![[여기, 이슈!]최상의 경기 위해 선수 건강을 감독하는 ‘팀닥터’](https://dimg.donga.com/a/296/167/95/2/wps/NEWS/IMAGE/2022/06/21/114017922.5.jpg)
[여기, 이슈!]최상의 경기 위해 선수 건강을 감독하는 ‘팀닥터’
2022년 카타르 월드컵을 앞두고 축구 열기가 뜨겁다. 축구는 에너지 소비도 많고 격렬한 몸싸움에 부상도 잦은 운동이다. 경기 중에는 물론이고 선수들이 최상의 컨디션으로 경기를 치르기 위해서는 평소 건강관리도 중요하다. 우리나라 축구 국가대표팀 주치의 장기모 고려대 안암병원 정형외과 …
- 2022-06-22
- 좋아요 개
- 코멘트 개
![[여기, 이슈!]최상의 경기 위해 선수 건강을 감독하는 ‘팀닥터’](https://dimg.donga.com/a/296/167/95/2/wps/NEWS/IMAGE/2022/06/21/114017922.5.jpg)
2022년 카타르 월드컵을 앞두고 축구 열기가 뜨겁다. 축구는 에너지 소비도 많고 격렬한 몸싸움에 부상도 잦은 운동이다. 경기 중에는 물론이고 선수들이 최상의 컨디션으로 경기를 치르기 위해서는 평소 건강관리도 중요하다. 우리나라 축구 국가대표팀 주치의 장기모 고려대 안암병원 정형외과 …

통계청 조사에 따르면 2020년 기준 국내의 65세 이상 노인이 전체 인구에서 차지하는 비중은 16.4%로 이전 인구주택총조사 시점인 2015년 13.2%에 비해 3.2%포인트 증가한 것으로 보고됐다. 유엔의 정의에 따라 65세 인구의 비율이 7% 이상인 경우를 고령화사회, 14% 이…
![[헬스캡슐]브라질 의료진에 K뷰티 우수성 알린다 外](https://dimg.donga.com/a/296/167/95/2/wps/NEWS/IMAGE/2022/06/21/114015097.7.jpg)
■ 브라질 의료진에 K뷰티 우수성 알린다 글로벌 의료 미용시장이 다시 열리고 있다. 브라질 피부과 전문의 외 200명 이상 내방하는 K-Club이 25일까지 1, 2차에 나눠 열린다. 안티에이징 솔루션을 제공하는 힐룩스(대표 김도연)의 아이쓰레드(iThread) 리프팅실에 대해 메이린…
![[의료계 소식]서울대병원 권준수 교수팀, 강박증 신경기전 밝혔다](https://dimg.donga.com/a/296/167/95/2/wps/NEWS/IMAGE/2022/06/21/114014044.7.jpg)
강박증의 원인 규명에 한걸음 다가선 연구결과가 발표됐다. 국내 연구진이 강박증의 핵심 뇌 신경회로로 알려진 ‘대뇌피질-선조체 회로’ 구조의 손상을 최초로 밝혀낸 것. 서울대병원 정신건강의학과 권준수 교수팀은 강박증 환자의 최신 뇌 영상을 활용해 대뇌피질과 선조체를 연결하는 백질의 변…

2020년 한 해에만 약 67만 명이 난청 때문에 병원을 찾았다. 그해 난청 진료환자는 5년 전과 비교하면 약 38% 늘었다. 어느새 난청은 특수한 질환이 아닌, 우리 틈에 스며들어 무서운 속도로 증가하는 질환이 되고 있다. 난청을 제대로 치료하고 관리하지 않으면 더 큰 문제가 생길 …

종근당건강의 대표 제품인 ‘프로메가 알티지 오메가3 듀얼’은 누구나 쉽고 간편하게 혈행건강을 챙길 수 있는 오메가3 건강기능식품이다. 체내 흡수율을 강화한 동시에 어취는 최소화한 프리미엄 오메가3 제품이다. 프로메가 알티지 오메가3 듀얼의 알티지(rTG)형 오메가3는 불순물과 포…
![[전문가 칼럼]정신건강 문제도 디지털로 극복… 데이터 전문가 양산해야](https://dimg.donga.com/a/296/167/95/4/wps/NEWS/IMAGE/2022/06/21/113999133.8.jpg)
신종 코로나바이러스 감염증을 거치면서 인류는 우울증, 불안, 스트레스 등 다양한 정신건강 문제에 주목하기 시작했다. 2021년 미국의 투자은행 JP모건은 “다음 팬데믹은 정신건강 문제로 나타날 것이며 이는 디지털로 극복해야 한다”고 예측했다. 디지털이 어떻게 정신건강 문제를 해결한다는…
![[명의가 추천한 명의]“갑상샘암 수술 후 호르몬약 장기 복용해도 안전”](https://dimg.donga.com/a/296/167/95/2/wps/NEWS/IMAGE/2022/06/21/114000528.7.jpg)
평소 꾸준하게 약을 잘 복용하는 게 중요하다. 그리고 암 치료 중 '이걸 할까 말까' 고민할 때는 환자에게 '그냥 하라'고 말한다. 제 신념이기도 하다. 안 하고 나중에 후회하는 것보단 하고 나서 후회하는 것이 후회의 강도가 덜하기 때문이다.
![턱에서 소리나고 씹을 때 통증… 나쁜 습관 때문일수도[홍은심 기자의 긴가민가 질환시그널]](https://dimg.donga.com/a/296/167/95/2/wps/NEWS/IMAGE/2022/06/21/114017008.5.jpg)
턱에서 ‘따각’ ‘지익지익’ 같은 소리가 자주 난다면 턱관절 질환의 초기 증상이 아닌지 의심해야 한다. 턱관절은 입과 함께 움직이는 부분으로 머리뼈와 턱뼈를 연결해준다. 상·하·좌·우 어떤 방향으로든 자유롭게 움직일 수 있고 매일 수차례 움직여야 하다 보니 손상되기도 쉽다. 턱관…

더워진 날씨에 옷장에서 여름 셔츠를 꺼내는 허모 부장(51). 옷을 입는데 갑갑한 느낌이 든다. 바로 허리 부분의 단추가 타이트하게 잠기는 것. 거울에는 영락없는 D라인의 중년 직장인 모습이 보인다. 지금까지 비만으로 걱정한 적이 없었는데 갑작스러운 변화가 허 부장에게 적잖은 충격이다…

남성의 생식기관인 전립샘은 정액의 30%를 생산하는 중요한 기관이다. 방광 바로 밑에 위치해 있으며 요도를 감싸고 있다. 전립샘은 남성에게만 존재하는 기관으로 대표적인 질환으로는 전립샘비대증, 전립샘염, 전립샘암이 있다. 서구화된 생활습관, 노령인구의 증가로 인해 전립샘질환 환자는 매…

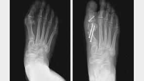
여름철이면 적지 않은 족부질환 환자들이 병원을 찾는다. 건강보험심사평가원에 따르면 2018년부터 3년 간 무지외반증, 족저근막염 등 족부질환으로 병원을 찾은 환자는 6∼8월에 47만1145명으로 가장 많았다. 대표적인 족부질환인 무지외반증과 족저근막염의 치료법에 대해 박유정 목동힘찬병…

미국 국무부는 러시아의 침공에 맞서고 있는 우크라이나를 지원하기 위해 참전한 자국민의 2번째 사망자가 확인됐다고 21일(현지시간) 밝혔다. CBS 뉴스, CNN 등에 따르면 미국 국무부는 이날 “우크라이나에서 미국 시민인 스티븐 자비엘스키(52)의 사망을 확인할 수 있었다”고 밝혔…

대만이 방공식별구역에 출현한 중국 항공기 29대에 경고하기 위해 제트기를 긴급 출격 시킨 것으로 나타났다. 이는 지난 5월 중국 항공기 30대가 출현한 이후 최대 규모다. 21일 로이터 통신에 따르면 대만은 지난 2년간 대만이 민주적으로 통치하고 있는 섬 부근과 프라타스 군도의 방공…

2급 법정 감염병인 원숭이두창 감염 의심자가 국내에 유입돼 방역당국이 격리 검사에 들어갔다. 22일 질병관리청은 전날 원숭이두창 의심환자가 2명 신고돼 진단 검사를 진행 중이라고 밝혔다. 검사 결과는 22일 오전 중 나올 전망이다. 질병청 등에 따르면 A 씨는 인천국제공항으로 입국하…
원숭이두창(Monkeypox) 감염 의심자가 국내에 유입돼 현재 인천의료원으로 이송된 것으로 나타났다. 이는 국내에서는 첫 발병 의심 사례다. 인천의료원 등에 따르면 21일 희귀 감염질환인 원숭이두창 감염 의심을 받는 익명의 A씨가 오후 9시40분쯤 인천의료원에 이송돼 격리 병상에 …
![[사설]누리호 발사 성공… 한국 우주개척사에 남을 15분 45초](https://dimg.donga.com/a/296/167/95/2/wps/NEWS/IMAGE/2022/06/22/114043062.3.jpg)
한국형 발사체 누리호가 어제 오후 4시 전남 고흥 나로우주센터에서 발사돼 예정한 700km 고도에 도달했다. 누리호에 실려 있던 인공위성들도 발사 15분 45초 만에 목표 궤도에서 성공적으로 분리돼 지상 관제센터에 정상 신호를 보내기 시작했다. 한국이 우주강국으로 발돋움하는 길이 활짝…
![[사설]“행안장관, 警청장 지휘” 중립성 훼손에 위법 소지마저](https://dimg.donga.com/a/296/167/95/2/wps/NEWS/IMAGE/2022/06/22/114045620.1.jpg)
행정안전부 경찰제도개선자문위원회는 21일 경찰 관련 제도 및 인사 조직인 이른바 ‘경찰국’을 행안부에 신설할 것을 권고했다. 행안부 장관의 경찰청장에 대한 지휘 규칙을 제정하고, 경찰청장의 징계를 요구할 수 있는 권한을 장관에게 줄 것도 제안했다. 경찰청장과 국가수사본부장의 후보추천위…
![[사설]‘서해 피살’ 자료 공개 놓고도 당리당략만 따지는 與野](https://dimg.donga.com/a/296/167/95/2/wps/NEWS/IMAGE/2022/06/22/114045977.1.jpg)
우리 공무원의 피격 사망 사건을 둘러싸고 여야가 연일 서로를 향해 ‘월북(越北)몰이’와 ‘신(新)북풍’이라며 날선 공방을 벌이고 있다. 국민의힘은 어제도 진상규명태스크포스(TF) 첫 회의를 열고 문재인 정부 시절의 청와대 보고 및 대응지시 자료 공개를 압박했다. 반면 더불어민주당은 당…