공유하기
공유하기
기사 3,393
구독


![[DBR]의료기기 스타트업, 보험 적용 - 의사 선택 관문까지 뚫어야 성공](https://dimg.donga.com/a/296/167/95/2/wps/NEWS/IMAGE/2020/10/06/103274769.1.jpg)
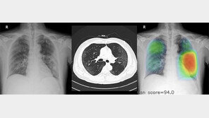
디지털 헬스케어 분야의 스타트업들에 자문 활동을 하면서 자주 듣는 이야기가 있다. 관련 법률 때문에, 혹은 미국 식품의약국(FDA)이나 한국 식품의약품안전처의 빡빡한 규제 때문에 사업을 하기가 어렵다는 것이다. 이는 반만 맞고 반은 틀리다. 사실 정부 규제는 헬스케어 스타트업이 겪…

현대중공업그룹과 LG전자, KT, LG유플러스 등은 함께 꾸린 인공지능(AI) 산업 협의체 ‘AI원팀’의 진행 상황을 중간 점검하는 행사를 개최했다고 27일 밝혔다. 25일 서울 강남구 안다즈 서울강남 호텔에서 열린 AI원팀 서밋에는 정기선 현대중공업그룹 부사장, 권봉석 LG전자 …
2020 동아 재테크·핀테크쇼는 신종 코로나바이러스 감염증(코로나19) 확산을 막기 위해 현장 행사 대신 온라인으로 콘텐츠를 제공한다. 한 달간 행사 홈페이지(www.dongafintech.com)를 통해 국내 최고 전문가들이 선보이는 재테크 강연과 금융사들의 언택트(비대면) 금융, …

“쏠리, 대출상담 받고 싶어.” 전화를 걸어 원하는 금융서비스를 얘기하자 인공지능(AI) 로봇이 곧장 반응한다. 음성을 인식하고 간단한 것은 바로 답을 해준다. 필요하면 대출 상담사까지 연결해준다. 신한금융이 24일 개막한 동아일보·채널A 주최 ‘2020 동아 재테크·핀테크쇼’의 온라…

2020 동아 재테크·핀테크쇼에 참가한 국내 대표 금융회사들은 장래 빅테크(대형 기술기업)로 성장할 수 있는 유망 핀테크(금융+IT) 스타트업들을 육성하고 있다. 핀테크랩을 설립해 자체 핀테크 경쟁력을 강화하는 한편 외부 스타트업에 대한 투자와 협업을 통해 혁신적인 ‘언택트 금융’ 서…
롯데하이마트가 모바일 앱을 이용해 가전제품을 가상으로 미리 배치해보고 구매할 수 있는 ‘증강현실(AR) 가상 배치 체험 서비스’를 도입한다. 롯데하이마트는 모바일 앱에 AR 체험 서비스 메뉴를 별도로 마련했다고 24일 밝혔다. AR 체험 서비스가 적용되는 제품은 TV, 냉장고 등 …

“로봇은 사람의 일자리를 빼앗기보다 발전시키고 변화시킬 것이라 봅니다.” 한재권 한양대 로봇공학과 교수는 로봇의 발전이 인간의 삶을 진보시킬 것이라고 강조했다. 한 교수는 “로봇이 아무리 발달해도 비이성적, 창조적, 감정적, 모험적인 영역은 인간이 가장 잘한다”며 “로봇이 인간의 일자…

코로나19가 장기화되면서 국제 전문가들이 모여 현안을 다루고 새로운 트렌드를 공유하는 각종 국제 콘퍼런스에도 비상이 걸렸다. 이런 가운데 14일부터 3일 동안 역대 최다 참가자 규모를 기록하며 성공적으로 열린 ‘제5회 국제예술교육가 실천대회(International Teaching A…

배달 애플리케이션(앱)으로 음식을 주문하자 로봇이 식당에서 조리한 음식을 싣고 아파트 단지를 누비기 시작한다. 배달 로봇은 탑재된 통신 단말을 통해 공용 현관문을 열고 이내 엘리베이터까지 불러 세운다. 주문자의 현관 앞에 도착한 배달 로봇이 고객의 앱에 알림을 보낸다. ‘음식이 도착했…
![[단독]SK “미래 경쟁력 강화”… 美에 AI전문기업 세웠다](https://dimg.donga.com/a/296/167/95/2/wps/NEWS/IMAGE/2020/09/21/103040770.1.jpg)
SK그룹이 최근 미국에 인공지능(AI) 연구개발(R&D) 전문기업을 설립했다. SK는 수백 명의 AI 인재를 모아 우선 반도체 생산 공정 효율화에 기여하게 할 방침이다. 21일 재계에 따르면 SK는 지난달 미국 캘리포니아주 실리콘밸리에 ‘가우스랩스’라는 이름으로 AI R&a…

KT는 국제전기통신연합(ITU)과 유네스코가 주도하는 ‘브로드밴드위원회’의 18일 정기회의에 참여해 정보통신기술(ICT) 기반 글로벌 감염병 공동 대응 체계 구축을 제안했다고 20일 밝혔다. 올해 5월 브로드밴드위원회의 신임 위원으로 선임된 KT 구현모 대표(사진)는 ITU, 유네…

(사)한국언론인협회(회장 성대석)와 국회 4차산업혁명포럼(공동대표의원 (더)이상민, (국)서병수)이 공동 주최하는 ‘4차 산업혁명 Power Korea 대전’이 올해로 5회째를 맞았다. 한국지속경영평가원이 주관하고 과학기술정보통신부, 국방부, 행정안전부, 문화체육관광부, 농림축산식품부…
■ 현대엔지니어링, 印尼서 1억7000만달러 규모 수주 현대엔지니어링은 인도네시아에서 건설 중인 발릭파판 정유공장에서 ‘수소첨가분해시설 증설 프로젝트’를 수주했다고 13일 밝혔다. 이는 총 1억7000만 달러 규모의 프로젝트로 현대엔지니어링의 지분은 1억 달러다. 지난해 9월 4…

올해 초 구글의 헬스케어 연구 조직인 구글헬스는 자체 개발한 유방암 진단 인공지능(AI)의 진단 정확도가 방사선 전문의를 앞섰다는 연구 결과를 국제학술지 ‘네이처’에 공개했다. 바둑 AI 알파고를 개발한 딥마인드가 참여한 연구다. 미국 여성 3097명과 영국 여성 2만5856명의 유방…

LG화학의 리튬황 배터리를 탑재한 무인기가 성층권 비행에 성공했다. 차세대 배터리로 불리는 리튬황 배터리는 정의선 현대자동차그룹 수석부회장이 6월 구광모 ㈜LG 대표와 만났을 때, LG 측이 자랑스럽게 선보인 배터리 가운데 하나다. LG화학은 지난달 30일 한국항공우주연구원 고흥 …