
킨타나 유엔 北인권보고관 7일 방한…정부인사 등 면담
토마스 오헤아 킨타나 유엔 북한인권 특별보고관이 오는 7일 방한한다. 외교부 당국자는 4일 “킨타나 보고관이 오는 3월 유엔인권이사회 보고서 작성에 필요한 자료 수집을 위해 방한한다”고 밝혔다. 지난 2016년 8월 임무를 개시한 킨타나 특별보고관의 한국 방문은 이번이 5번째다.…
- 2019-01-04
- 좋아요 개
- 코멘트 개

토마스 오헤아 킨타나 유엔 북한인권 특별보고관이 오는 7일 방한한다. 외교부 당국자는 4일 “킨타나 보고관이 오는 3월 유엔인권이사회 보고서 작성에 필요한 자료 수집을 위해 방한한다”고 밝혔다. 지난 2016년 8월 임무를 개시한 킨타나 특별보고관의 한국 방문은 이번이 5번째다.…

조성길 주이탈리아 북한대사관 대사대리가 망명을 시도한 것으로 확인된 가운데 ‘숙청’ 등 북한 고위 외교관의 이상 동향과 관련한 전언도 4일 이어지고 있다. 미국의 북한 전문 매체 NK뉴스는 조 대사대리 관련 보도를 전하며 지난 6월 이후 공개 석상에 나서지 않고 있는 한성렬 외무성 …

구제역과 조류인플루엔자의 발생으로 가축 살처분에 동원된 공무원과 수의사 76%가 트라우마를 겪었고 4명 중 1명은 중증우울증이 우려된다는 조사 결과가 나왔다. 국가인권위원회(인권위)는 ‘가축매몰(살처분) 참여자 트라우마 현황 실태조사’에서 가축 살처분 참여자의 정신적 충격이 심각한 …

전방에 정지선과 횡단보도가 설치돼 있지 않은 교차로에 진입할 때도 신호등에 노란불이 켜지면 교차로 직전에 정지해야 신호위반이 아니라는 취지의 대법원 판단이 나왔다. 대법원 3부(주심 민유숙 대법관)는 교통사고처리특례법상 치상, 도로교통법 위반 혐의로 기소된 표모씨(38)에게 무죄를 …

GC녹십자는 최근 서울 강남구 르 메르디앙 호텔에서 예비 엄마 100명을 초청해 ‘제19회 노발락 토크콘서트’를 개최했다고 4일 밝혔다. 노발락은 GC녹십자가 국내에 독점 공급하고 있는 프랑스 직수입 분유다. 1부 행사는 태교전문가 박해련 도담도담맘클래스 대표가 초빙돼 ‘저도 엄마가…

북한이 조성길 이탈리아 주재 대사대리의 망명 타진 사실이 외부에 노출된 데 대해 어떤 대응에 나설지 주목된다. 국가정보원은 지난 3일 조 대사대리가 지난해 11월 임기 만료를 앞두고 현지에서 부인과 함께 잠적했으며, 현재 망명을 타진하고 있다고 확인했다. 이와 관련해 북한은 …

도널드 트럼프 미 대통령이 새해 첫 각료회의에서 90분 이상 많은 것을 언급했지만 잘못된 사실에 근거한 내용이 매우 많았다고 미 뉴욕타임스(NYT)와 CNN 방송이 3일(현지시간) 분석했다. NYT는 “제멋대로이고 대부분 사실과 다른 트럼프의 각료회의”라는 제목의 기사에서 트럼프대…

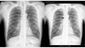
서울대병원은 독자 개발한 인공지능 기술을 1월부터 환자 영상 판독에 활용한다고 4일 밝혔다. 인공지능이 흉부엑스선 검사 영상을 보고 폐암 혹은 폐 전이암으로 의심되는 점을 알려줘, 자칫 놓칠 수 있는 폐암을 조기 진단할 수 있다. 인공지능 기반 영상판독 보조시스템 ‘루닛 인사이트…

박희연 PD가 나영석 PD로부터 조언을 받은 점에 대해 이야기했다. 박희연 PD는 4일 오전 11시 서울 강남구 논현동 임피리얼팰리스에서 열린 tvN ‘커피프렌즈’ 제작발표회에서 “나영석 PD가 크리에이티브 디렉터로 참여한다”며 “기획단계부터 촬영, 편집 등에도 아낌없이 조언해주셨…

검찰이 김태우 수사관(전 특별감찰반 파견)을 4일 다시 소환했다. 김 수사관은 전날 약 9시간 동안 참고인 조사를 받았다. 이날 김 수사관 변호인 이동찬 변호사에 따르면 김 수사관은 이날 오전 서울동부지검에서 두번째 참고인 조사를 받고 있다. 그는 오전 10시께 검찰청사에 도착했다…
대구 남부경찰서는 4일 여자친구를 둔기로 때려 숨지게 한 혐의(살인)를 받는 A씨(31)에 대해 기소의견으로 검찰에 송치했다. 경찰에 따르면 A씨는 지난달 26일 대구 남구 대명동의 한 다가구주택에서 둔기로 여자친구 B씨(27)의 머리 등을 때려 숨지게 한 혐의다. 국립과학수사연구…

아내가 될 여자친구를 혼냈다고 따지러 온 아들을 흉기로 찌른 60대 아버지가 경찰에 붙잡혔다. 인천 강화경찰서는 살인미수 혐의로 A씨(62)를 불구속 입건했다고 4일 밝혔다. A씨는 전날인 3일 오후 9시35분께 인천시 강화군 자택에서 아들 B씨(33)의 등과 가슴 등을 흉기로 찔…

사법행정권 남용 의혹을 받고 있는 양승태 전 대법원장이 11일 피의자 신분으로 검찰에 출석한다. 전직 대법원장이 피의자로 검찰 조사를 받게된 건 이번이 처음이다. 서울중앙지검 수사팀(한동훈 3차장검사)은 오는 11일 오전 9시30분 양 전 대법원장을 직권남용권리행사방해 등 혐의를 …
전 청와대 특별감찰반원 김태우 검찰 수사관이 직속 상관이었던 박형철 청와대 반부패비서관을 맞고발 할 것이라고 밝히며 전선이 더욱 격화되는 모양새다. 고발 사건을 두 갈래로 나눠 수사에 착수한 검찰은 김 수사관을 참고인으로 조사하고 한편에선 김 수사관의 사무실을 압수수색하는 등 수사에 …

증권업계는 2000선이 붕괴된 코스피가 추가로 조정 받을 수 있다고 우려했다. 중국경기 둔화와 국내 기업 실적 하향세가 이를 뒷받침한다. 4일 코스피지수는 장중 한때 1984.53까지 하락해 지난해 10월30일 기록한 전저점(1985.95) 아래로 내려갔다. 지난 3일에는 전 …

코스피지수가 대내외 악재로 연초 들어 2000선 아래로 떨어졌다. 전문가들은 약세장에서 운용 비율을 줄이는 등 보수적인 투자 전략을 가져가야 한다고 조언했다. 당분간 미중 무역분쟁, 글로벌 경기둔화 우려, 기업 실적 전망 하회, 미국 금리인상에 대한 우려 등이 복합적으로 작용해 투…

2018년의 마지막 날 중국에서 10대 소년이 자신의 부모를 살해하는 사건이 발생했다. 하지만 이 소년은 만 14세가 되지 않아 형사처벌을 받지 않을 것으로 보인다. 4일 중국의 다수 매체에 따르면 공안 당국은 지난 2일 원난성 다리시에서 부모 살해 용의자로 수배중인 루어 펑(13…

음주운전을 해 수원 삼성에서 퇴출된 김은선(30)은 주장 완장을 차고 주축 미드필더로 뛰었던 축구선수다. 신장 182cm, 몸무게 78kg인 김은선은 2011년 광주FC에 입단하며 프로생활을 시작했다. 2014년 수원에 입단해 주축 미드필더로 활약한 김은선은 안산 무궁화에서 병역 …

적자국채 발행 폭로 파문과 관련해 신재민 전 기획재정부 사무관 부모님의 사과문이 발표된 가운데 기재부가 신씨에 대한 고발을 취하할지 관심이 쏠리고 있다. 구윤철 기재부 2차관이 전날(3일) 병원에 입원 중인 신 전 사무관을 찾아가면서 온정적인 분위기가 감지되고 있기 때문이다. 하지만…

미국 민주당의 하원 집권 첫날 곳곳에서 도널드 트럼프 대통령에 대한 탄핵 촉구 움직임이 눈길을 끌었다. 하지만 의장이 된 낸시 펠로시는 신중한 입장을 보였다. 첫 무슬림 여성 연방 하원의원으로 주목받은 라시다 틀레입은 3일(현지시간) 디트로이트 프리프레스에 실은 탄핵론자 존 보니파…