美 최신예 핵잠수함 하와이호 부산 입항
미국 버지니아급 공격형 잠수함 하와이호(7천800t)가 20일 오후 해군작전사령부 부산기지에 입항했다. 하와이 진주만을 모항으로 하는 하와이호는 120여 명의 승조원을 태우고 부산을 찾았다. 길이 115m 폭 10.3m 높이 9.3m 규모의 하와이호는 토마호크 미사일 12기(…
- 2012-07-20
- 좋아요 개
- 코멘트 개
미국 버지니아급 공격형 잠수함 하와이호(7천800t)가 20일 오후 해군작전사령부 부산기지에 입항했다. 하와이 진주만을 모항으로 하는 하와이호는 120여 명의 승조원을 태우고 부산을 찾았다. 길이 115m 폭 10.3m 높이 9.3m 규모의 하와이호는 토마호크 미사일 12기(…

‘무한뉴스 컴백’24주 만에 정상 방송을 재개하는 ‘무한도전’이 첫 시작으로 ‘무한뉴스’를 선택했다.지난 18일 파업중단 소식에 무한도전 멤버들은 각자의 스케줄을 마친 후 서울 압구정동에 위치한 연습실에 모여 6개월 만에 팬들에게 인사를 전했다.이번 녹화에서 ‘무한도전’ 멤버들은 기다…

5인조 걸 그룹 치치(chi-chi)의 멤버 샤인도 ‘무한도전’ 팬임을 자처하고 나섰다. 샤인은 자신의 트위터를 통해 “오랜만에 무한도전이 다시 시작할 수 있게 되어서 정말 기뻐요. 기념으로 무한도전 멤버들을 그려보았는데 어때요? 많이 닮았나요?” 라는 글과 함께 손수 그린 무한도전 …

‘신사의 품격 김하늘, 여성스러운 쇄골 매력 발산’김하늘이 눈부신 ‘파티룩’을 선보이며 ‘파티퀸’으로 등극한다. 김하늘은 오는 21일 방송될 ‘신사의 품격’ 17회에서 블링블링한 황금빛 미니드레스를 갖춰 입고 기품 있는 자태를 드러낼 예정이다. 20일 공개된 스틸 사진에는 뽀얗고 가녀…

‘일본뇌염 경보’일본뇌염을 옮기는 작은빨간집모기의 개체 수가 늘어남에 따라 보건 당국이 전국에 일본뇌염 경보를 발령했다.질병관리본부는 “지난 16일부터 18일 새벽 사이에 부산지역에서 채집한 모기 가운데 작은빨간집모기 비중이 57%에 달해 일본뇌염 경보를 발령했다”고 지난 19일 밝혔…

서태지, 저작권료 패소에 공식입장 “권리 찾기위해 항소심 준비”가수 서태지가 저작권료 반환청구 및 손해배상 청구소송 파기 환송에 대한 공식입장을 밝혔다.앞서 서태지는 음악저작권협회를 상대로 자신이 협회를 탈퇴한 후에도 자신의 음악을 사용했다는 이유로 손해배상 소송을 제기했지만 지난 1…

배우 김소연의 ‘영화적 순간’이 공개됐다.패션 매거진 ‘얼루어코리아’ 9주년 특별호에서 김소연은 아련한 추억에 잠긴 매력적인 강도 ‘보니’로 깜짝 변신 했다. 이번 화보는 한국에 ‘우리에게 내일은 없다’는 제목으로 소개된 영화 ‘보니앤클라이드(1967)’에 서 영감을 얻었다. ‘보니…

‘사투리 서울말 만났을 때’ ‘사투리 서울말 만났을 때’게시물이 화제다. 최근 한 온라인 커뮤니티 게시판에는‘사투리 서울말 만났을 때’라는 제목으로 사진 한 장이 올라와 눈길을 끌었다. 공개된 사진은 SNS 대화 화면을 캡처한 것으로, 발송인은 자신의 애완견 사진을 보내며 “귀엽지?”…
충남 서천지역 일부 고교생들이 훈계하는 교사를 112에 신고하는 등 '교권 추락' 사건이 잇따르고 있다. 20일 교육계에 따르면 최근 한 인문계 고교에서 등교시간에 복장 지도를 하던 교사가 '교복 단추를 잠그라'며 한 학생(1학년)의 목덜미를 만지자 해당 학생이 '아침부터 기…

드라마 ‘로맨스가 필요해 2012’에서 부드럽고 자상한 역할로 여심을 흔들고 있는 배우 ‘김지석’이 군 제대 후 2년 만에 패션매거진 ‘인스타일’ 카메라 앞에 섰다. 제대 후 첫 화보 촬영과 인터뷰라는 그는 어색한 듯 낯선 몸짓과 낯선 표정이었지만, 눈빛 만은 2년 전 그대로 간직해 …

영화제를 찾은 여배우들의 드레스가 날이 갈수록 과감해지고 있다.지난 19일 오후 경기도 부천시 부천체육관에서는 제16회 부천판타스틱영화제(PiFan) 개막식 레드카펫 행사가 진행됐다.이날 행사장에는 MC 장서희와 장우혁을 비롯해 박하선, 하지원, 남보라, 유연석, 김지영, 하정우, 이…

‘주상욱, 녹화 1회 만에 ‘남격’ 후회…대체 무슨 일이?’ KBS 2TV ‘해피선데이 - 남자의 자격’ 새 멤버로 합류한 배우 주상욱이 녹화 1회만에 녹다운되고 말았다. ‘남자, 그리고 청춘여행’이라는 주제로 이경규 팀과 김국진 팀으로 나뉘어 서울에서 부산까지 시내버스 여행을 떠난…

KBS2 월화드라마 ‘빅’의 촬영 현장 스틸 사진이 여러장 공개됐다. ‘유치장 러브씬’스틸 컷에는 손을 꼭 잡고 있는 공유와 이민정의 모습이 담겼다. 지난 16일 방송된 드라마‘빅’13회에서는 길다란과 서윤재가 유치장에 갇히는 장면이 방송됐다. 길다란 동생 충식(백성현)이 누나가 남편…

[동아닷컴]한국 올림픽 유니폼이 2012 런던올림픽 단체 복장 중 베스트 7에 드는 유니폼으로 선정됐다.미국 시사주간지 '타임(TIME)'은 19일(한국시간) 런던올림픽에 출전하는 각국 선수단의 유니폼중 '베스트(Best)' 7개 국가와 '워스트(Worst)' 6개 국가를 정해 발표했…

최근 인터넷 커뮤니티에서는 누나 오빠의 멘토를 붕괴시키는 사진 대결이 누리꾼의 폭소를 자아내고 있다. 먼저 올라온 사진은 ‘누나에게 혼나는 상황’이라는 제목의 사진이다. 누나가 아침마다 쓰는 헤어 고데기 열판에 얇게 썰어진 베이컨을 익히는 모습이 이다. 이에 맞서는 또다른 한 장…
거의 모든 남녀가 '성적 환상'을 갖고 있지만 내용은 전혀 다른 것으로 조사됐다. 여성은 낭만적인 성적 환상을 즐기는 반면 남성은 그룹섹스 같은 훨씬 더 '음탕'한 성적 환상에 빠지는 것으로 드러났다. 전체적으로 성적인 상상을 더 자주하는 쪽은 남성이다. 스페인 그라나다 대학 연구진…
김일성 동상을 파괴하려 했다는 이른바 '동까모'(김일성 동상을 까는 모임) 테러범의 진위를 놓고 남북이 신경전을 벌이고 있다. 탈북자 출신으로 확인된 전영철씨(52)는 19일 평양에서 기자회견을 통해 남한 내 탈북자 단체인 '동까모'와 남측 정보기관, 미국의 사주로 국경지방의…

‘사무실 최고 명당자리는 어디일까?’지난 19일 취업 포털 잡코리아는 남녀 직장인 620명을 대상으로 ‘사무실 내 명당자리’에 대한 설문조사 결과를 발표했다.그 결과 최고의 명당자리는 ‘창가 자리’(39.2%)로 나타났다.이어 직장인들은 ‘냉방기구와 가까운 자리’(35.3%)와 ‘가장…
서울북부지검 형사5부(이태형 부장검사)는 교비 수십억원을 비자금으로 조성해 횡령하고 교사 채용 대가로 금품을 받은 혐의(횡령 및 배임수재)로 전 청원고 교장 윤모(71)씨를 구속기소했다고 20일 밝혔다. 검찰은 윤씨를 비자금 11억8천만원을 조성하고 정교사 2명 채용 대가로 …

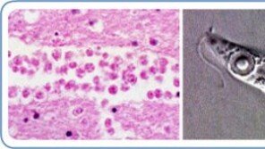
미국 남부 사우스캐롤라이나주(州)에서 8세 소년이 `뇌 먹는 아메바'로 알려진 네글레리아 파울러리(Naegleria fowleri) 아메바에 감염돼 숨졌다고 영국 데일리 메일 인터넷판이 19일(현지시간) 보도했다. 강이나 호수 등에 서식하는 네글레리아 파울러리 아메바는 코를 …