고 있다”고 말했다. 고재원 동아사이언스 기자 jawon1212@donga.com}

이른바 ‘살 빼는 주사’로 잘 알려진 삭센다(성분명 리라글루티드)가 비만치료제 시장에 돌풍을 일으키고 있다. 글로벌 제약사인 노보 노디스크가 2015년 미국에 처음 선보인 이 약은 직접 자신의 몸에 주사를 놓는 방식의 주사형 비만치료제다. 몸에 들어있는 혈당조절 호르몬(GLP-1)과 유사한 성분(리라글루티드)으로 만들었다. 지금까지 시판된 비만약은 지방 흡수를 막고 밖으로 배출하거나 식욕을 억제하는 방식으로 살을 빠지게 했다. 식욕억제제는 뇌에서 식욕을 조절하는 신경전달물질인 세로토닌과 노르아드레날린의 재흡수를 방해하는 방식으로 식욕을 떨어뜨려 단기간 효과를 낸다. 하지만 향정신성의약품 성분이 들어 있어 중독 우려가 있다. 독일 크놀사가 개발해 잠시 국내에서도 인기를 끈 리덕틸(성분명 시부트라민)은 심혈관질환 위험이 크다는 사실이 밝혀져 2010년 퇴출됐다. 제니칼(성분명 올리스타트)처럼 지방 소화효소(라이페이스)를 억제해 섭취한 지방의 70%가량을 배출시키는 약은 신경계를 자극하지 않아 부작용이 적다는 평가를 받는다. 그러나 이 역시 변실금(자신도 모르게 변을 지리는 증상) 같은 부작용이 나타났고 지방만을 표적으로 하고 있어 저지방 고탄수화물 음식을 즐기는 사람에겐 효과가 없다. 하지만 최근에는 삭센다에 이어 새로운 비만치료제들이 개발되고 있다. 한미약품이 개발한 HM12525A는 식욕을 조절하는 호르몬인 글루카곤과 GLP-1이 이중으로 작용해 혈당을 조절하고 체중을 줄인다. 미국에서 임상 2상을 마쳤고 현재 3상을 준비하고 있다. 이 약은 주 1회만 투여해도 된다. 한미약품 관계자는 “약물이 혈중에서 분해하면 치료효과가 빨리 떨어지므로 반감기를 늘리는 랩스커버리 기술을 개발해 신약 개발에 활용하고 있다”고 했다. 부작용을 최소화하고 체중 감량 효과를 극대화할 새 공격 목표를 찾는 연구도 활발하다. 그 중 하나가 ‘띠뇌실막세포’ 속 단백질인 ‘TSPO’이다. 띠뇌실막세포는 뇌 내부의 뇌실과 시상하부를 연결하는 부위의 세포다. 음식에 들어있는 영양소를 감지해 식욕을 조절한다고 알려져 있다. 하지만 세포 내 어떤 단백질의 작용으로 식욕이 조절되는지는 밝혀지지 않았다. 김은경 대구경북과학기술원(DGIST) 교수 연구팀은 띠뇌실막세포에 식욕을 조절하는 핵심 단백질이 있을 것으로 생각하고 관련 단백질을 관찰했다. 그 결과 띠뇌실막세포 내 미토콘드리아 단백질인 ‘TSPO’가 몸 속 영양이 넘치는 상태에 반응해 지질 및 에너지 대사, 식욕을 조절하는 것으로 나타났다. 연구결과는 국제학술지 ‘오토파지’ 8월 30일자에 발표했다. 김 교수는 “TSPO를 조절할 약물도 개발되어 있다”며 “약물을 정확히 띠뇌실막세포에 배달할 수 있는 방법만 개발된다면 차세대 ‘기적의 비만약’이 될 수 있다”고 말했다. 신경계를 자극하는 비만 치료제와 달리 심장 발작 등 심혈관계 부작용이 적을 것으로 기대되고 있다. 비만을 유발하는 인간 유전자나 지방 세포를 조절하는 방안도 찾고 있다. 김율리 인제대 서울백병원 정신건강의학과 교수 등 전 세계 100여 개 기관 연구자들은 고혈압과 비만을 유발하는 돌연변이 유전자 8가지를 발견했다는 연구결과를 7월 ‘네이처 제네틱스’ 발표했다. 연구팀은 미국과 유럽, 호주 등 17개국의 거식증 환자 1만6992명과 건강한 여성 5만5525명의 유전자를 분석했다. 그 결과 이들 돌연변이 유전자 중 지질 대사 이상 등 비만을 유발하는 것들이 있었다. 이 유전자들이 과다 발현하면 비만과 고혈압 등 대사증후군이 발생하고 지나치게 적게 발현하면 거식증이 발생했다. 연구팀은 돌연변이 유전자에 대한 추가 연구를 통해 대사증후군과 거식증 치료의 실마리를 찾을 수 있을 것으로 보고 있다. 권혁무 울산과학기술원(UNIST) 교수팀은 ‘톤이비피’라는 단백질이 백색 지방 세포의 에너지 소비와 지방 분해를 억제해 비만을 유발한다는 사실을 발견했다. 체질량지수(BMI)가 높은 사람일수록 지방세포 내 톤이비피 단백질이 많다. 연구팀이 쥐를 대상으로 한 실험 결과 톤이비피 단백질을 줄인 실험쥐는 에너지 소비가 활성화돼 지방세포 크기가 감소해 지방간과 인슐린 저항성 등 대사질환이 개선됐다. 연구팀은 톤이비피 단백질이 비만을 막고 대사질환을 치료할 수 있는 새 길이 열릴 것으로 보고 있다.:: 띠뇌살막세포 ::뇌 내부의 뇌실과 시상하부를 연결하는 부위의 세포. 음식에 들어있는 영양소를 감지해 식욕을 조절하는 것으로 알려짐.이정아 zzunga@donga.com·고재원 동아사이언스 기자}